MTA Apexification

  1. Apexification is a special type of root canal treatment, indicated for a tooth with large canal (Fig.1 between black arrowheads) and open apex (blue arrow).  This condition is usually found in a young patient after trauma or with a special type of tooth malformation
  2. Use a rubber dam, debride the root canal system using intra-canal instruments (files, Fig.2: F), and irrigatge with NaOCl (bleach)
  3. Dry the canal system with large paper points (upside down).  For disinfection, place calcium hydroxide paste (Fig.3: blue *) in the root canal system for one week.  Place a temporary restoration (Cavit, black *) to seal the access opening
  4. After one week, use a rubber dam, remove the CaOH from the canal system using NaOCl irrigation and instrument as needed
  5. Try in a RC (root canal) plugger (5/7, 9/11), attach an endo stopper, and take PA with plugger
  6. Dry the canal(s) with largest paper points
  7. Prepare the ProRoot MTA root repair material according to the mixing instructions provided
  8. Using the carrier (plastic sleeve over carrier), dispense the cement into the apical region.  Condense the ProRoot MTA root repair material into the apical region of the canal with pluggers (with a stopper, adjust the length) or paper points.  Create a three-to-five-millimeter apical barrier of ProRoot MTA root repair material
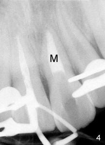
  9. Confirm placement of the ProRoot MTA root repair material with a radiograph (Fig.4: M).  If an adequate barrier has not been created, rinse the ProRoot MTA root repair material out of the canal and repeat the procedure
  10. Take a wet cotton pellet, remove excess moisture from the pellet and place in the canal.  Seal the access preparation with a temporary restoration (Fig.5: *) for a minimum of four hours
  11. After four hours, or at a later appointment, use a rubber dam and examine the ProRoot MTA root repair material.  This material should be hard.  If not, rinse and repeat the application
  12. When the ProRoot MTA root repair material is hardened, obuturate the remaining canal space.  The ProRoot MTA root repair material remains as a permanent part of the root canal filling
  13. Return to Assistant Page

Xin Wei, DDS, PhD, MS 1st edition 07/12/2011, last revision 07/12/2011