![]() |
![]() |
![]() |
![]() |
![]() |
Overcorrection Bracketing for Crowding
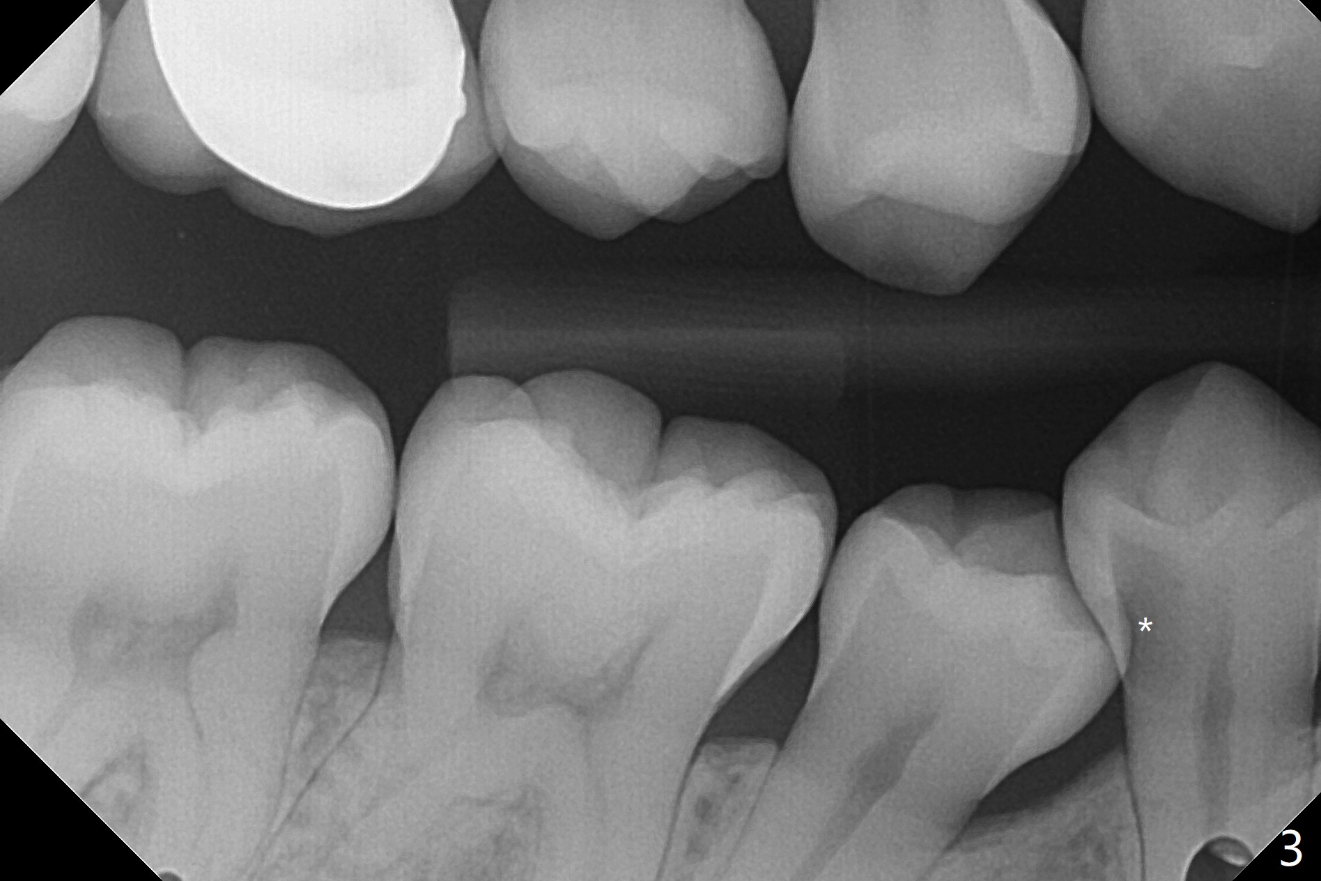
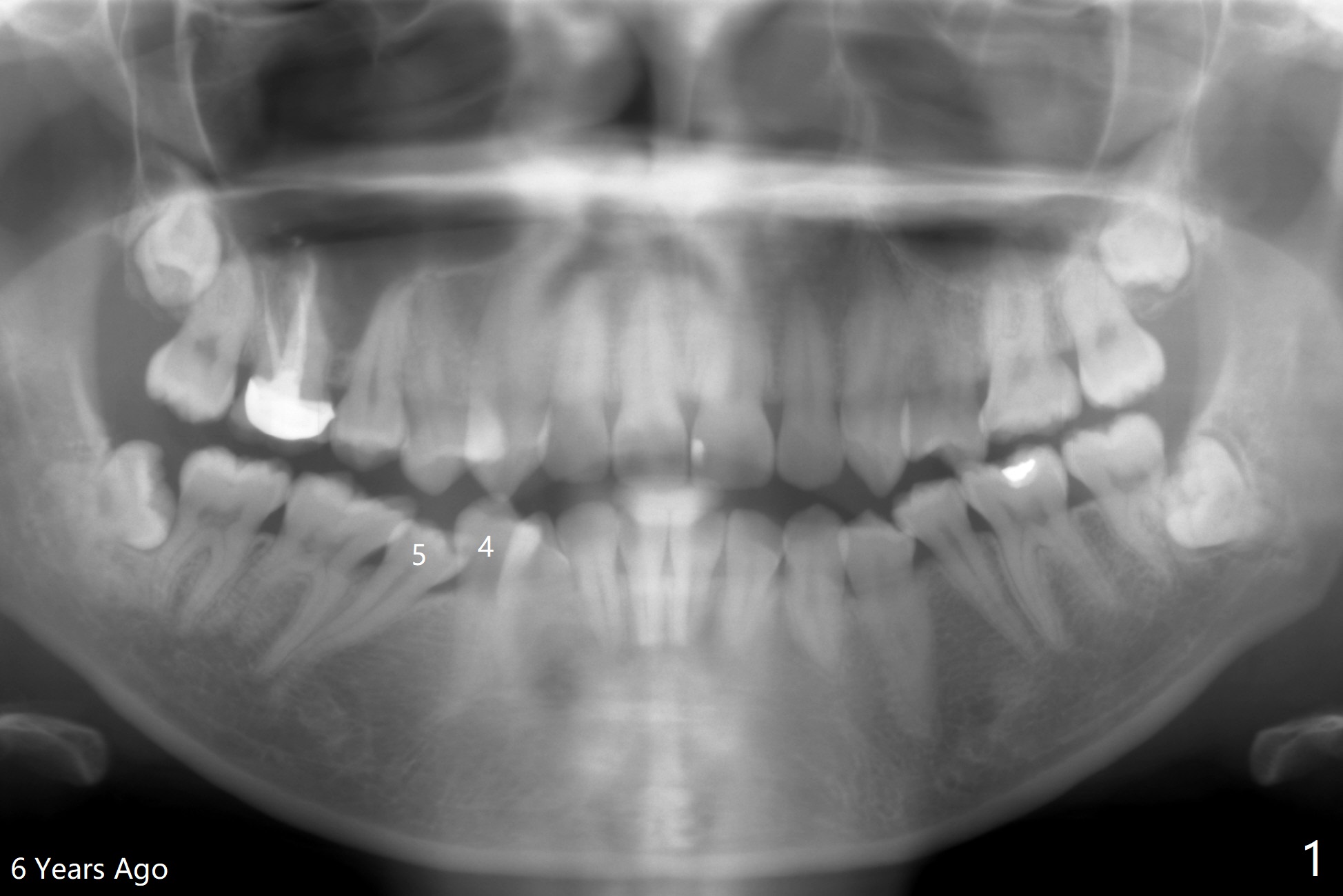
A 34-year-old woman with crowding particularly at LR 4/5 (Fig.1) and suspected DO caries of LR4 (Fig.2) returns with symptom of pulpitis and "cavity" at LR5 (MO). New Bitewing confirms LR4 DO caries (Fig.3). Treatment plan is to extract LR4 and place composite at LR5 if present. Extraction turns out to be difficult because of nervousness and TMD of the patient and crowding. The proximal areas of LR4 requires removal before luxation without traumatizing the neighboring teeth (Fig.4 insert black areas). In fact there is no caries at LR5. When the patient returns for orthodontic treatment, bracketing at LR5 should consider overcorrection (Fig.5 (black rectangle vs. red line: height of contour)) due to the tilted long axis (Fig.1).
Return to
Ortho Cases
Xin Wei,
DDS, PhD, MS 1st edition 09/10/2020, last revision
09/10/2020