![]() |
![]() |
![]() |
![]() |
![]() |
![]() |
![]() |
![]() |
||
![]() |
![]() |
![]() |
||
![]() |
![]() |
![]() |
||
![]() |
![]() |
![]() |
||
Class I Malocclusion with Convex Profile
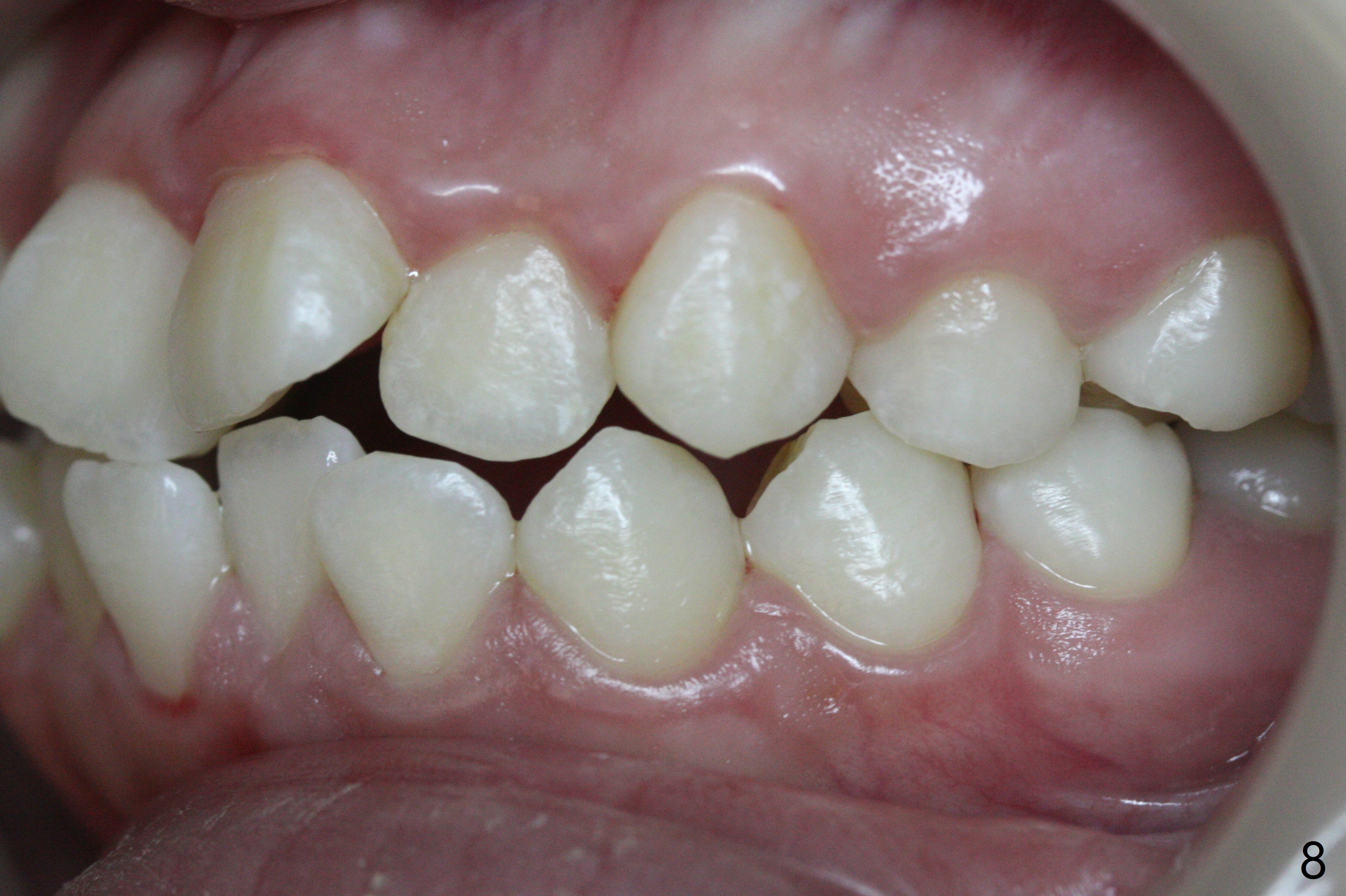
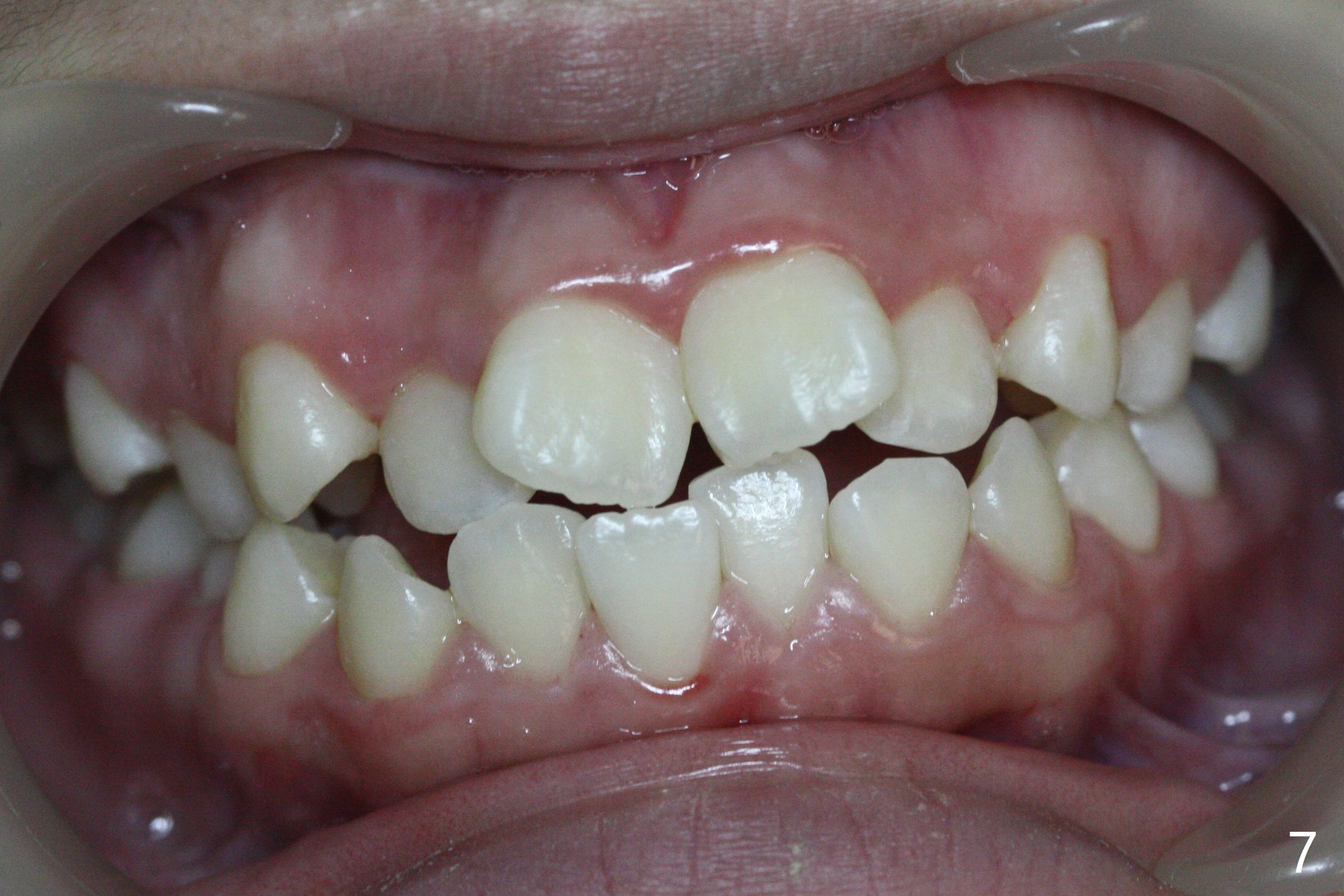
