![]() |
![]() |
![]() |
![]() |
![]() |
![]() |
![]() |
![]() |
![]() |
|||
![]() |
![]() |
![]() |
|||
![]() |
![]() |
![]() |
|||
![]() |
|||||
Ortho in Late Mixed Dentition Stage
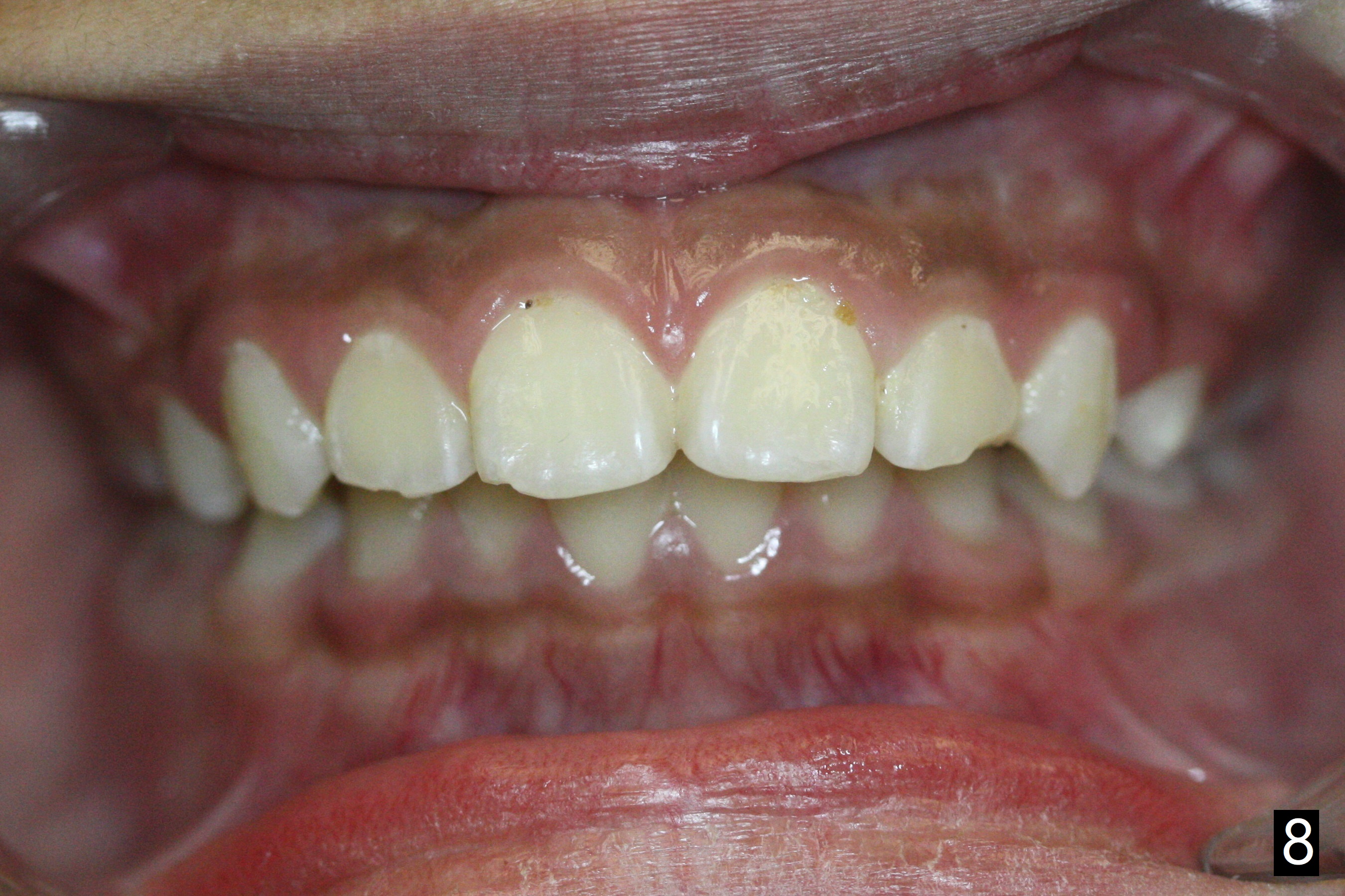
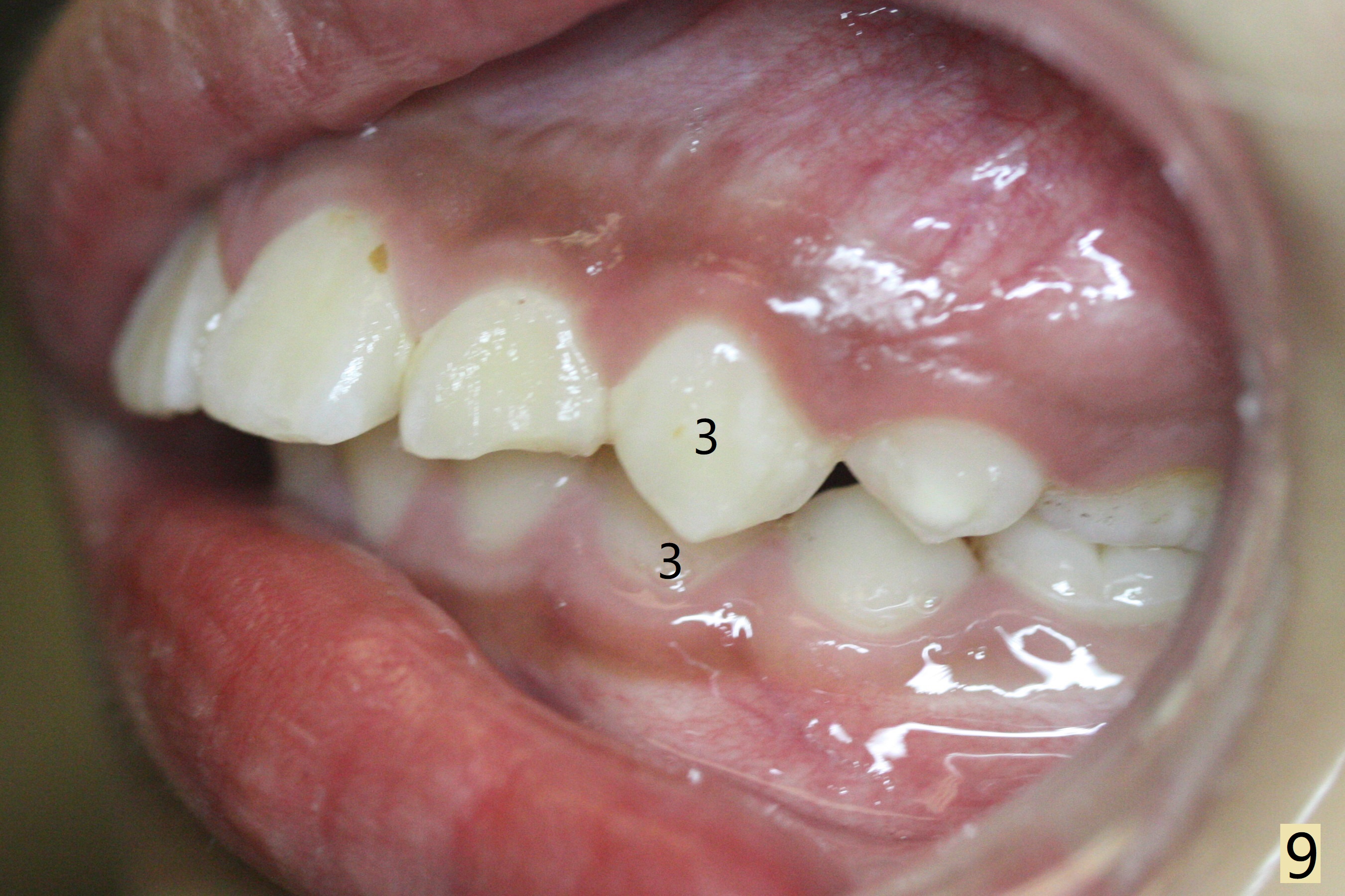
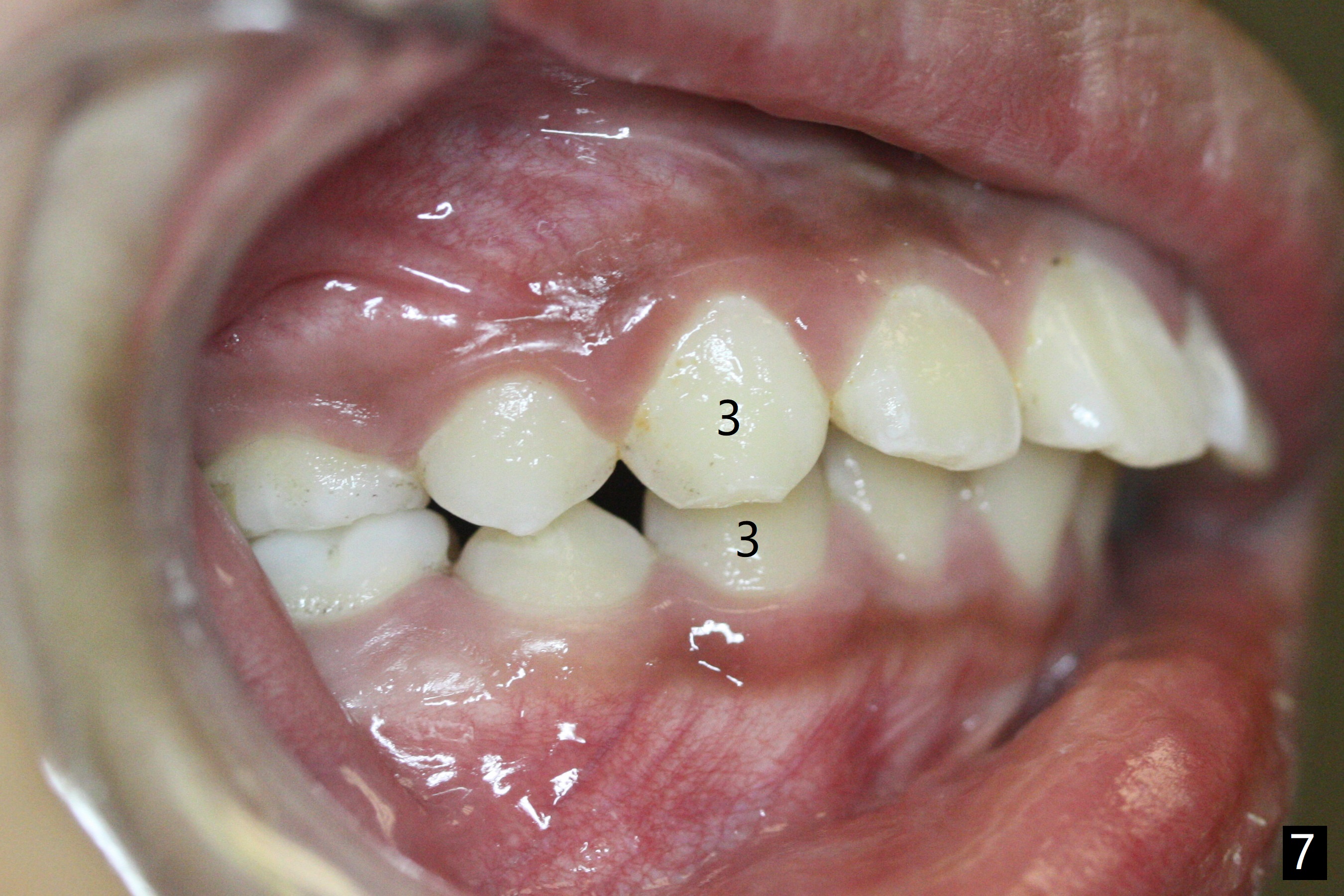
