![]() |
||
![]() |
![]() |
|
![]() |
![]() |
![]() |
![]() |
![]() |
|
![]() |
||
![]() ![]() |
||
Treatment of Discoloration Post Orthodontics
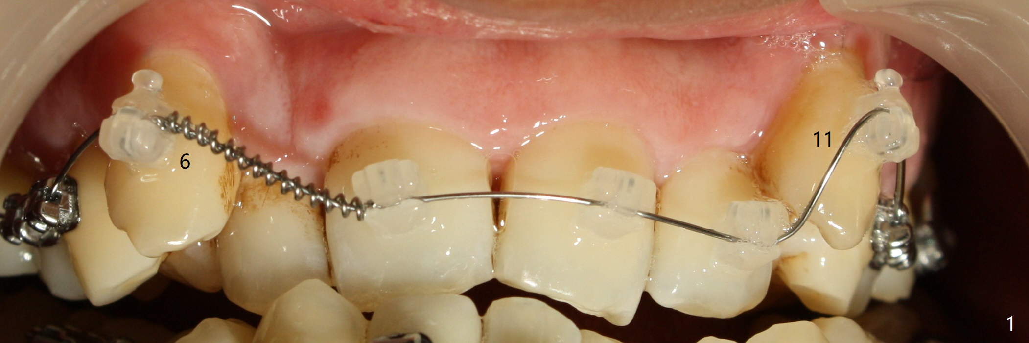
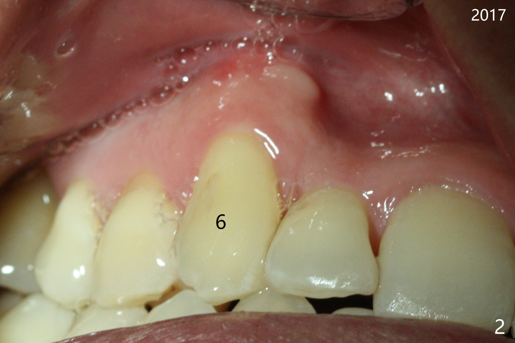
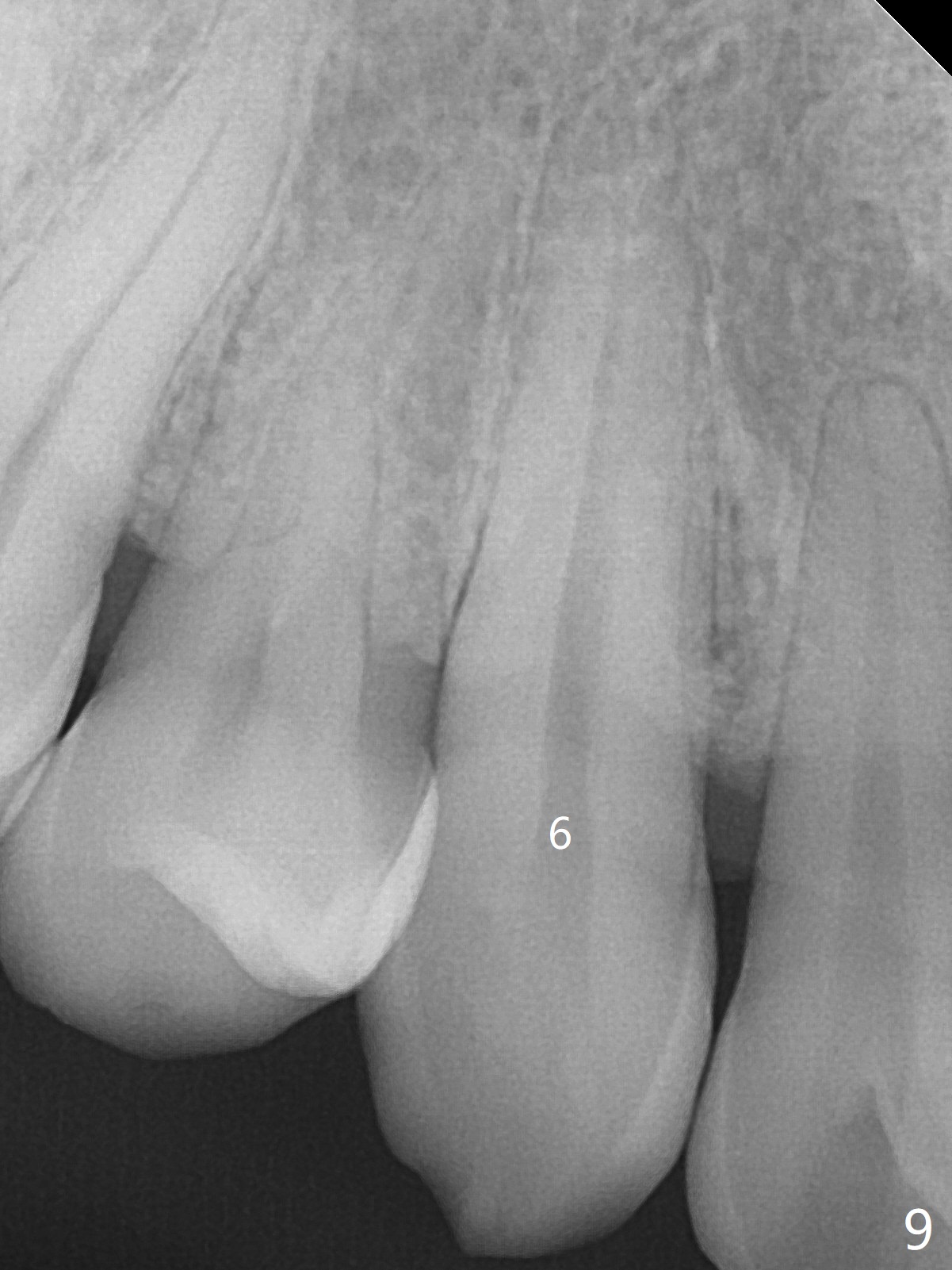
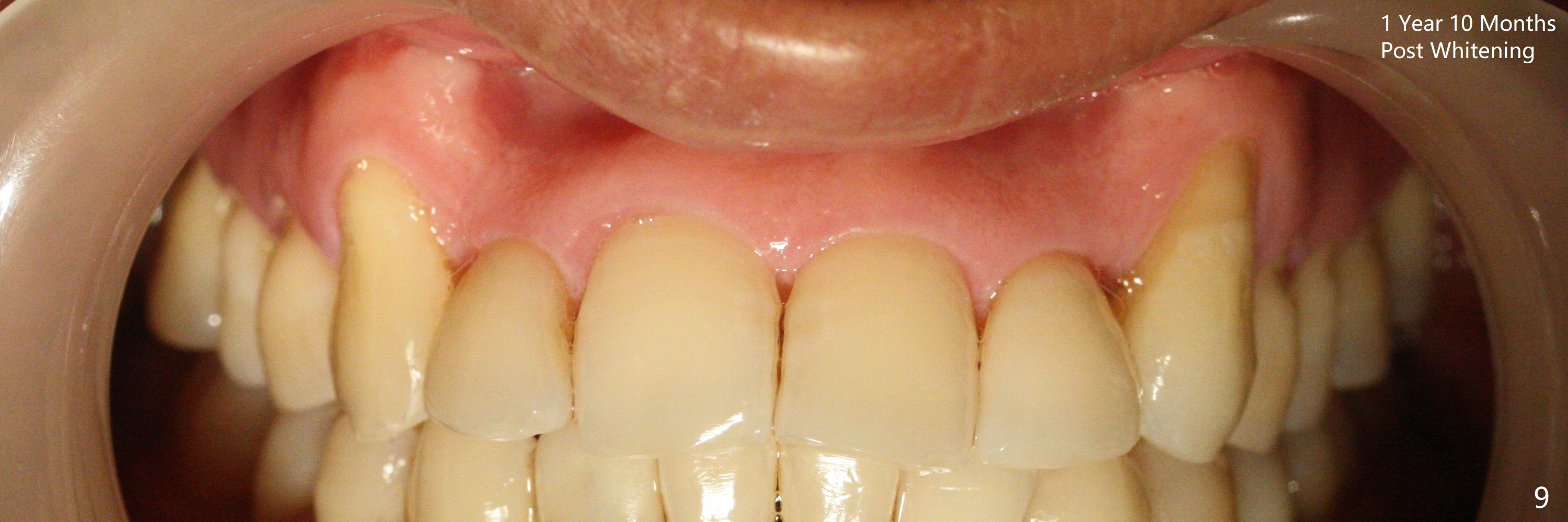
A 45-year-old man had severe malocclusion and chose non-extraction orthodontic treatment (Fig.1 (2012)). Five years later, the tooth #11 discolors (Fig.3, as compared to #6 in Fig.2). Immediately after RCT (Fig.4,5), the affected tooth has sudden change in shade (Fig.6). Two weeks later there is rebound in shade (Fig.7). The latter improves after two rounds of chair-side internal bleaching with 35% Hydrogen Peroxide for 20 minutes and build-up with the lightest shade composite (Fig.8). For optimum, place the bleach gel in the pulpal chamber and close the access with Cavit for a few days. In fact the latter is unnecessary. The treated tooth looks as normal as the tooth on the other side 1 year 10 months post whitening (Fig.9). PARL reduces 3 years post RCT (Fig.10 <, as compared to Fig.5).
Return to Ortho Cases
Xin Wei, DDS, PhD, MS 1st edition 10/03/2017, last revision 08/21/2020