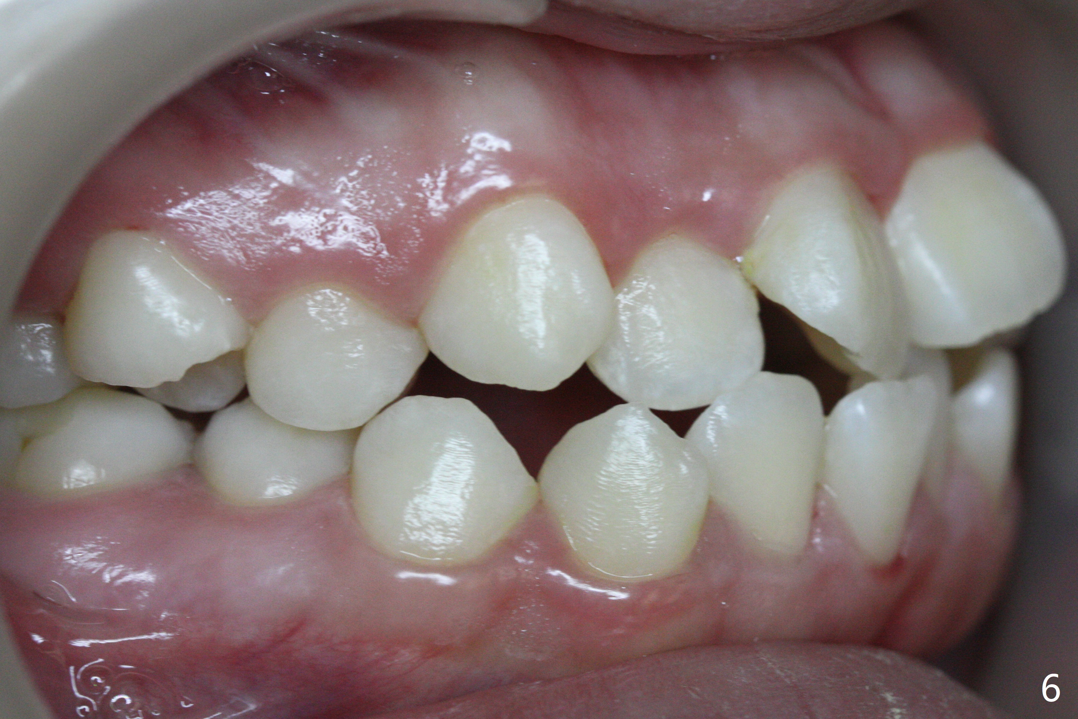
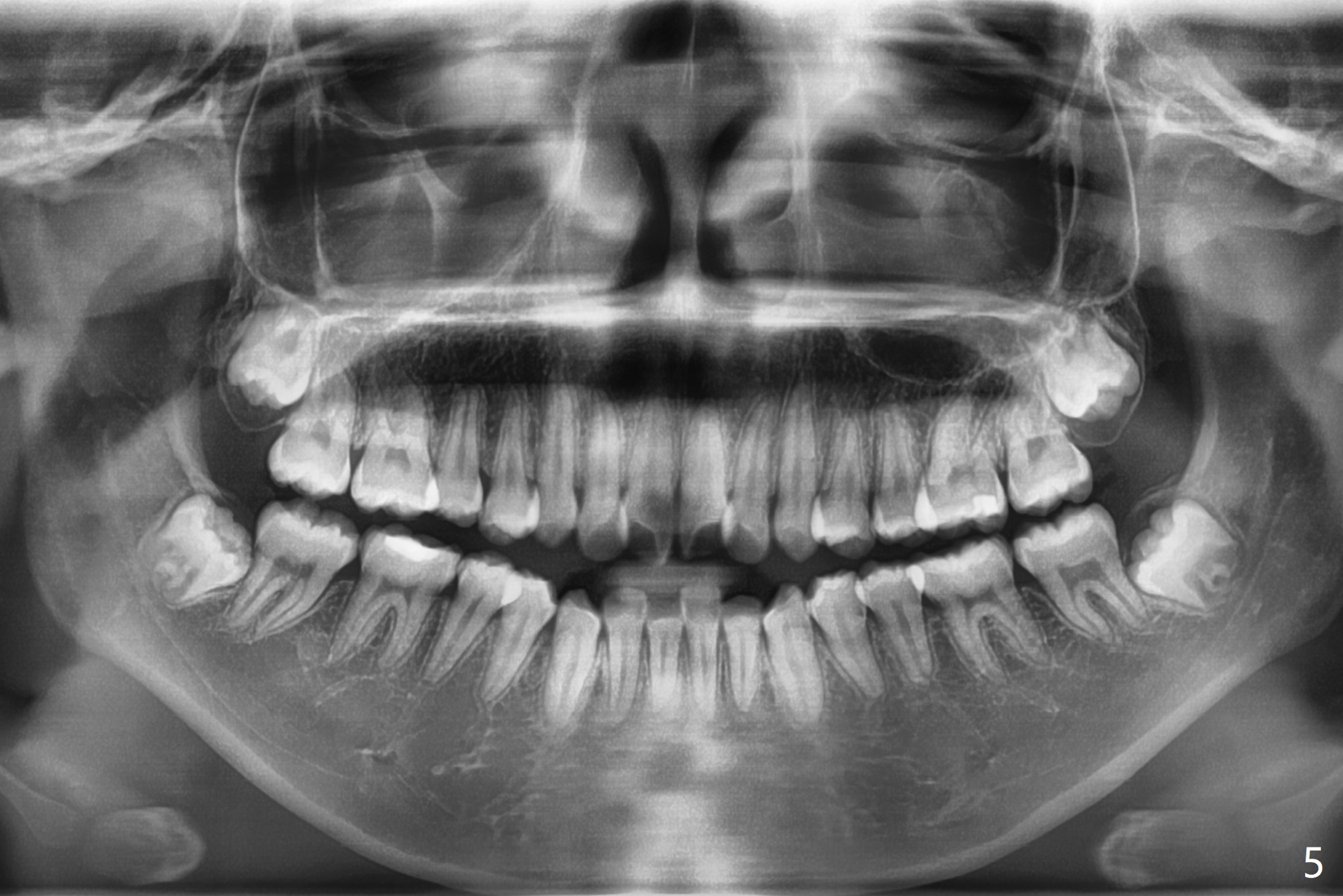
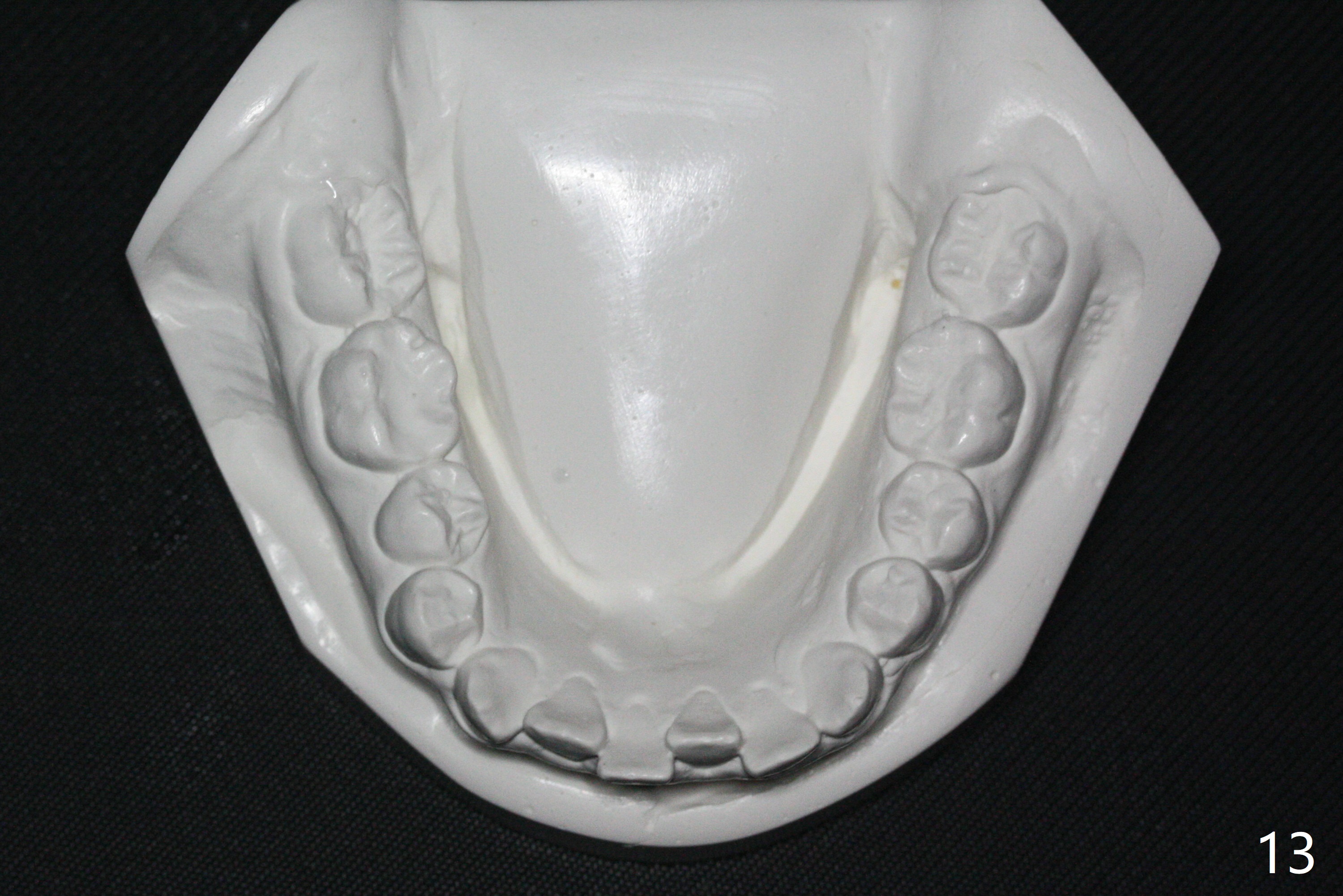
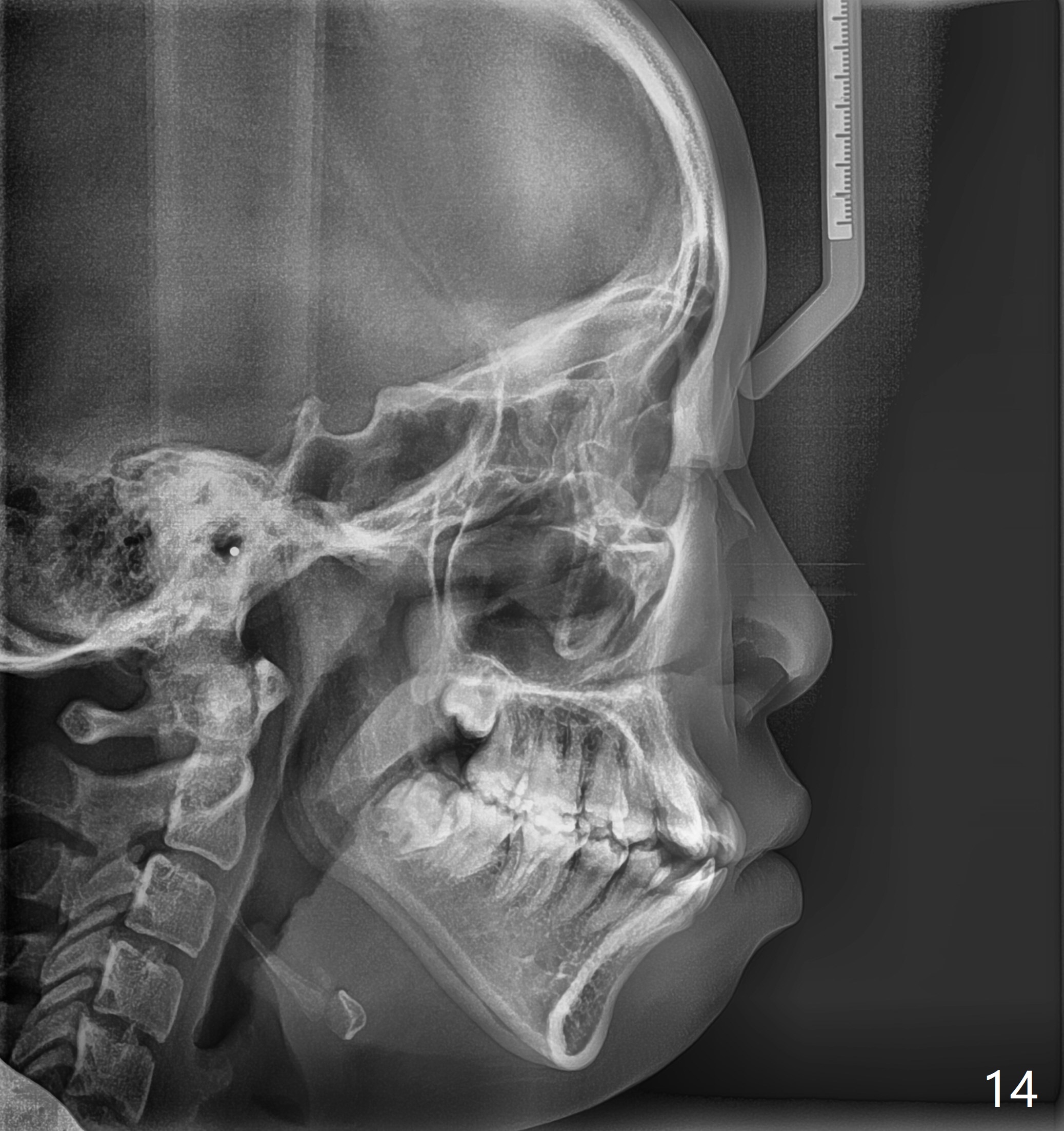
A 14-year-old woman has convex facial profile (Fig.1-4) with the upper midline shifted to the left (Fig.2). Since the roots of the 1st bicuspids are short (Fig.5), extraction should be easy. U3 will be retracted distal early with intention to correct the upper midline. With Class I occlusion at the canines and the 1st molars and good initial interdigitation (Fig.6-11), orthodontic treatment should be rewarding. Because of severe crowding (tight contact, Fig.12,13), place separators after extraction and place bands and brackets a few days later. Cephalometric analysis (Fig.14) shows that SNB is greater than SNA (82.4 vs. 81.8 degree); after extraction, retract the lower anterior teeth prior to the upper ones. It is easy to place separators after extraction (Fig.16,17).
Return to
Ortho Cases
Xin Wei, DDS, PhD, MS 1st edition 01/07/2018, last revision 01/13/2018