![]() |
![]() |
![]() |
![]() |
Correction of Lower Tooth Supraeruption Part V
Power chains x 2 was added between the tooth #29 and posterior buccal mini-implant (Fig.8, one month post limited ortho). The segmental wire is .0175 twisted one.
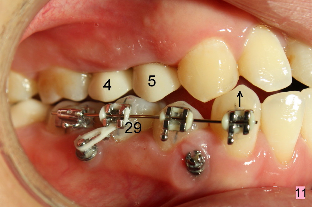
The lower bicuspids continue being intruded 2, 3, and 4 months post segmental wire treatment (Fig.9, 10, 11, respectively), while healing abutment (*), abutments (A) and permanent crowns (4,5) are placed. Finally the tooth #29 is being intruded (Fig.11); passive supraeruption of the canine (arrow) will return normal once the segmental wire is removed.
Xin Wei, DDS, PhD, MS 1st edition 07/19/2014, last revision 07/19/2014