拥挤造成阻生?

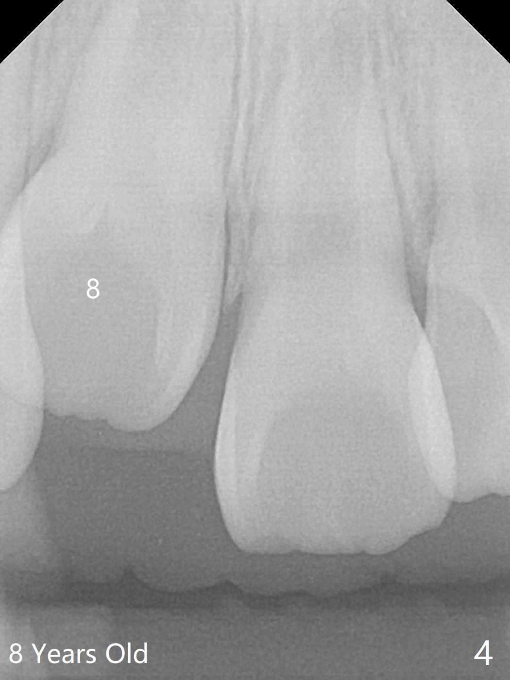
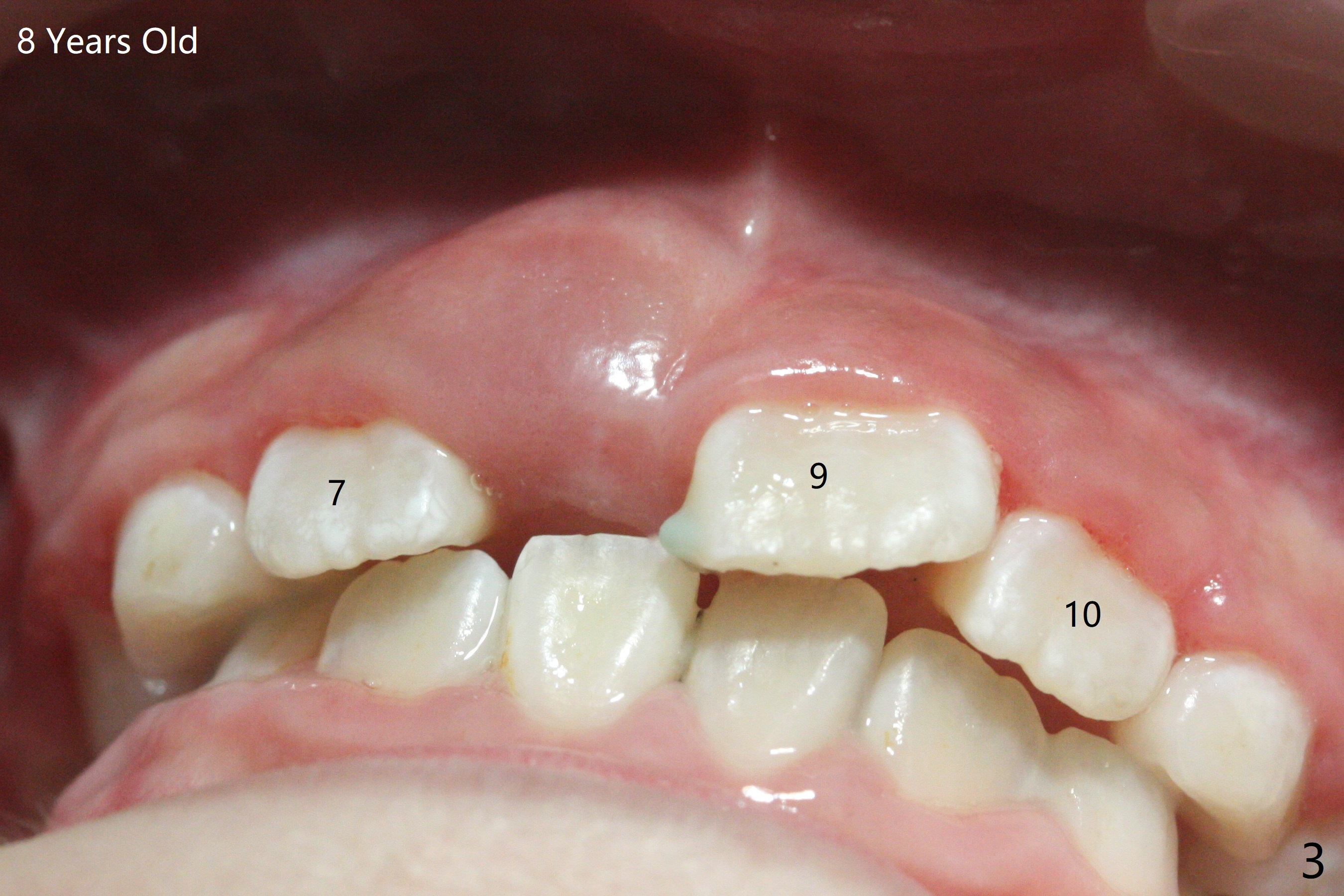
6岁女孩上中切牙发育萌出好像比侧切牙晚(图一),七岁时萌出顺序正常(图二),但是八岁时右上中切牙阻生(图三,四)。似乎拥挤是阻生原因,除了切开助萌之外,扩弓是必要的。不过她口腔卫生欠佳。

Return to Ortho Cases
Xin Wei, DDS, PhD, MS 1st edition 08/12/2020, last revision 08/16/2020