![]() |
![]() |
![]() |
![]() |
![]() |
![]() |
![]() |
![]() |
![]() |
![]() |
![]() |
![]() |
![]() |
![]() |
![]() |
![]() |
![]() |
![]() |
![]() |
![]() |
![]() |
![]() |
![]() |
![]() |
![]() |
![]() |
![]() |
![]() |
![]() |
No Quiz, but Questions (Part IV)
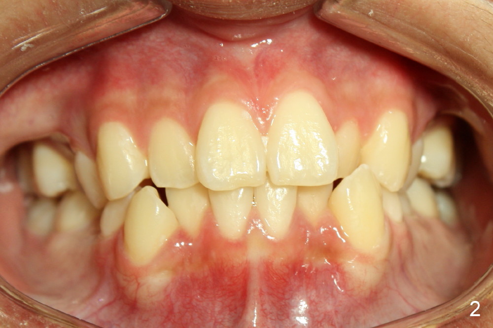
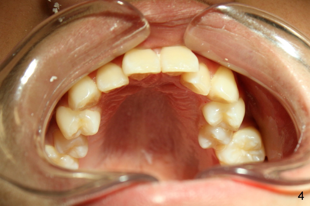
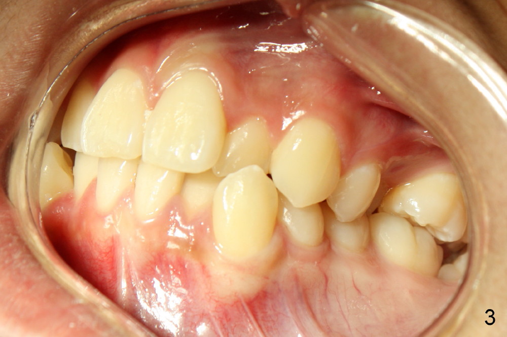
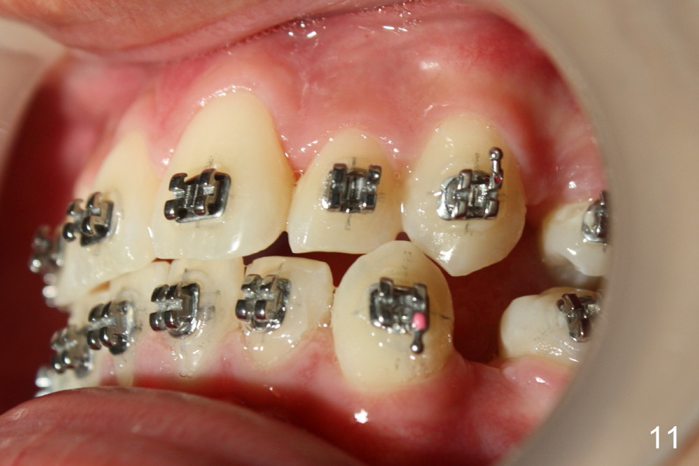
A 13-year-old boy has severe crowding (Fig.1-5). Four of the first bicuspids were extracted on 02/17/2014. Full mouth brackets or bands (except #18) were placed on 03/27/2014. Alignment improved 2 months later (Fig.11, 05/24/2014). The upper 18 ss wire was modified (Fig.12), and fixed with alastiks (Fig.13,14). One month later (07/01/2014), local alignment also improved (Fig.15); the upper modification is confined to one tooth.
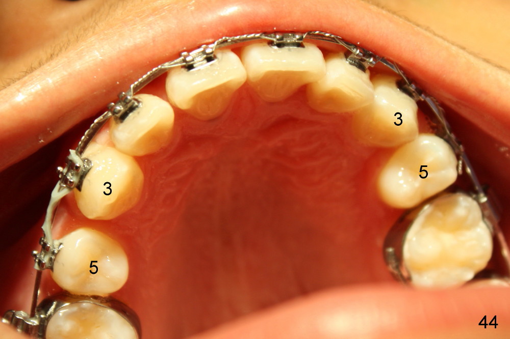
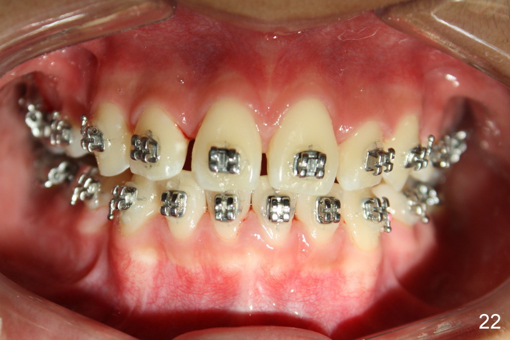
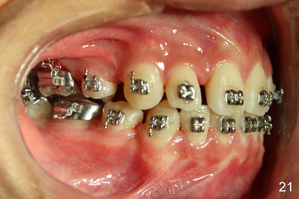
Four and a half months post bracketing (Fig.21-25), what do you find and what should be done next?
