![]() |
![]() |
![]() |
![]() |
|
![]() |
![]() |
![]() |
||
![]() |
![]() |
|||
Ortho With Risk
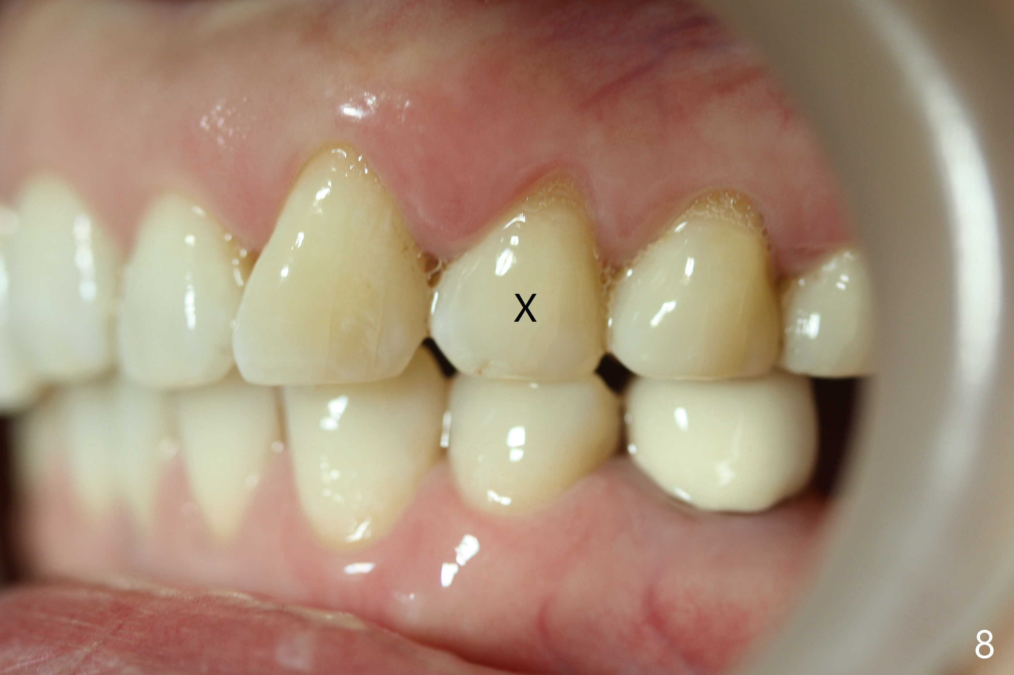
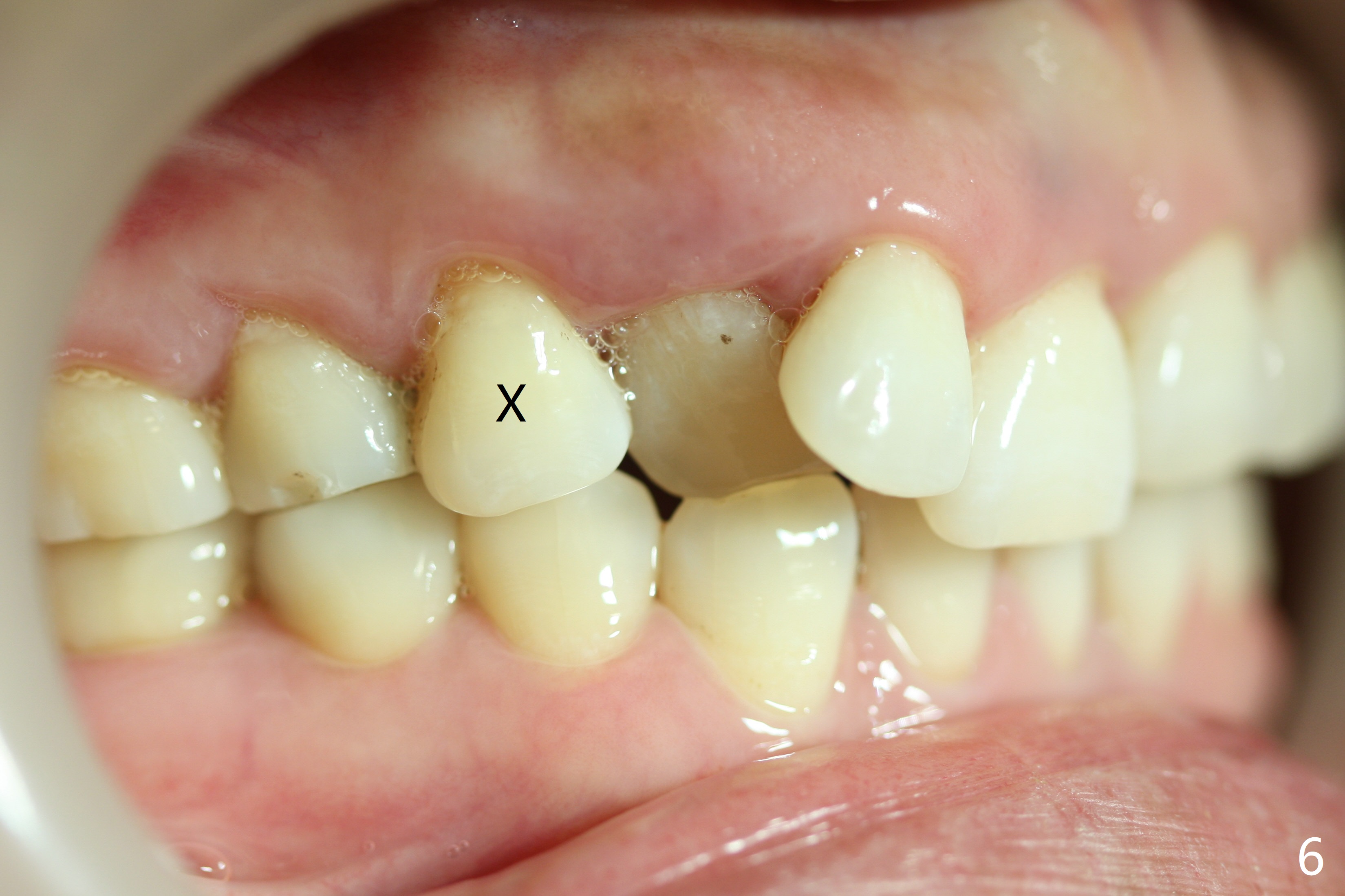
