![]() |
![]() |
![]() |
Self Drifting M
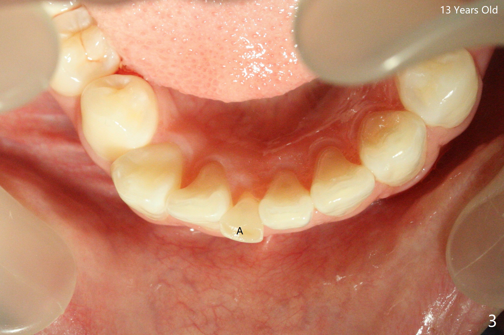
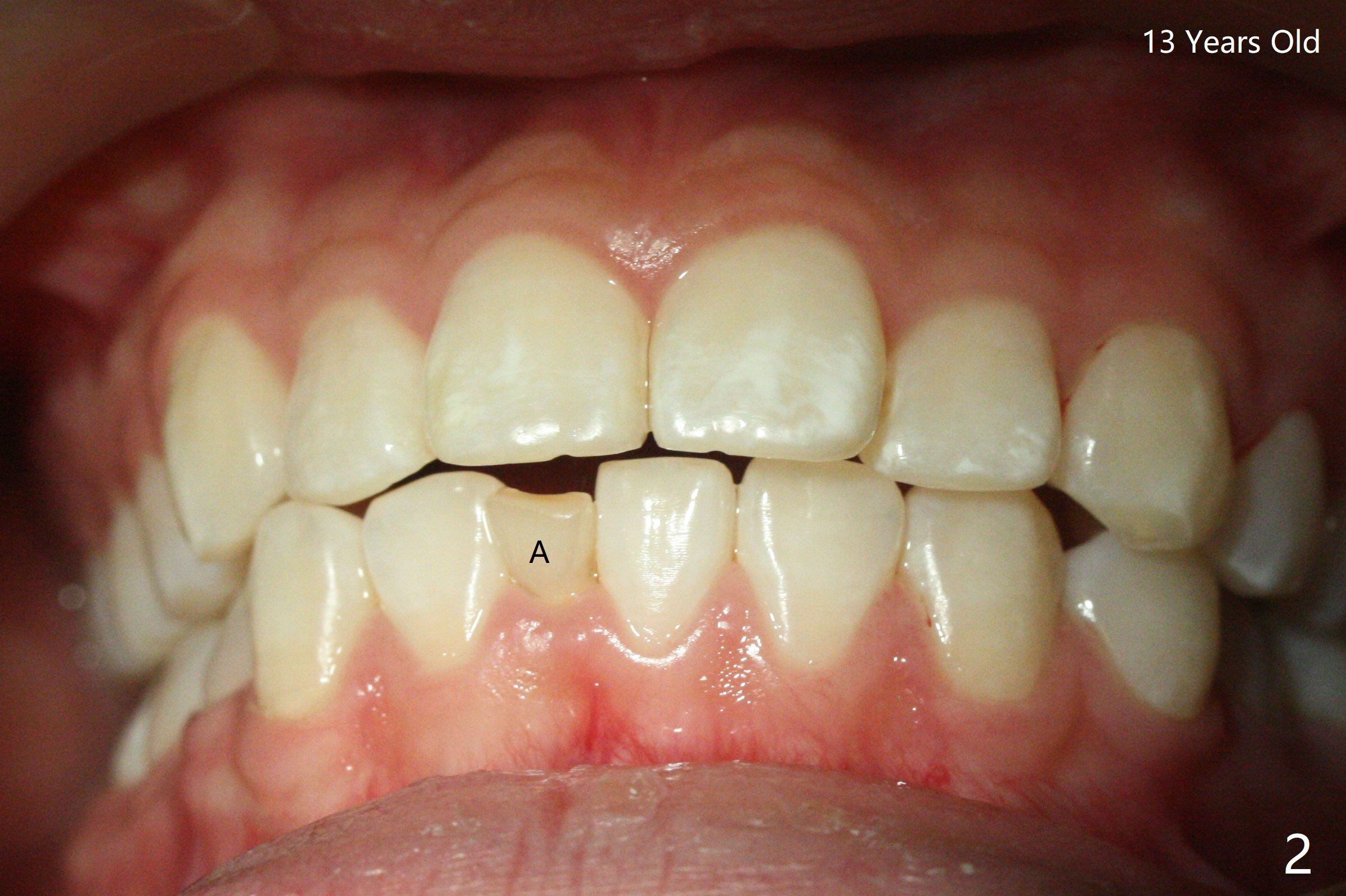
A 7-year-old woman has congenital missing lower right central incisor (Fig.1). At age of 13, she requests extraction of the displaced and discolored deciduous central incisor (Fig.2,3 A). After extraction, self drifting may alleviate crowding and anterior overjet and closes the space? Perfect solution, extract the A followed by driftodontics...fixed appliances as needed. Dr. Shaughness 12/25/2019
Ortho Cases
Xin Wei, DDS, PhD, MS 1st edition
12/24/2019, last revision
12/25/2019