![]() |
![]() |
![]() |
|
![]() |
![]() |
![]() |
![]() |
![]() |
![]() |
||
片切与龋坏
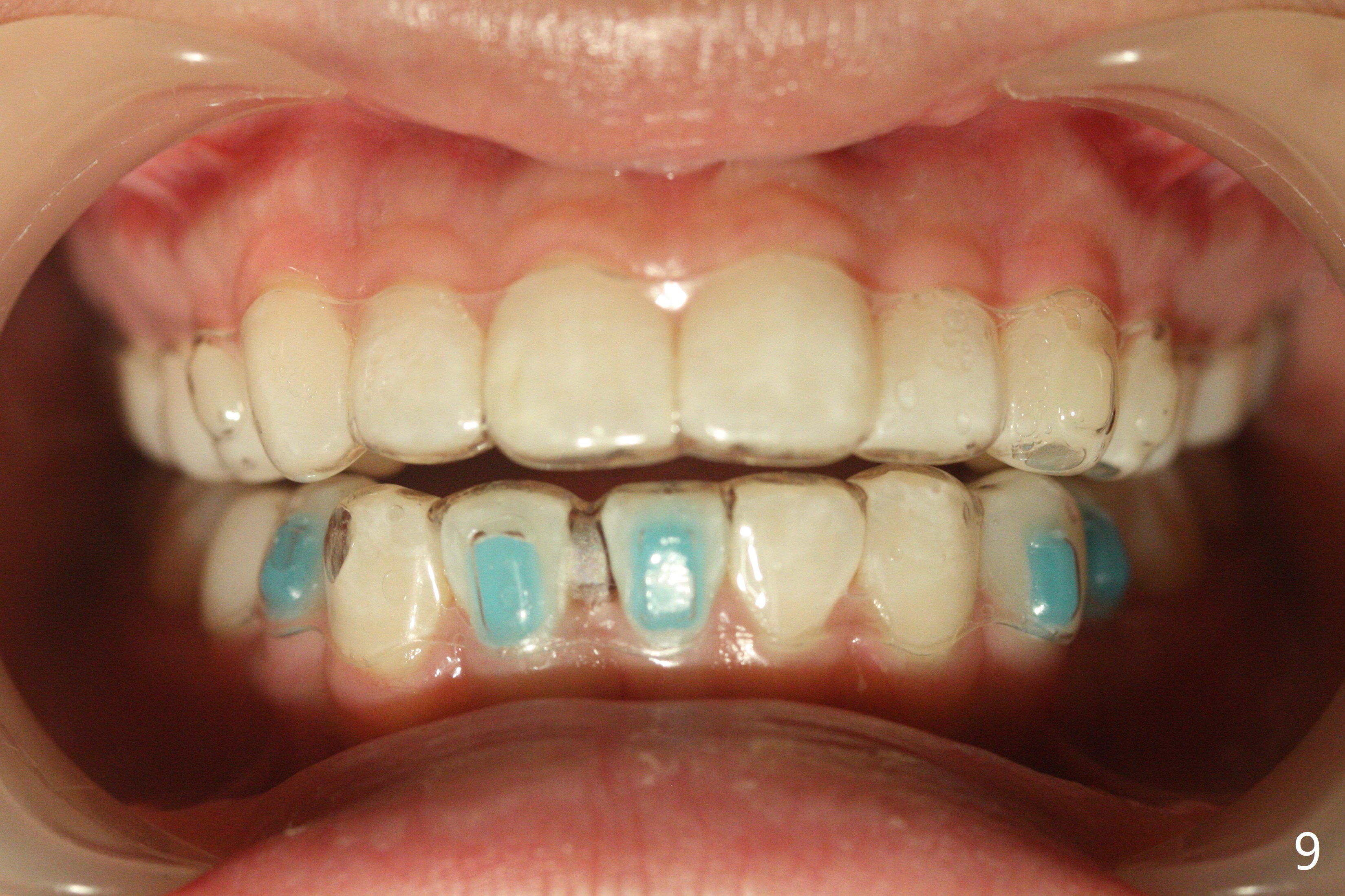
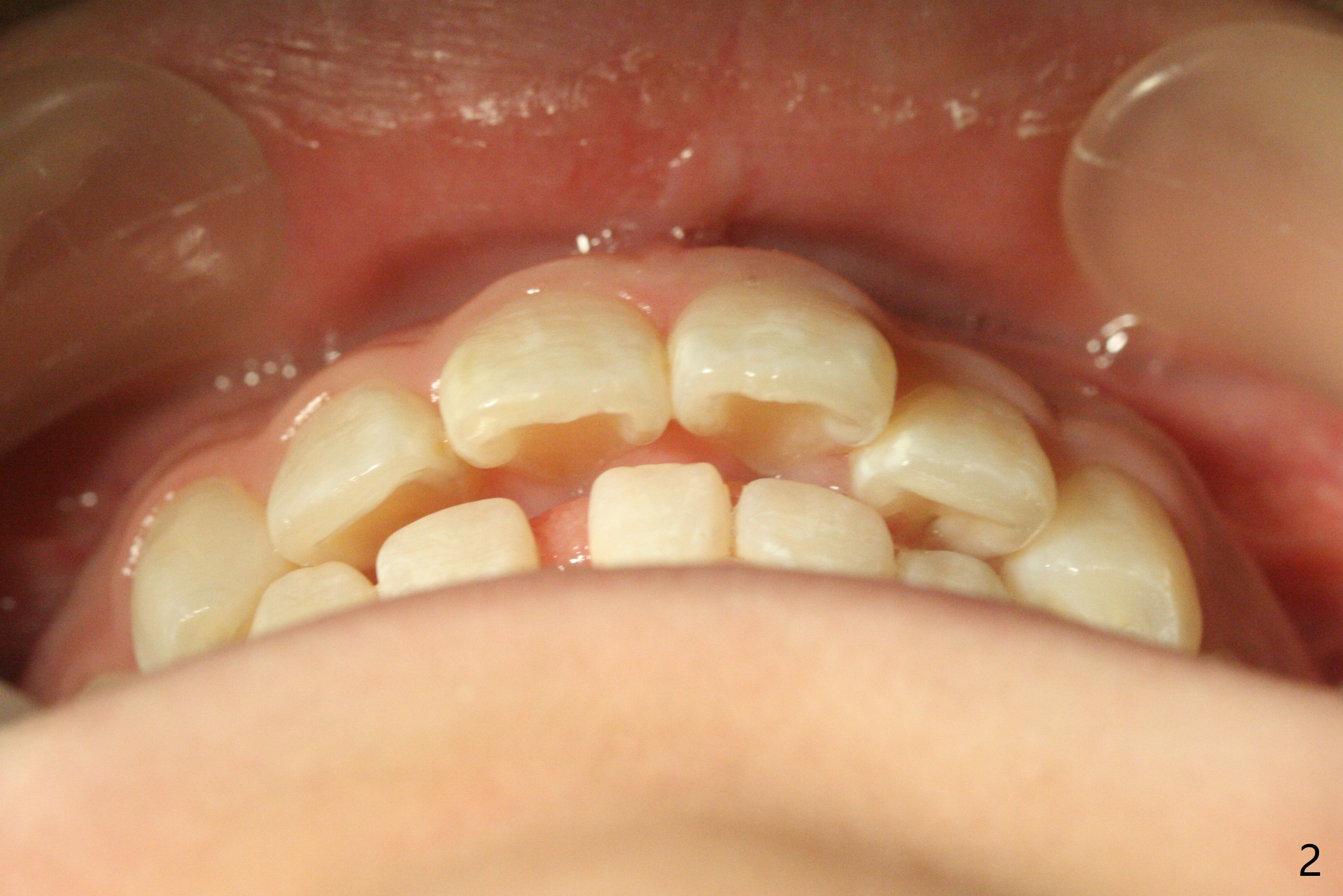
