![]() |
![]() |
![]() |
![]() |
![]() |
![]() |
![]() |
![]() |
![]() |
|||
![]() |
![]() |
![]() |
|||
![]() |
![]() |
![]() |
|||
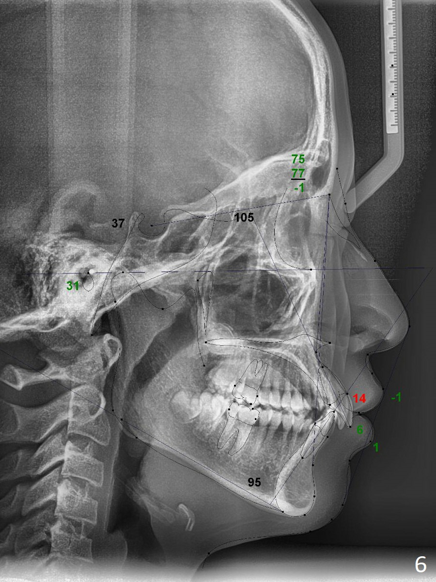
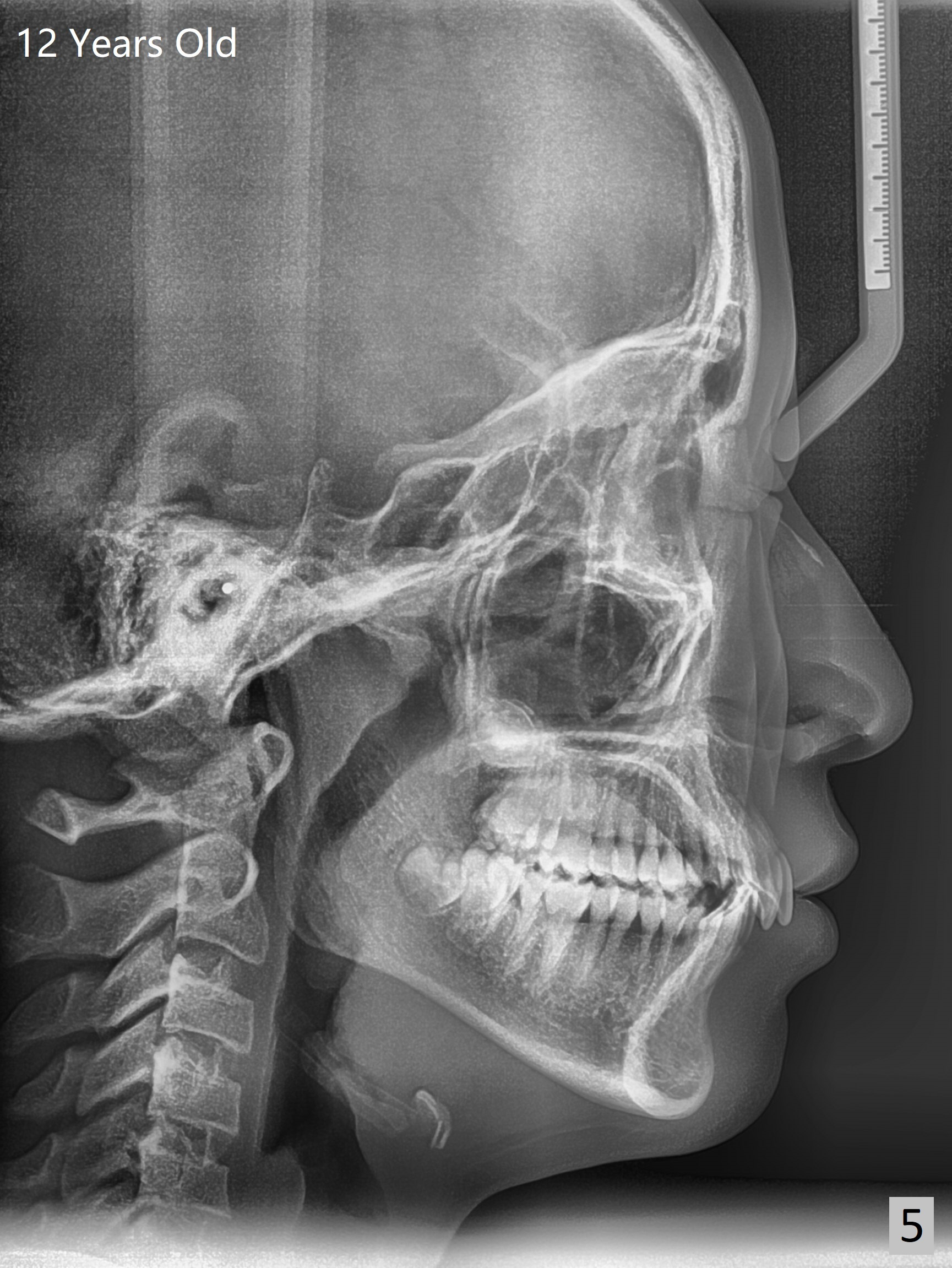