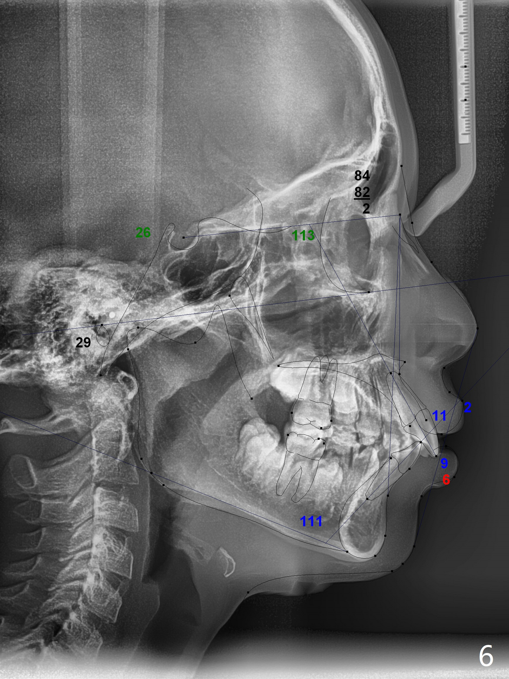
The mother of a 10-year-7-month old man requests treatment for the crowding lower incisors (Fig.14). The canines and molars are Class II by a half of a tooth (Fig.7,9,10,12). The dentition is mixed with E retention (Fig.13,14,16). Orthodontic treatment will start before E exfoliation for alignment and establishment of Class I occlusion as much as possible by distalizing U6s. Fine adjustment for intedigitation will be made when E exfoliate.
Return to
Ortho Cases
Xin Wei, DDS, PhD, MS 1st edition
04/28/2019, last revision
04/28/2019