| Before | After | Before | After |
![]() |
![]() |
![]() |
![]() |
![]() |
![]() |
![]() |
![]() |
![]() |
![]() |
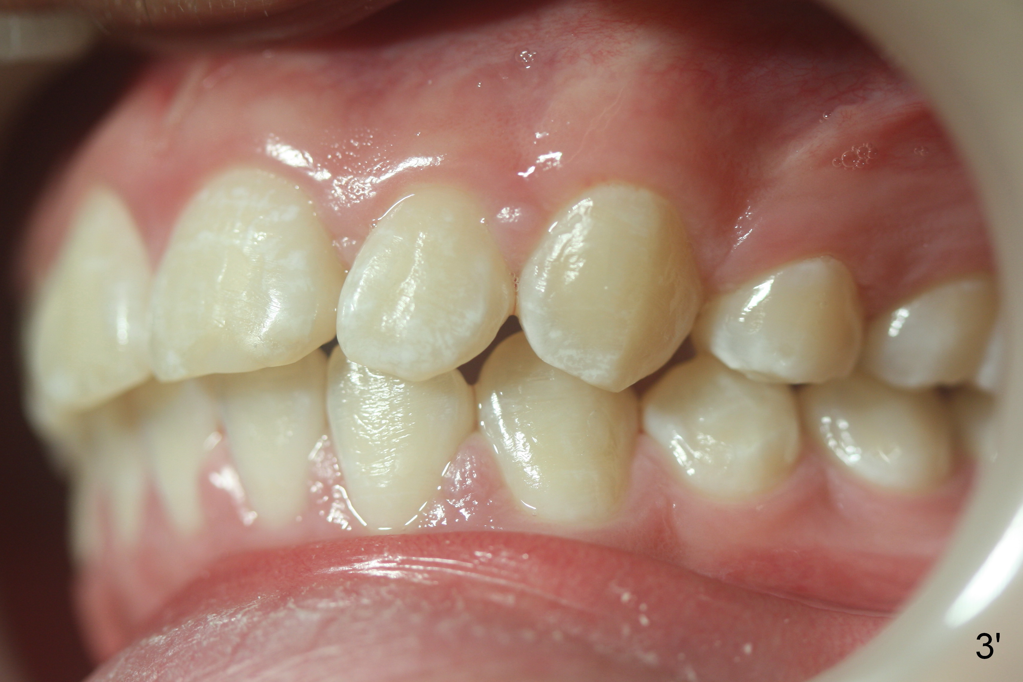
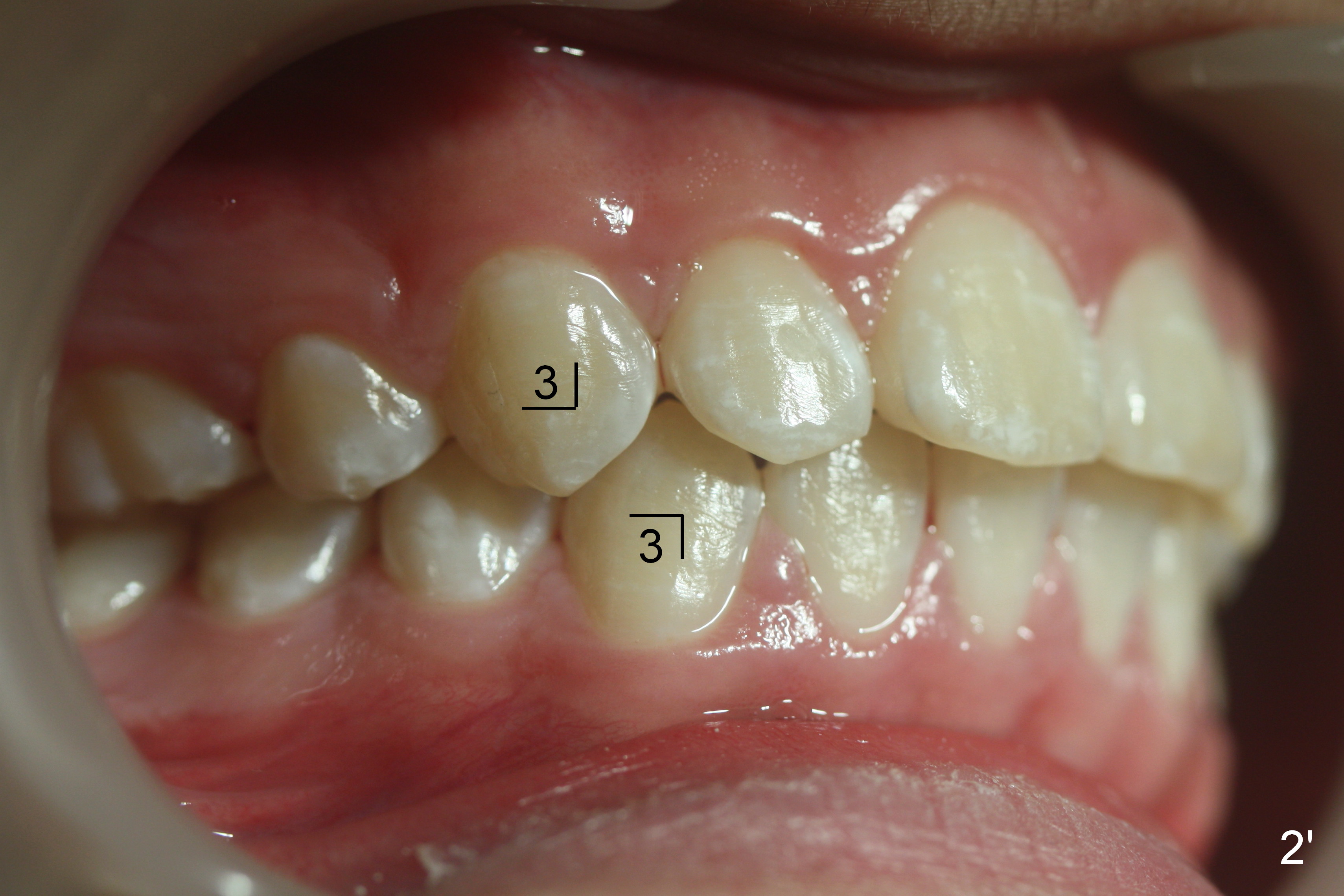
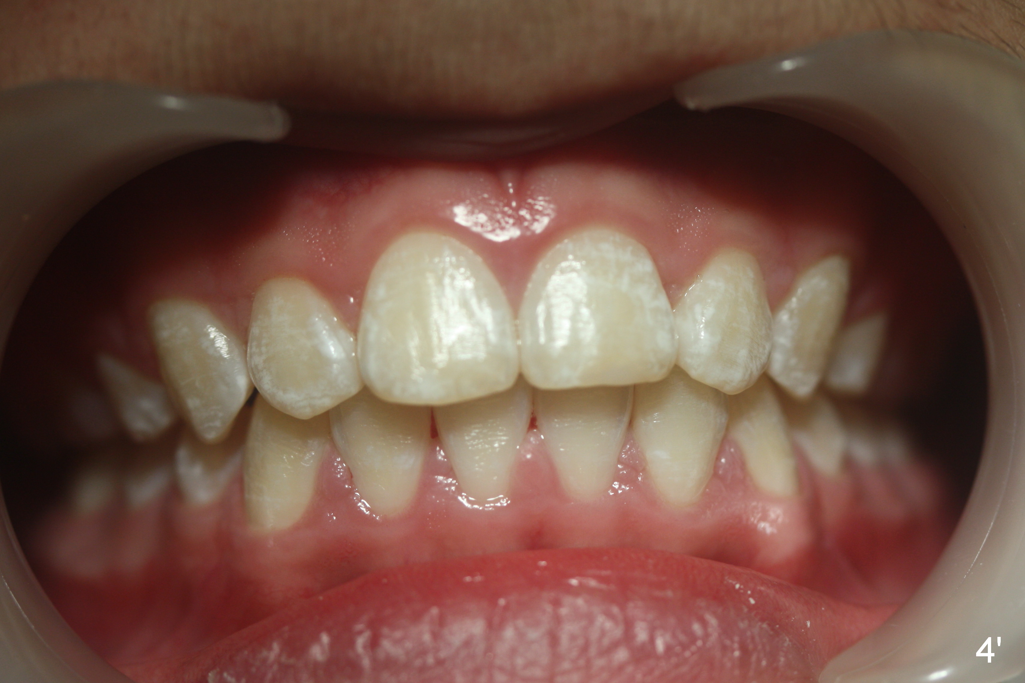
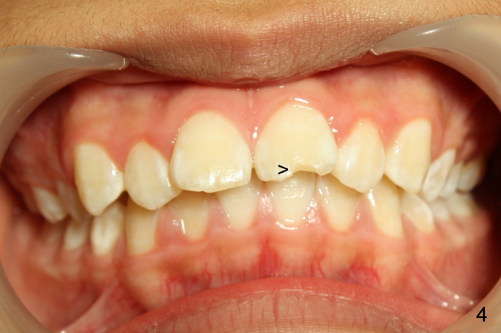
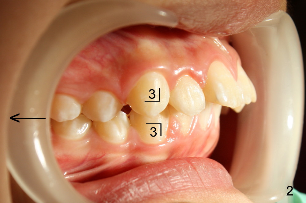
Braces with Extraction for Severe Crowding When Ven (boy) is 12 years old, his top lip looks too out (Fig.1), because his top front teeth are too out (Fig.2,3). When the front teeth are out, they are easily chipped (Fig.4 >). To reposition the top front teeth (arrow(head) in Fig.2,3), two of the top back teeth are extracted and braces are placed (Fig.3,5). The boy looks great 1 year after braces are removed (Fig.1'-5'). Return to Child Dental Care Xin Wei, DDS, PhD, MS 1st edition 11/23/2013, last revision 10/08/2017 |
|