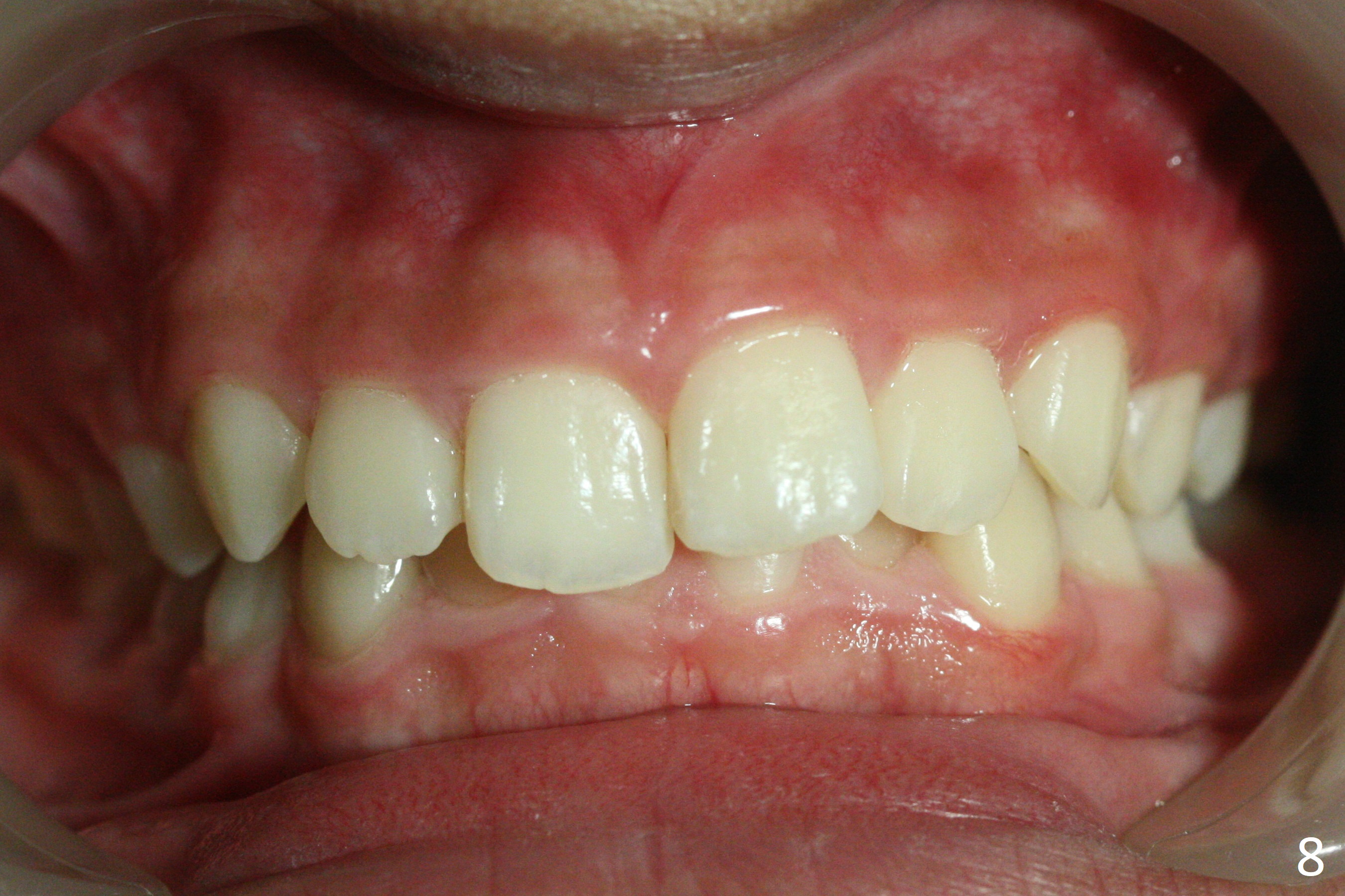
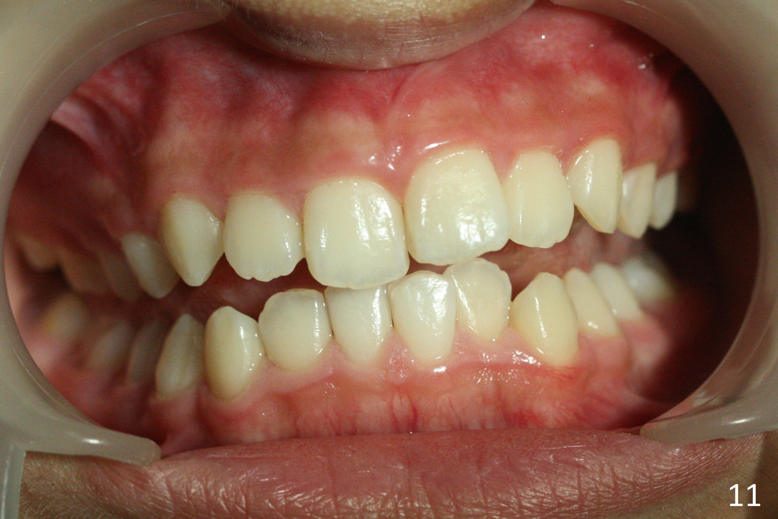
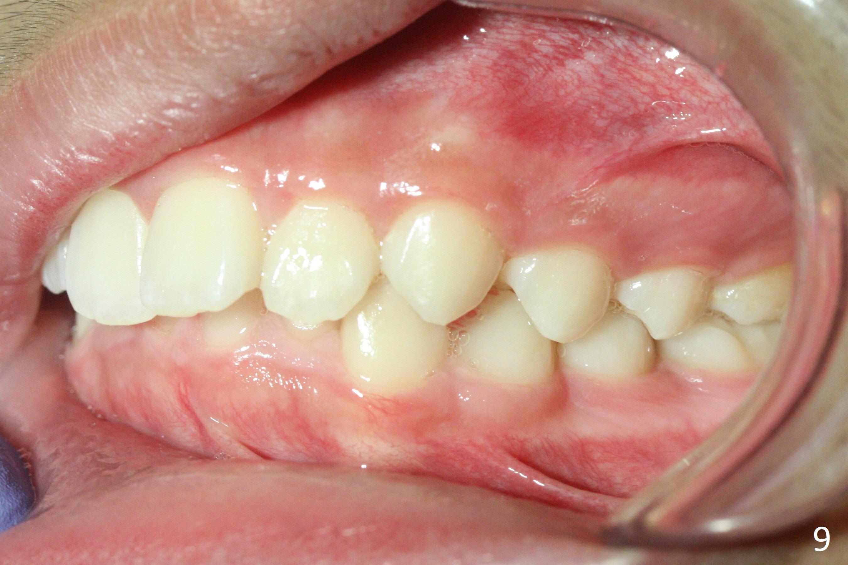
Erupting 2nd Molars
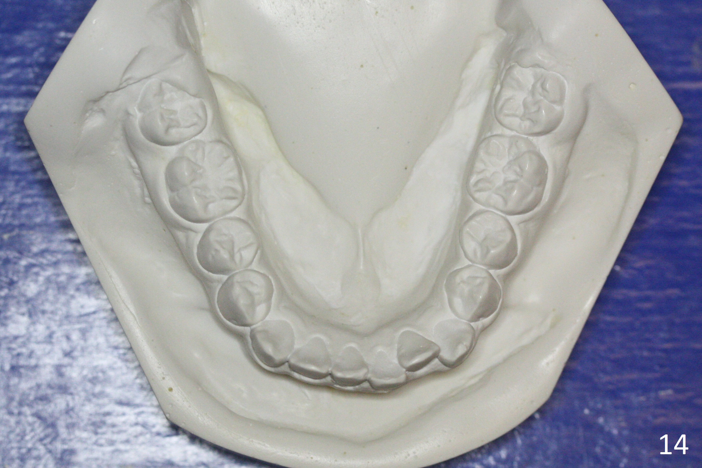
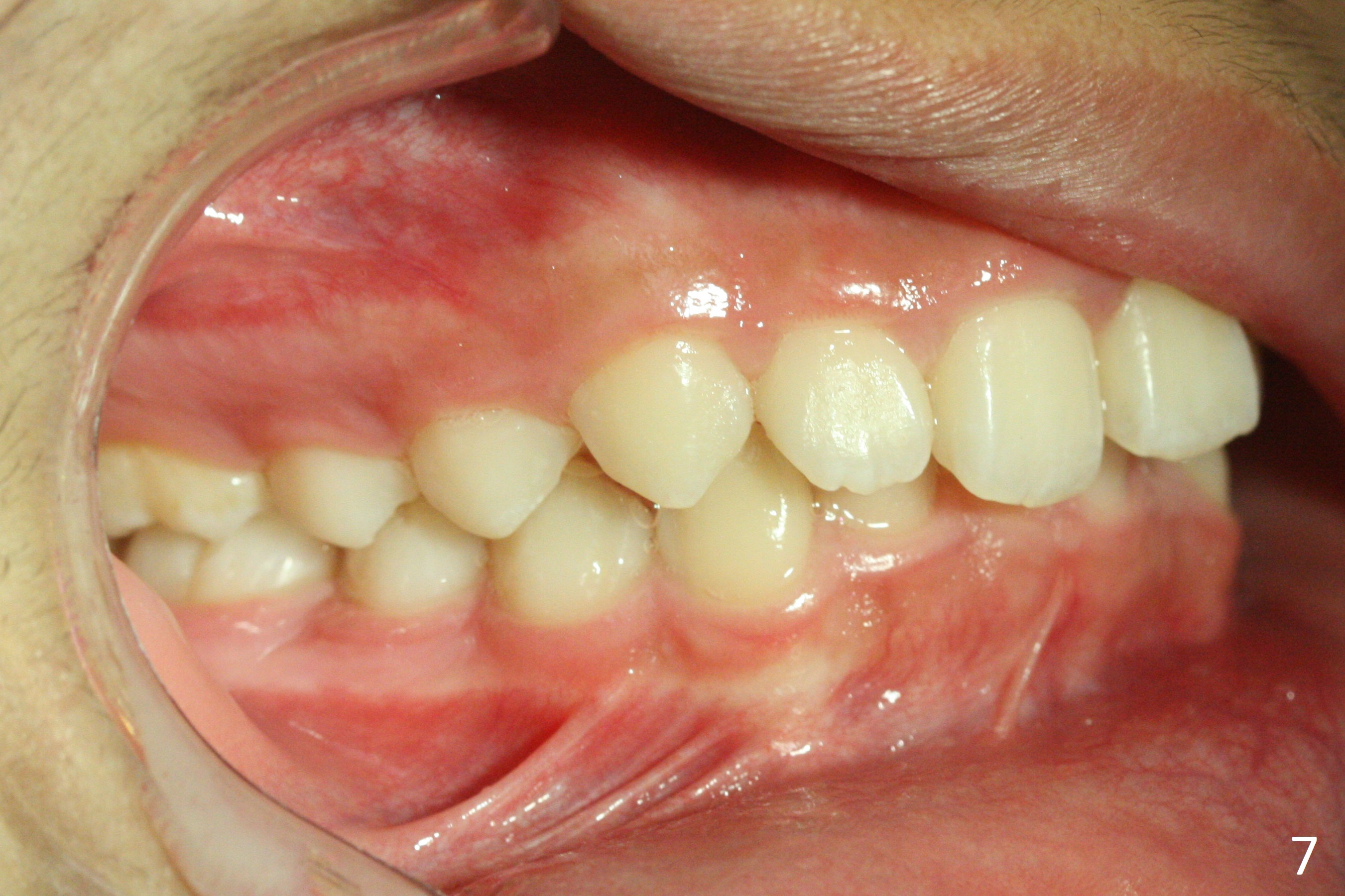
A 12-year-old woman has normal facial profile (Fig.1-6,12) and crowded dentition (7-11). Because of erupting 2nd molars (Fig.10,15), it is difficult to place rubber separators between U6/7. Copper ones are used instead (Fig.15 ^). Crowding and narrow arches (Fig.13,14) may be associated with the enlarged right Inferior Nasal Concha (Fig.15 *).
Return to
Ortho Cases
Before & After
Xin Wei, DDS, PhD, MS 1st edition
06/20/2019, last revision
12/20/2020