MTA: Internal Repair of Iatrogenic Perforation
- Perforation can happen in furca (Fig.1: >) between mesial (M) and distal
(D) roots
- To repair the perforation, use a rubber dam, debride the root canal system using intra-canal
instruments (files), and irrigatge with NaOCl (bleach)
- Dry the canal system with paper points and isolate the perforation
(Fig.2: >)
- Obturate all the canal space, apical to the perforation
- Prepare the ProRoot MTA root repair material according to the
mixing instructions provided
- Using the carrier (plastic sleeve over carrier), dispense the cement
into the perforation site. Condense the ProRoot MTA root repair
material into the perforation site with a small plugger (with a stopper,
adjust the length), cotton pellet or paper points. Create a
three-to-five-millimeter apical barrier of ProRoot MTA root repair material
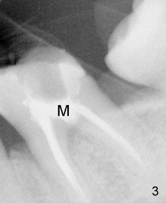
- Confirm placement of the ProRoot MTA root repair material with a
radiograph (Fig.3: M). If an adequate barrier has not been created, rinse the ProRoot MTA root repair material out of the canal and repeat the procedure
- Take a wet cotton pellet, remove excess moisture from the pellet and
place in the canal. Seal the access preparation with a temporary
restoration for a minumum of four hours
- After four hours, or at a later appointment, use a rubber dam and
examine the ProRoot MTA root repair material. This material should be
hard. If not, rinse and repeat the application
- When the ProRoot MTA root repair material is hardened, obuturate the
remaining canal space. The ProRoot MTA root repair material remains as
a permanent part of the root canal filling
- Return to
Assistant Page
Xin Wei, DDS, PhD, MS 1st edition 07/12/2011, last revision
07/13/2011