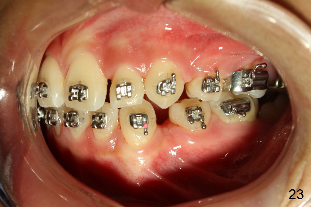
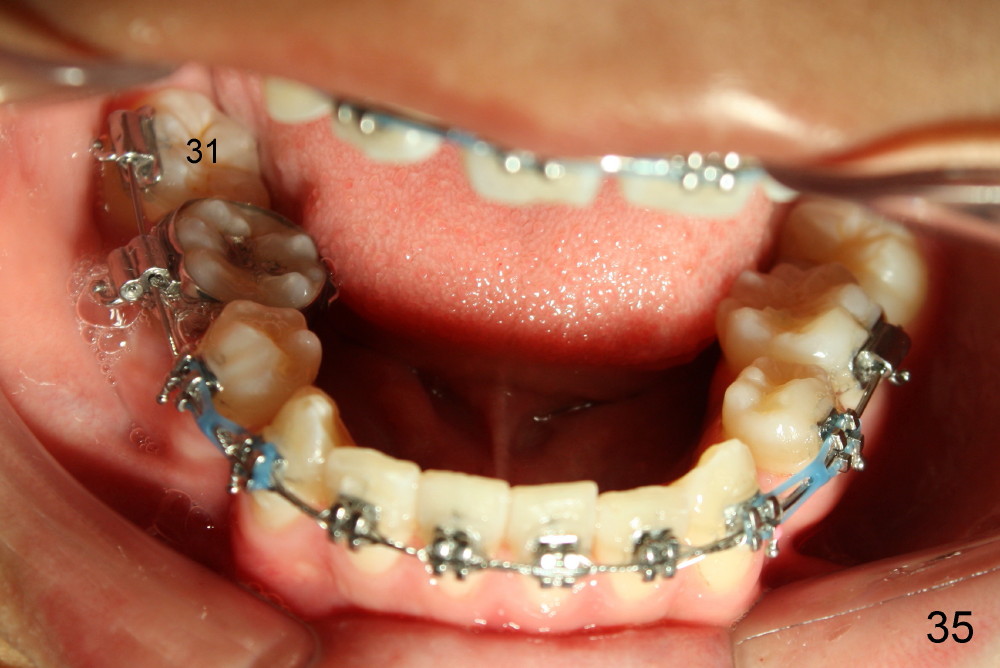
Prior to bracketing, the mesiodistal space for #18 is planned to be obtained by moving #20 and then #19 mesially (Fig.31-35, 16x16 ss). The six anterior lower teeth are tied together in a figure 8 fashion. Power chains are placed between the lower canine and the 2nd bicuspids. The upper diastemata are to be closed by power chains between the 1st molars.
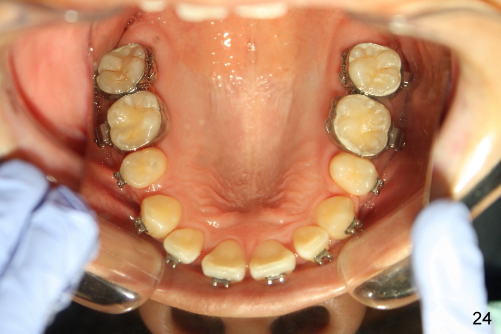
The kid returns 1 month 10 days after last visit. Wires change to 16x22 ss with figure-8 wires placed between UR3 and UL4 and between LL3 and LR 4 (Fig.41-45). A separator is placed between LL6 and 7.
Two months later, LL7 (#18 in Fig.53,54) appears to be uprighted by itself (probably due to mesialization of the teeth mesial to it); a bracket is placed with .012 niti wire. No power chains are used to close the diastemata among the upper teeth, since the anterior overjet is minimal. A rotation wedge is placed in the distal wings of #27 to fix rotation. Is it right?
Return to Ortho Cases
Xin Wei, DDS, PhD, MS 1st edition 08/14/2014, last revision 11/30/2014