![]() |
![]() |
![]() |
控制磨牙位置
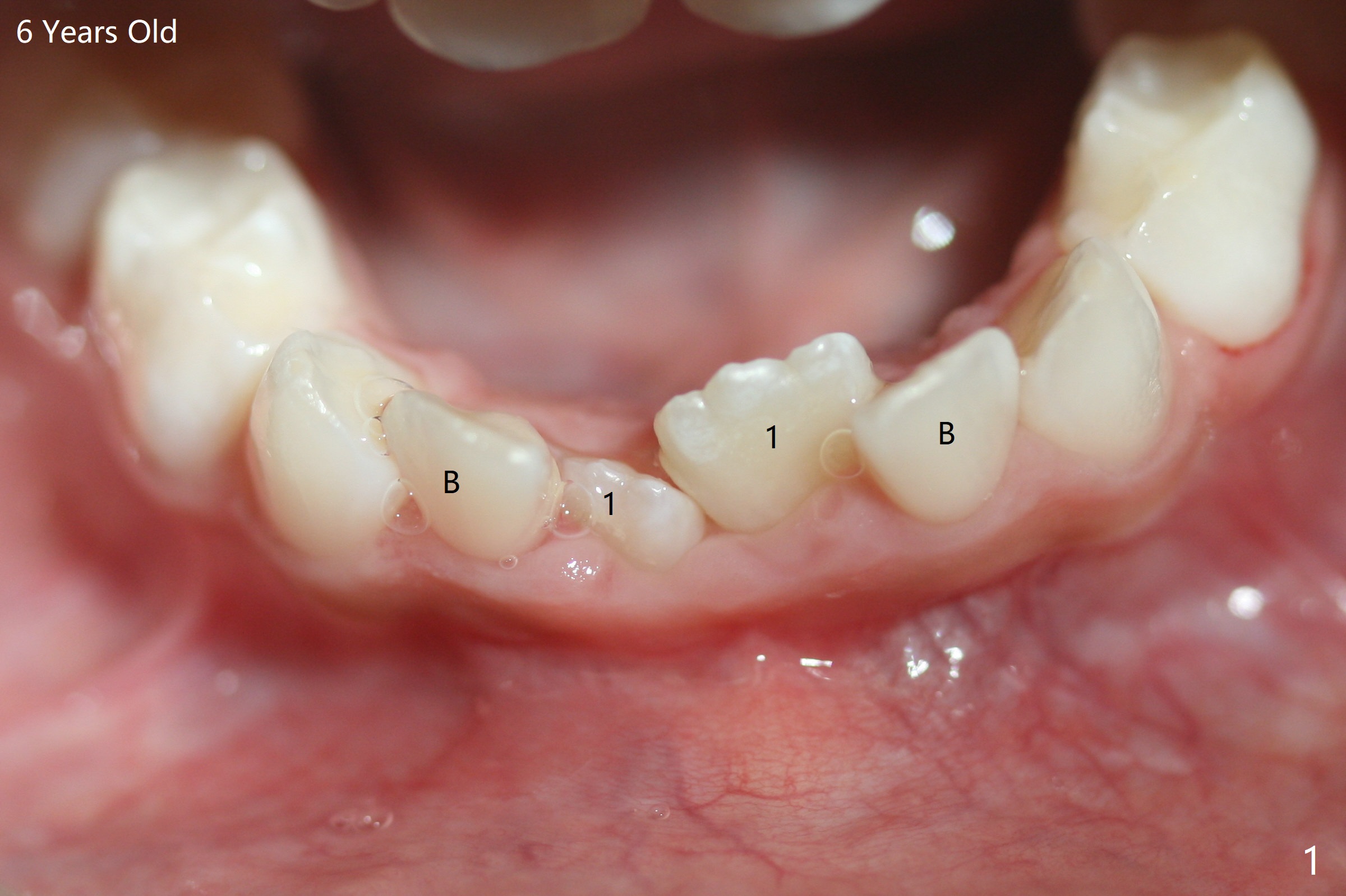
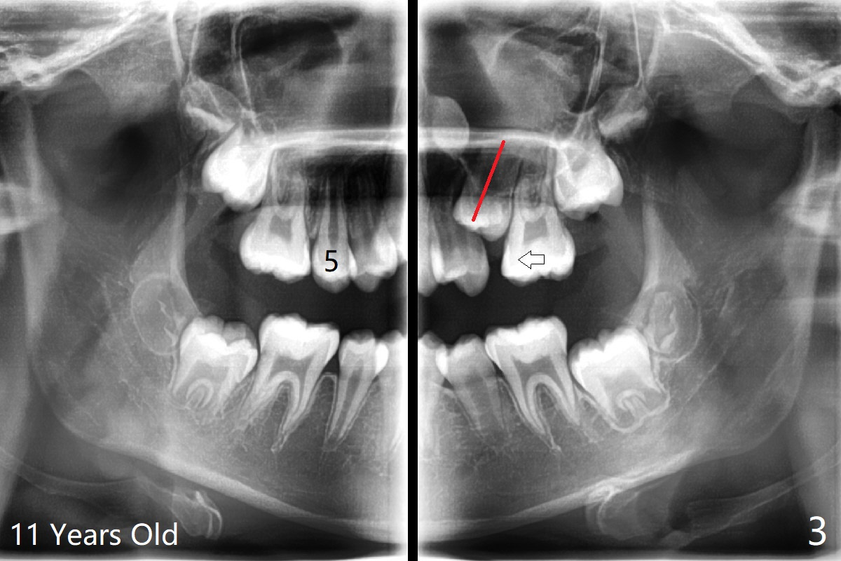
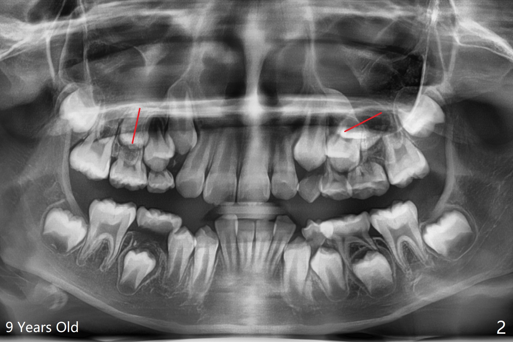
一位女孩具有家族性牙齿拥挤史,6岁下中切牙刚萌出时就显示拥挤(图一),九,十一岁相当明显(图二,三),十一岁正好处于新冠病毒流行期间,妈妈同意拔除四个第一双尖牙,让牙列自行调整一年左右。初步检查表明上下磨牙近远中位置正常。不紧不慢使用弓丝排列牙弓,让7充分萌出。牵引上尖牙时,注意磨牙位置改变,最好同时使用下6(二类牵引)以及上5-7作为支抗。
Return to
Ortho Cases
Xin Wei,
DDS, PhD, MS 1st edition 12/12/2020, last revision
12/13/2020