Treatment Plan for Anterior Immediate Implants

  1. 52 y/o, Smoker; when he comes back for surgery, ask him whether he has smoked less or not.  Smoking is associated with higher risk of implant failure
  2. He has advanced chronic periodontitis.  Scaling & root planing has been done.  Ask him whether he has brushed more or not and whether he flosses or not
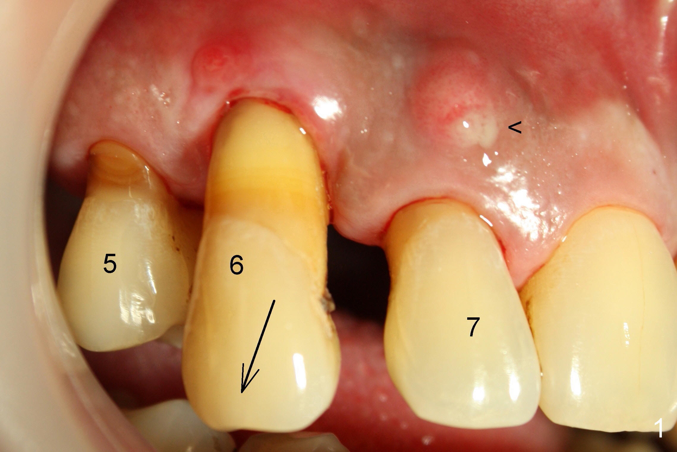
  3. He has lost several upper teeth: #2,3,4,14 and 15.  The remaining teeth are loose, particularly #6,7, and 9 (Fig.1-4).  There are several treatment options for him.  Tell him that the doctor will discuss with him
  4. Double check whether he has taken antibiotic and rinsed with Chlorhexidine at home
  5. First of all, #6,7 and 9 will be extracted with immediate implants and provisional
  6. Since the tooth # 6 shifts the most (Fig.1 arrow), it will be extracted first (the reason will be further explained in section #9), followed by thorough curettage, copious irrigation and soak with antibiotic
  7. Prepare a large bowl for Normal Saline and small one for Clindamycin.
  8. Cut a 2x2 into small pieces (9) and soak in Clindamycin solution, insert one piece into the socket, then irrigation, repeat these steps 3 times.  When the socket is pretty clean, use a plastic pipet to collect blood
  9. Use the teeth #5,7 as guides for #6 pilot drill (Tatum) trajectory, with depth ~14 from gingival margin until the drill is relatively stable
  10. Then ext #7, curettage, rinse, antibiotic soak, rinse, pilot drill (Bicon, possible with drill extension)
  11. Take PA with 2 pilot drills in place. 
  12. Bicon reamers, save bone, later mix with synthetic bone (Osteogen), reamers until 3.0 mm for #7, 3.5 for #6, tap 4.5x20 for 6, then 5x20, possibly 6x20
  13. Take PA again with 3.0 mm reamer in #7 socket, a tap in #6
  14. Place implants as palatally as possible. Use Tatum tapered drills if orientation changes unfavorably
  15. Try in abutments.  If straight, no cementation; prep
  16. Use crown forms for temporary crowns.  Check occlusion
  17. Bone graft deep portion of buccal sockets
  18. Cementation, remove cement thoroughly
  19. Then more bone grafting in the more coronal portion of the sockets

Return to Assistants, Upper Incisor Immediate Implant

Xin Wei, DDS, PhD, MS 1st edition 10/26/2013, last revision 04/27/2014