![]() |
![]() |
|
![]() |
![]() |
![]() |
Overdenture
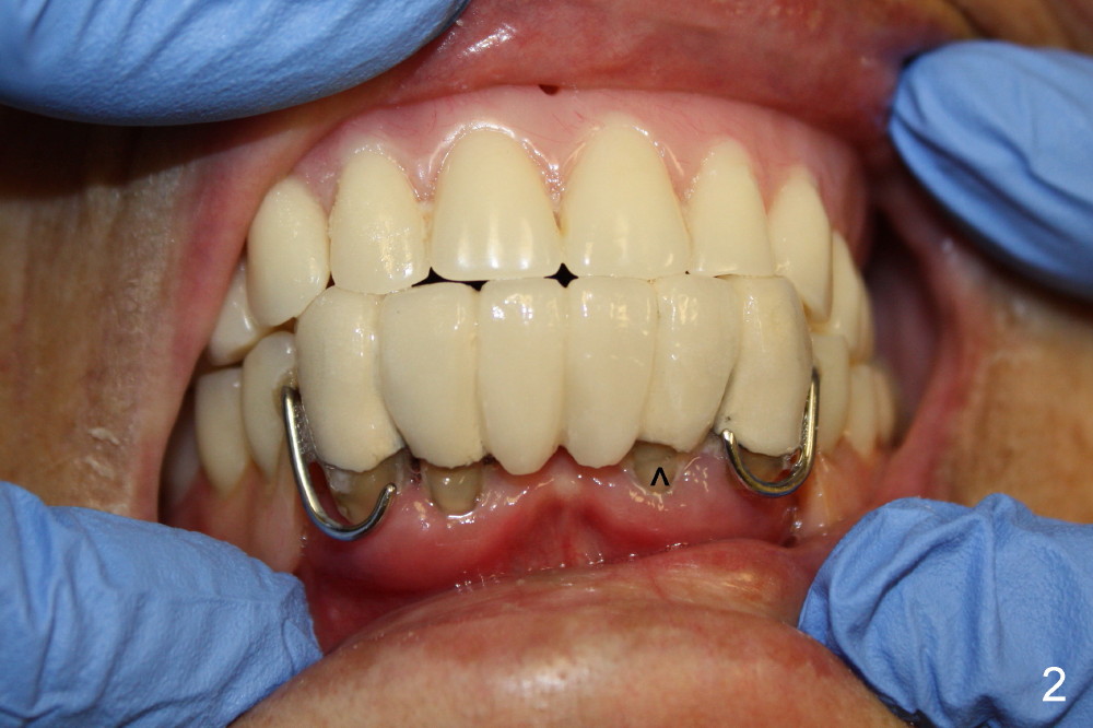
Mrs. Chen, 74 years old, cannot eat properly, because the lower anterior bridge is loose (compare Fig.1 (normal bite) and Fig.2 (edge to edge with lower partial in)). All of these four abutment teeth may have root fracture (Fig.2 >, Fig.4,5). The ridge in the posterior area (Fig.3 black arrows) is much narrower than that of the anterior area (red arrows). The traditional complete denture should have poor retention shortly after anterior tooth extraction with atrophy of the alveolus. Treatment plan is to fabricate the lower immediate complete denture, extract the four remaining teeth (#22,23,26,27), place four immediate implant with ball attachment, and reline the denture with soft reliner initially and retain it with O rings once the implants are osteointegrated.
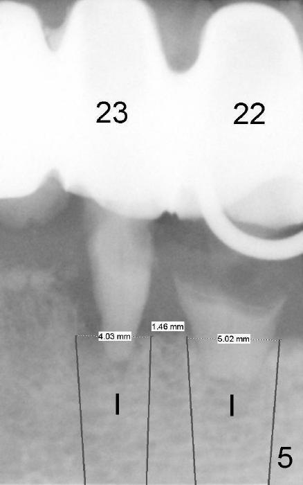
Since there is limited space between the lower lateral incisor and the canine, implants to be placed should not be too big. For example, if the diameters of the implants at the sites of #22 and 23 are 5 and 4 mm, respectively, there is less than 2 mm of bone between the implants (Fig.5). It is not safe. The bone may die.
It is safer if the diameters are reduced to 4.5 and 3.5 mm, respectively (Fig.4), as recommended by Dr. Borgner as follows. In fact, the implants for the lateral incisors are one piece, whereas those for the canines are two pieces.
Dr Wei, Because you have excellent vertical bone , I would conserve the interproximal bone by placing a 4.5 implant in both the cuspids and a 3.5 implant into the lateral region. Dr B
Return to Lower Full-mouth Restoration
Xin Wei, DDS, PhD, MS 1st edition 09/28/2013, last revision 06/29/2014