![]() |
![]() |
![]() |
How to Place Neighboring Implants Parallel to Each Other (Part I)?
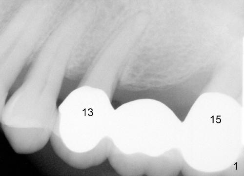
Mr. Tsang has a loose bridge (Fig.1: #13-15). The affected tooth (#15) was extracted two months ago. Immediate implant was placed (Fig.2: 4.5x17 mm tapered drill; Fig.3: 7x17 mm implant). It appears that the implant at the site of #15 must be somewhat parallel to the tooth #13, according to the trajectory of the drill in Fig.2.
Today an implant was placed at the site of #14. The trajectory turned out to be not great. How can we place it parallel to #13 and #15?
Doctor Wei
If you save the bridge after you cut it off, later you use the bridge as a surgical guide. I think the bridge will be a excellent guide for you. Is it right? Jenny
Xin Wei, DDS, PhD, MS 1st edition 09/30/2013, last revision 10/02/2013