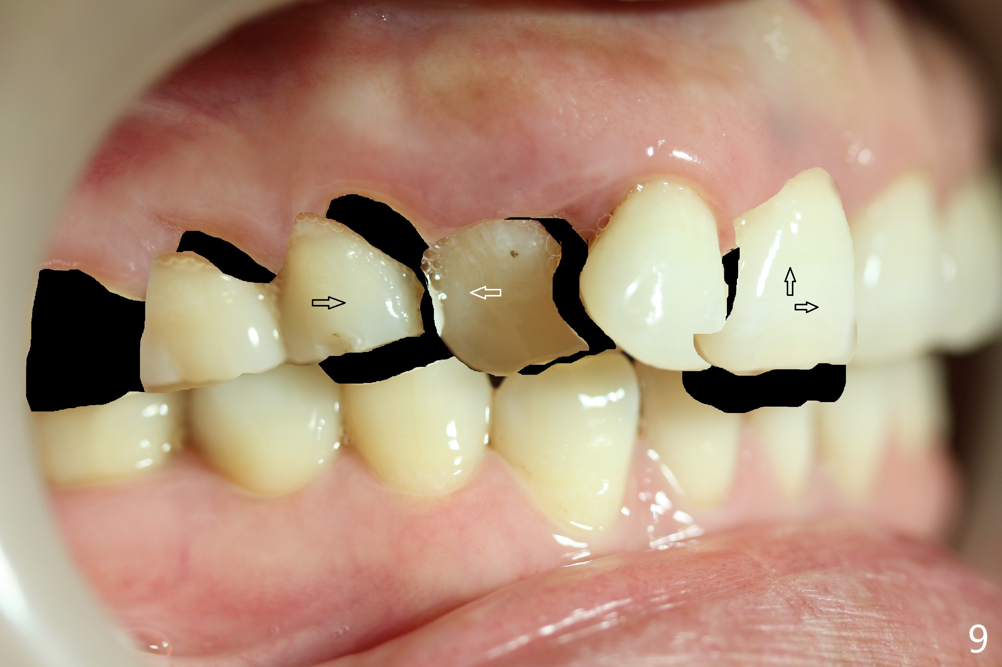
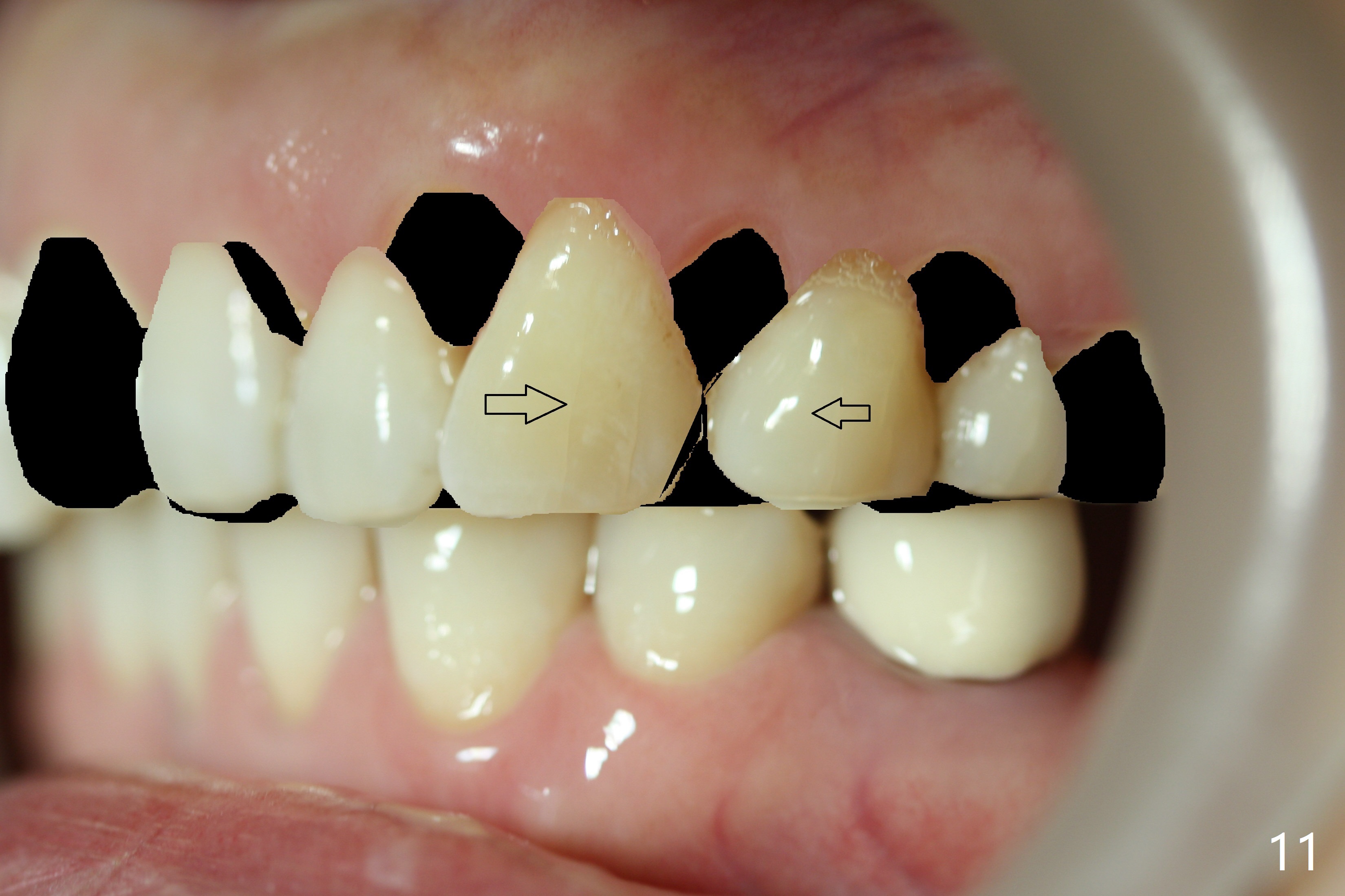
A 48-year-old woman is interested in orthodontic treatment, but is also concerned about whether there will be more loose teeth after treatment (Fig.1-8). The most critical reason for orthodontic treatment is potential recurrent caries in the lingual pit of UR2 and ultimate loss of the tooth if local crowding is resolved (Fig.10).
