![]() |
![]() |
![]() |
|
![]() |
![]() |
![]() |
|
![]() |
![]() |
![]() |
|
![]() |
![]() |
![]() |
|
Extraction of 2nd Bicuspids Instead of 1st Ones for Ortho
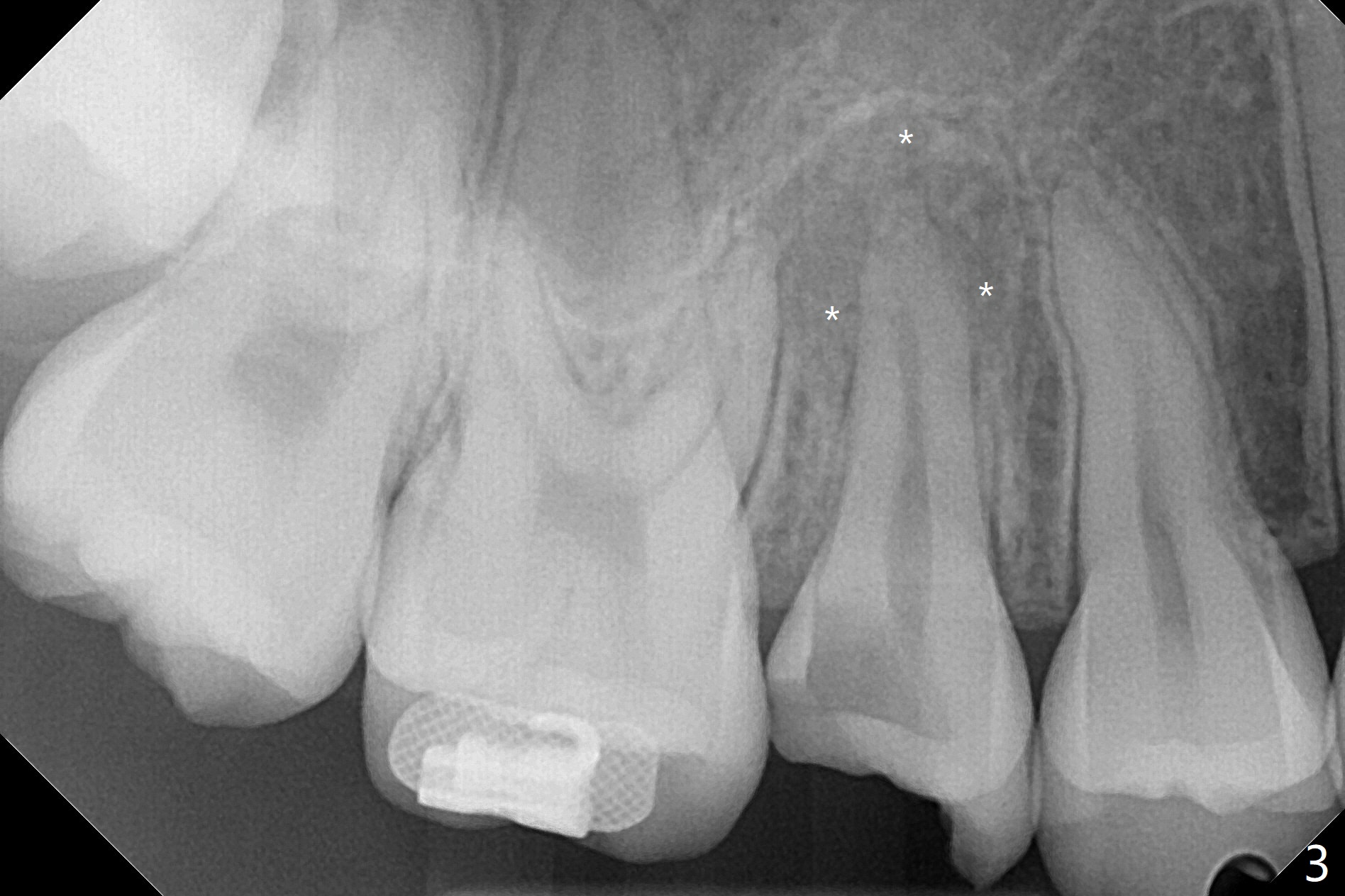
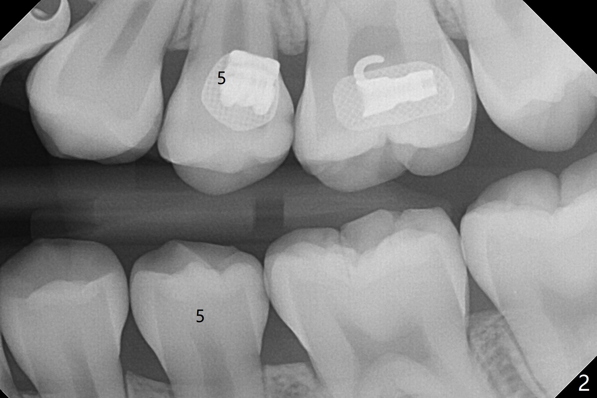
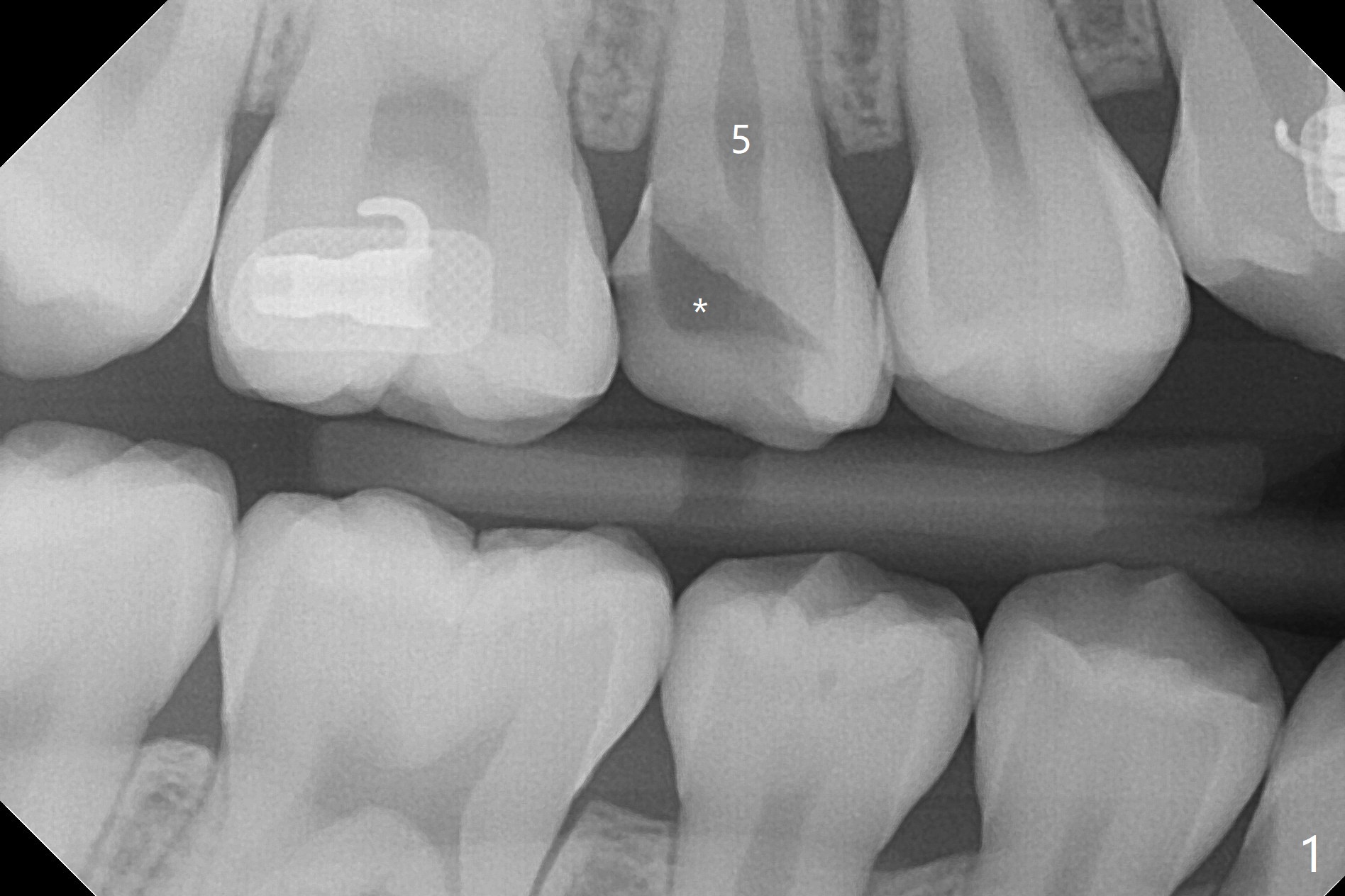
A 14-year-old woman with crowding returns to clinic for extraction of the 1st bicuspids. Orthodontic treatment has started partially. Because of severe caries at UR5 (Fig.1 *), BWs and PA are taken, which reveal DO incipient caries at UL, LL5 (Fig.2) and large PARL at UR5 (Fig.3 *). Upon receiving a revised treatment plan, four of 2nd bicuspids are extracted. The large PARL is confirmed intraop. Examination of the extracted teeth shows mesial caries at UL5, which is not detected by X-ray (Fig.4 <). By comparison, DL caries of UL5 is more severe (Fig.5). Check the neighboring teeth for caries when the patient returns for recall. The pulpal exposure of UR5 is large (Fig.6). So is the pulpal chamber (Fig.7). The large canal (Fig.7) in fact consists of 2 ones (Fig.11 red arrows) with a separation in between (*). The DL caries at LL5 is at the stage of decalcification (Fig.8), not visible in X-ray (Fig.12, as compared to Fig.7 >).
Return to
Ortho Cases
Xin Wei, DDS, PhD, MS 1st edition
09/28/2019, last revision
09/29/2019