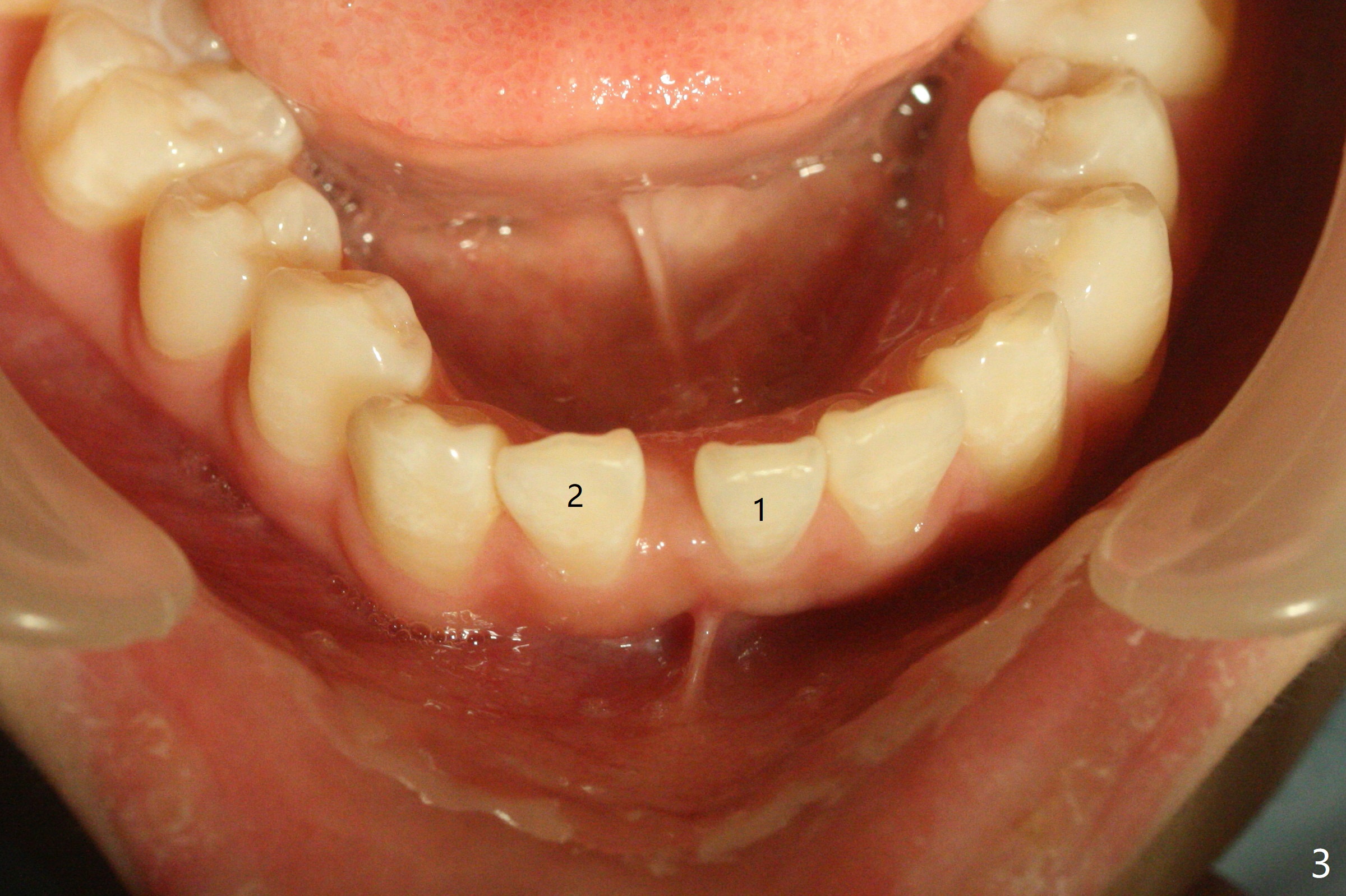
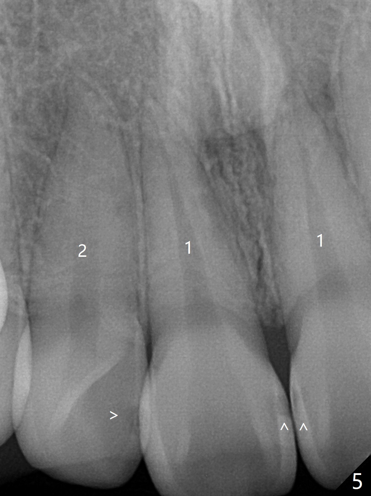
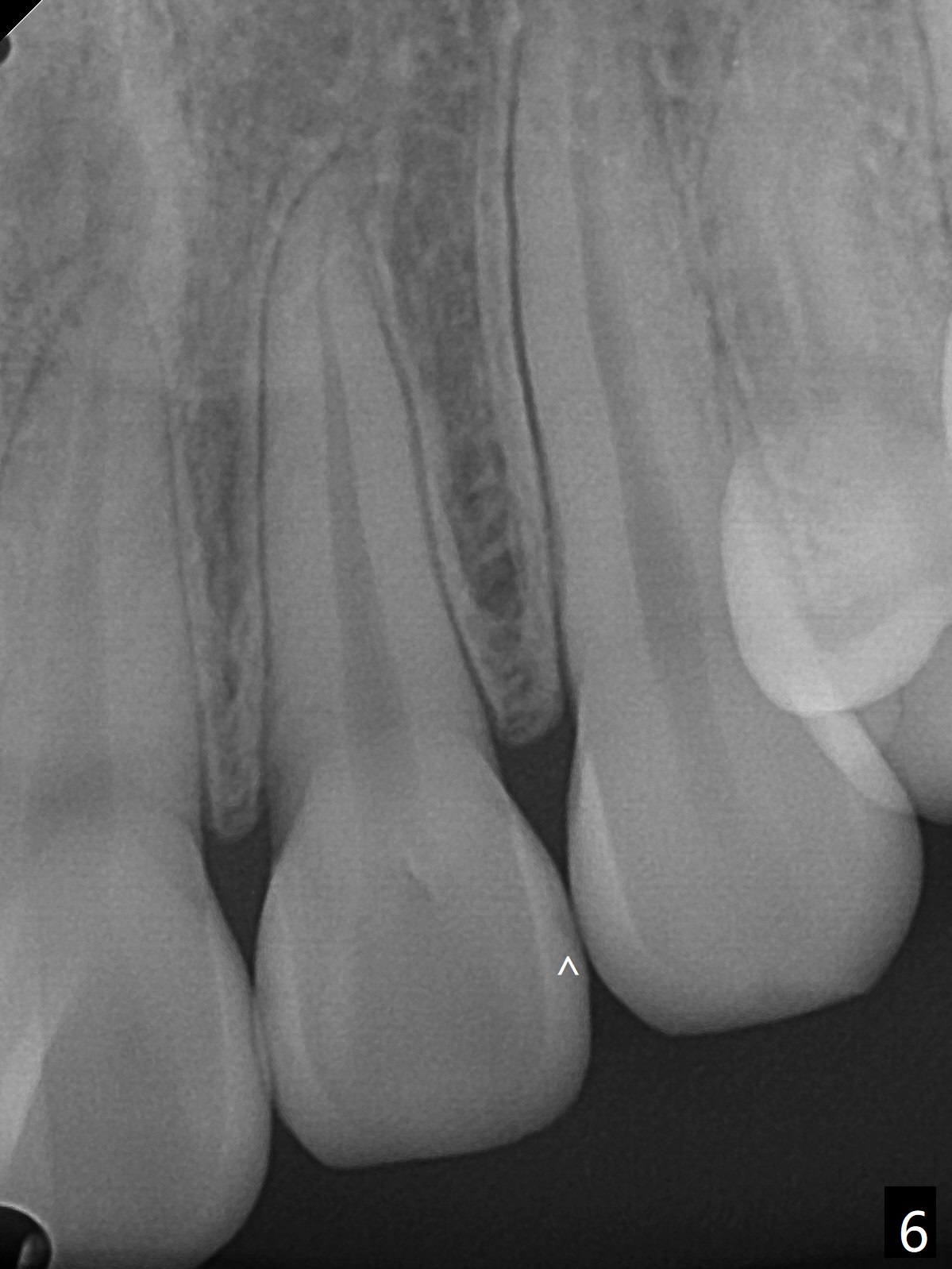
13岁女孩面型正常,先天性缺失右下1(图一,四,七),前牙深覆盖(图二),邻牙扭转(图三),治疗计划使用隐形矫正器,上牙片切,内收,关闭下切牙间隙(图八)。片切前发现上切牙邻面龋(图五,六),最大一个已经修补(右上2),不知其余小的龋坏能否片切,涂氟保守处理?不过她有龋坏易感性,以前乳牙龋坏。邻面片切后,上,下颌分别用无色和蓝色树脂做attachments(图九)。不明白的是Reciprocating saw远不如wheel利索。
Return to
Ortho Cases
Xin Wei,
DDS, PhD, MS 1st edition 05/30/2021, last revision
06/19/2021