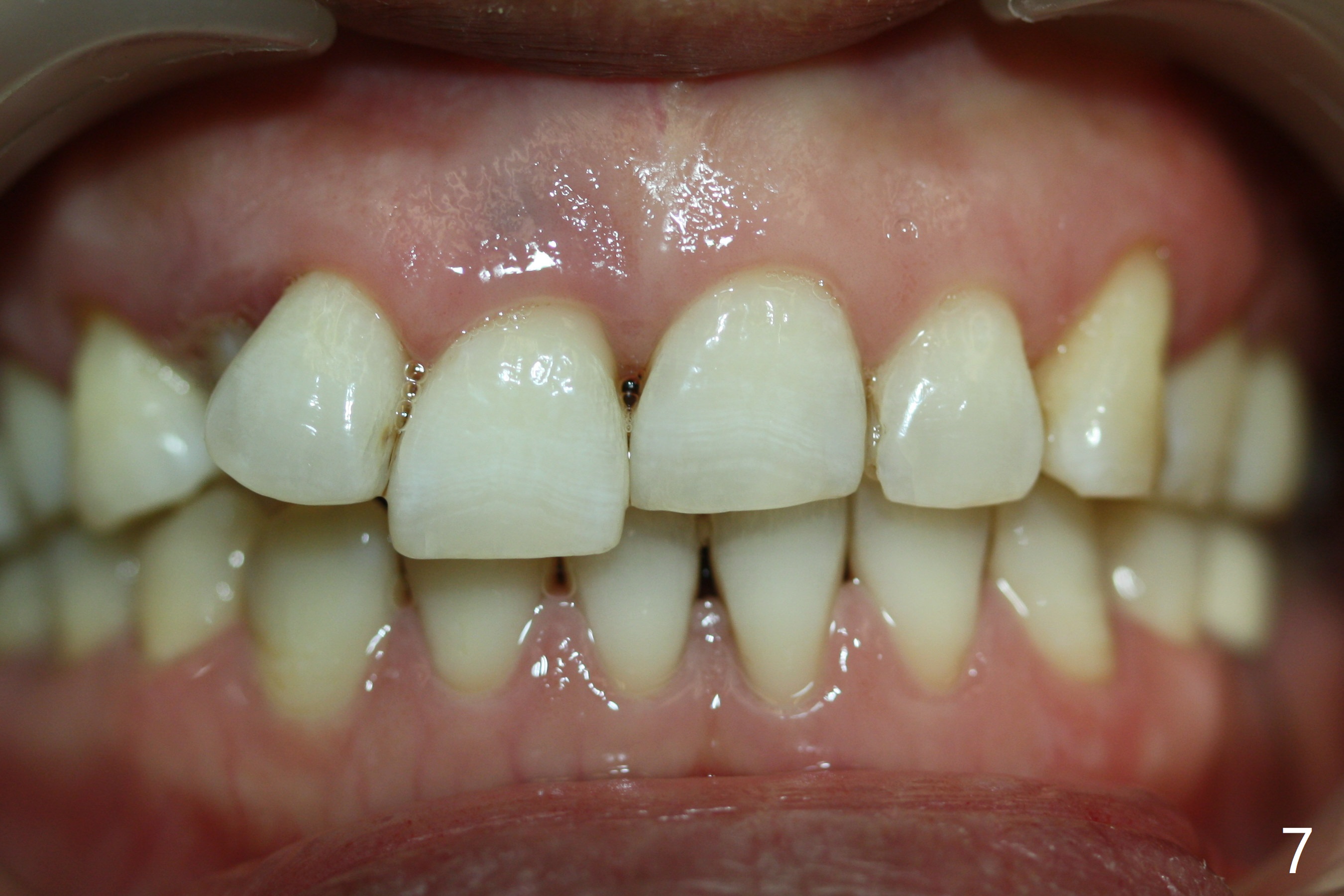
In addition, the upper dental midline deviates (Fig.2). It appears necessary to extract U4s (Fig.6,8: X) for realignment (Fig.9,11). When UR1 is intruded orthodontically (compare Fig.6,7 with 9) without increased mobility, it will be retained with lingual retainer. Otherwise it will be extracted for implant. Model surgery confirms the necessity of U4 extraction.
Return to
Ortho Cases
Xin Wei, DDS, PhD, MS 1st edition 04/23/2018, last revision 04/26/2018