Self Shifting Post Extraction Will Lose Space?

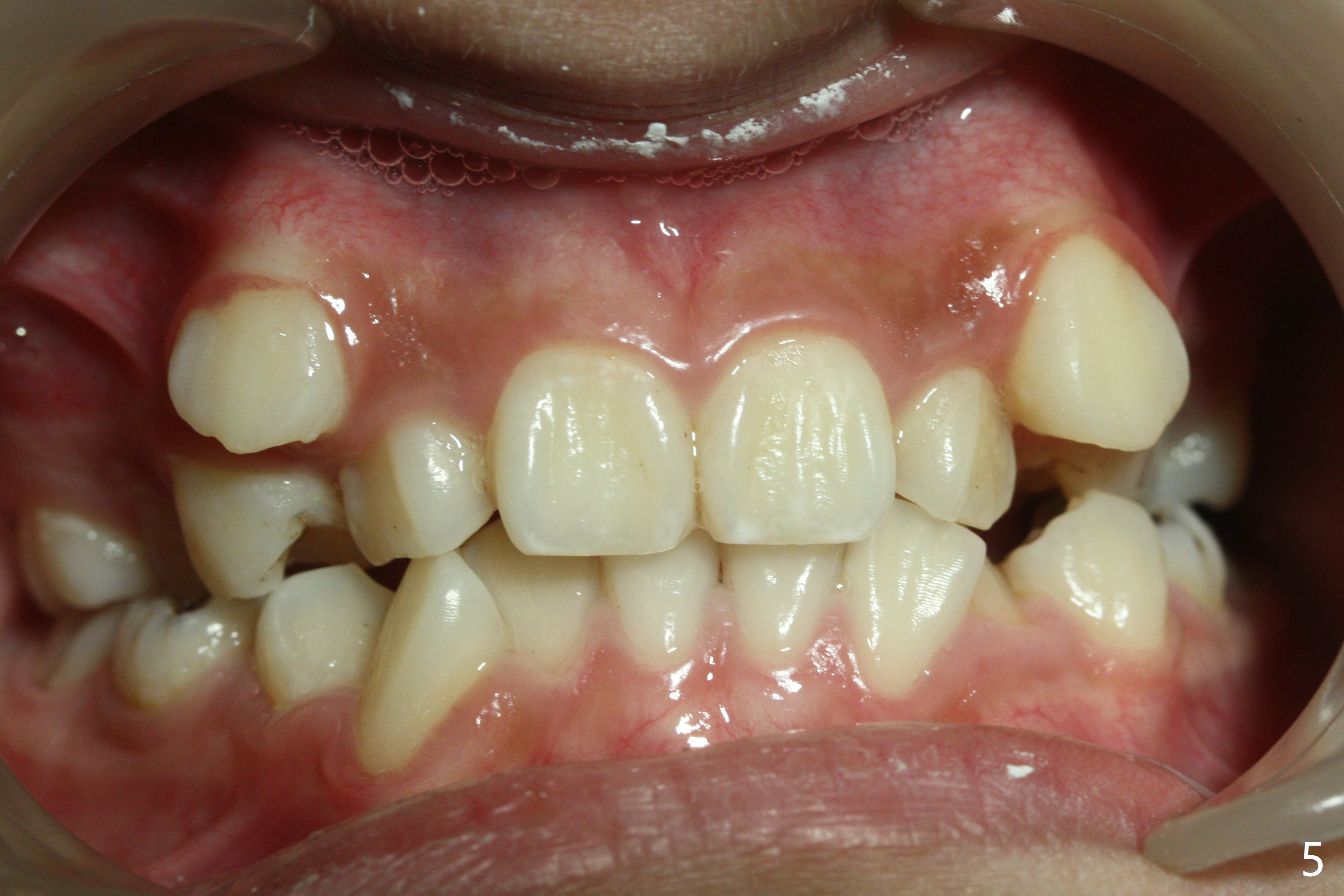
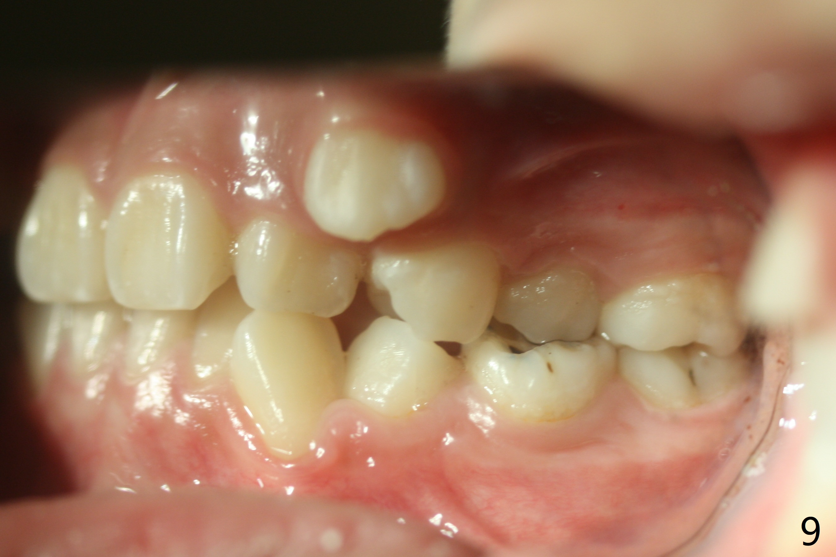
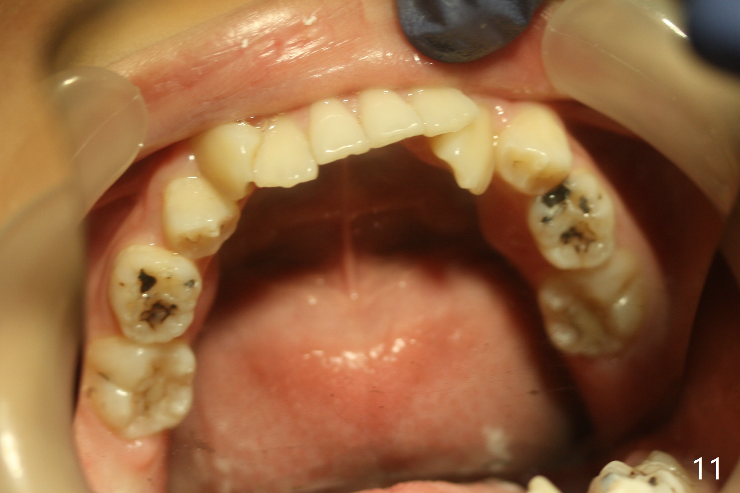
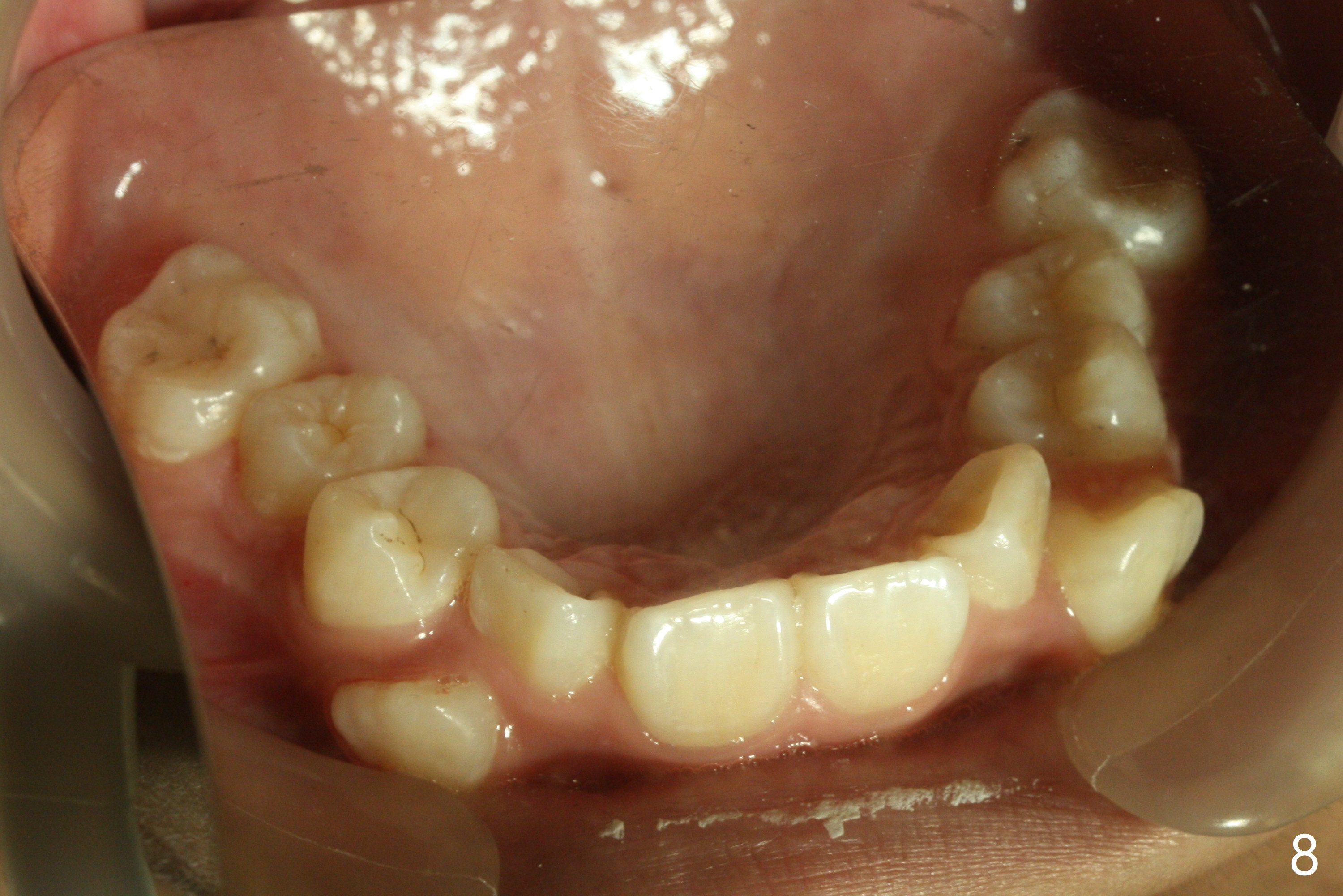
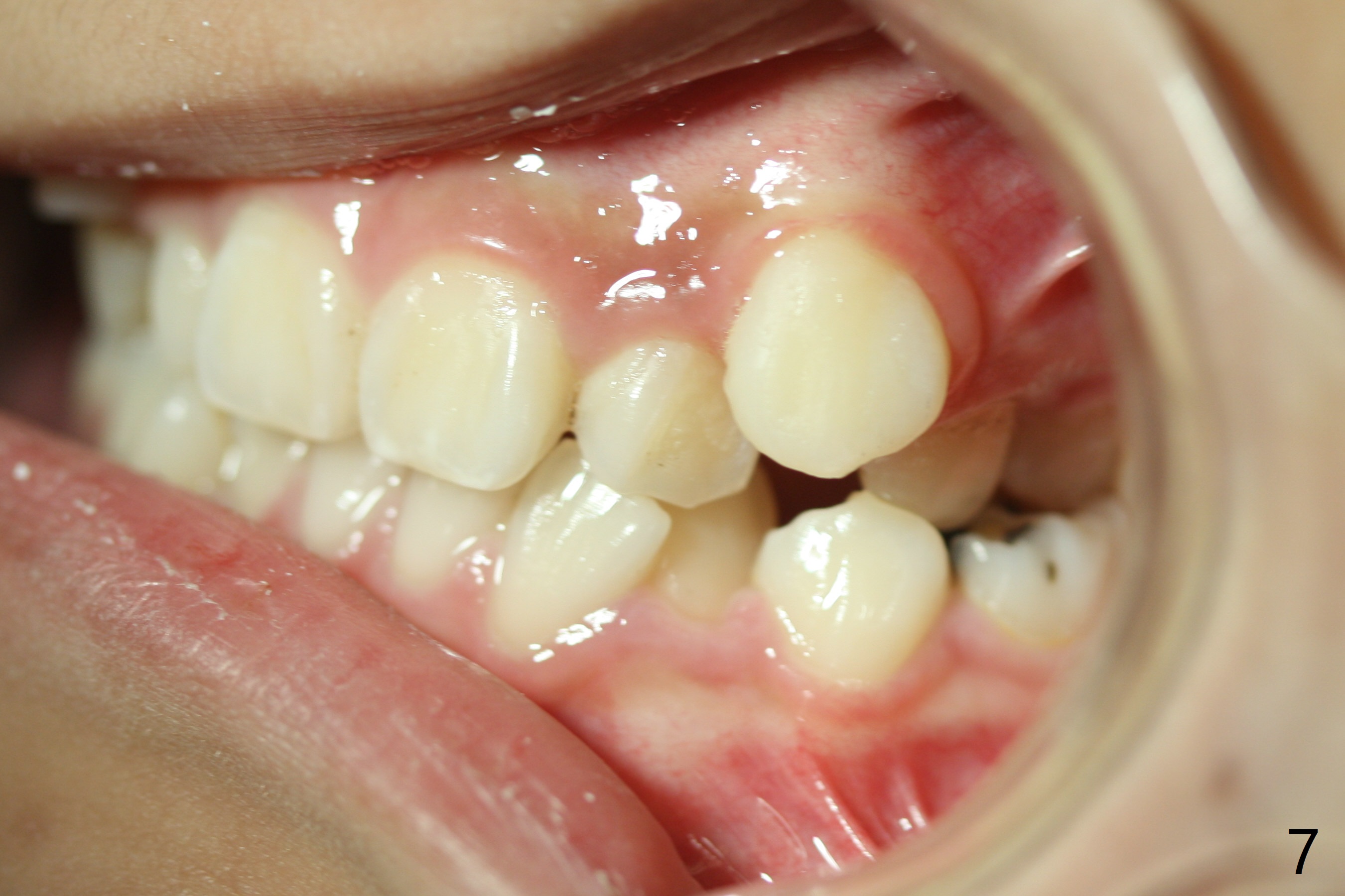
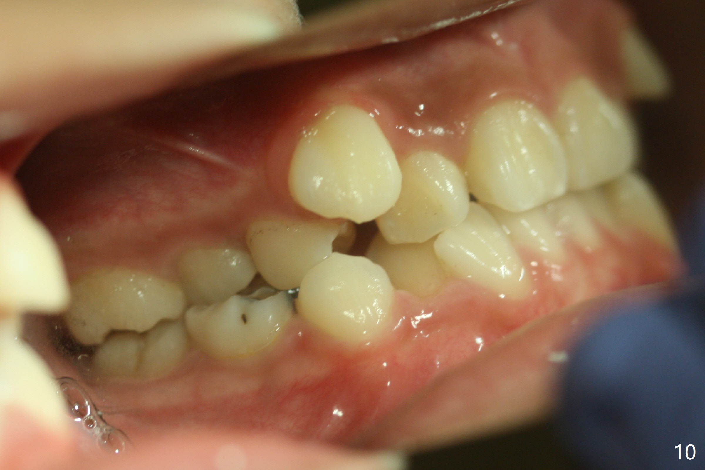
Severe crowding with normal facial profile appears to dictate extraction of 4 bicuspids and of the lower 2nd primary molars (Fig.1-11).  Since there is no time for banding before school, delay in orthodontic treatment post extraction will lose space?

Dear Dr. Shaughnessy: can you open the following link?  I would like to try to extract 4 bicuspids and 2 lower primary 2nd molars and let the canines shift by themselves.  But I wonder whether the 2nd permanent bicuspids, especially the upper ones, may shift mesially instead.  How would you like to handle the situation?
Do you place brackets at U3s as early as the other teeth?  Thanks.

If you are concerned with losing space in the U arch post-extraction, you could always place a space maintainer.  I am not concerned in the lower arch.

Or, if you place brackets you can add a stop in the arch wire at the U6 to prevent mesial migration.
Sometimes I do not bracket the canines immediately.  I allow them to erupt a bit or tease them down with buttons then bracket them-so that the AW is less deflected.  A NiTi arch wire can be deflected a lot but sometimes I do not want to do that for fear I will see reciprocal side effects that I do not want!  Tim
In fact, the family is moving out of state.  To accomplish automatic shifting before seeing a new dentist, extraction is executed.  At the mother's request, six teeth are removed.

Return to Ortho Cases Xin Wei, DDS, PhD, MS 1st edition 07/29/2018, last revision 08/08/2018