![]() |
![]() |
![]() |
![]() |
![]() |
![]() |
Unilateral Class II Malocclusion
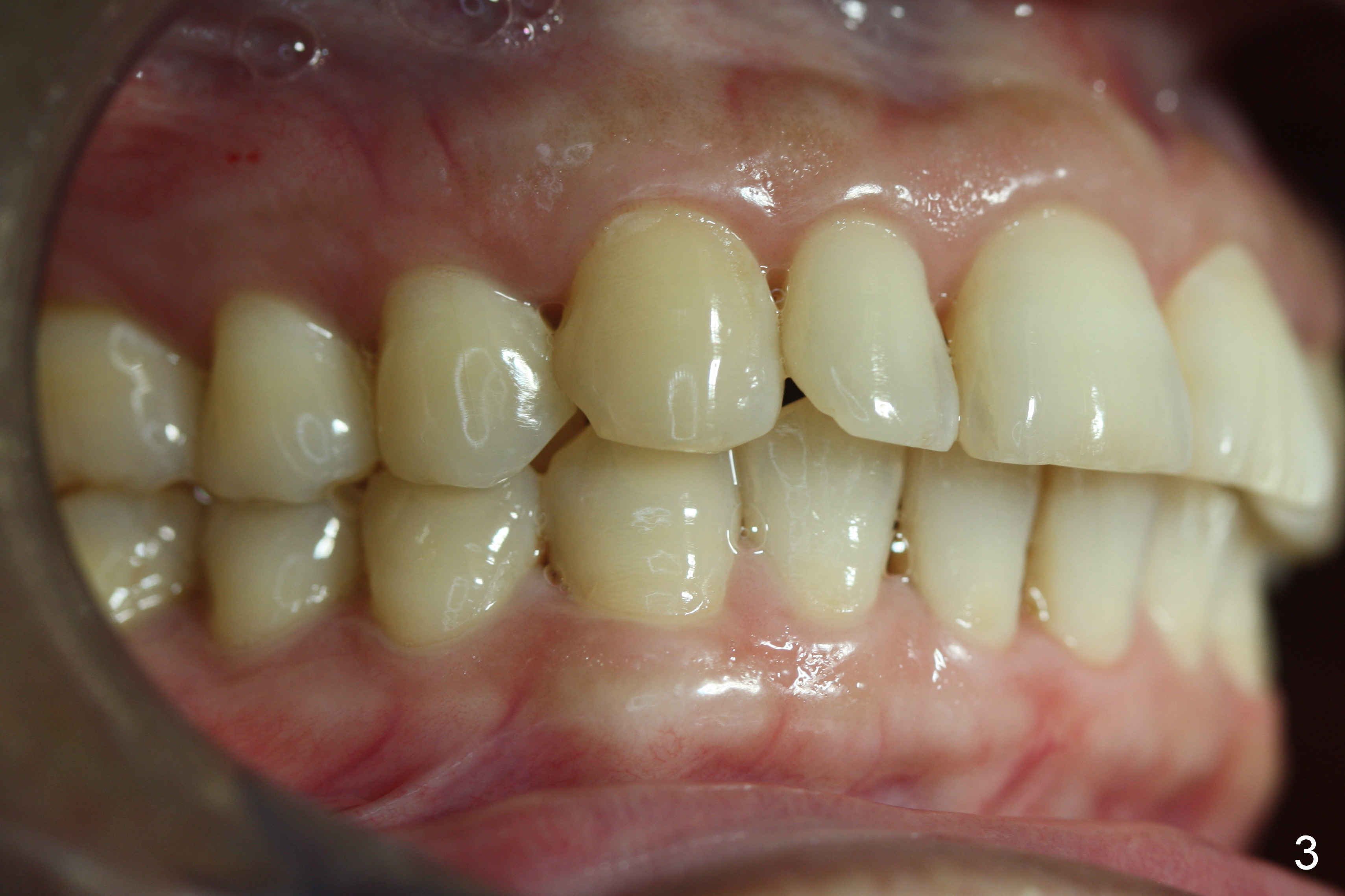
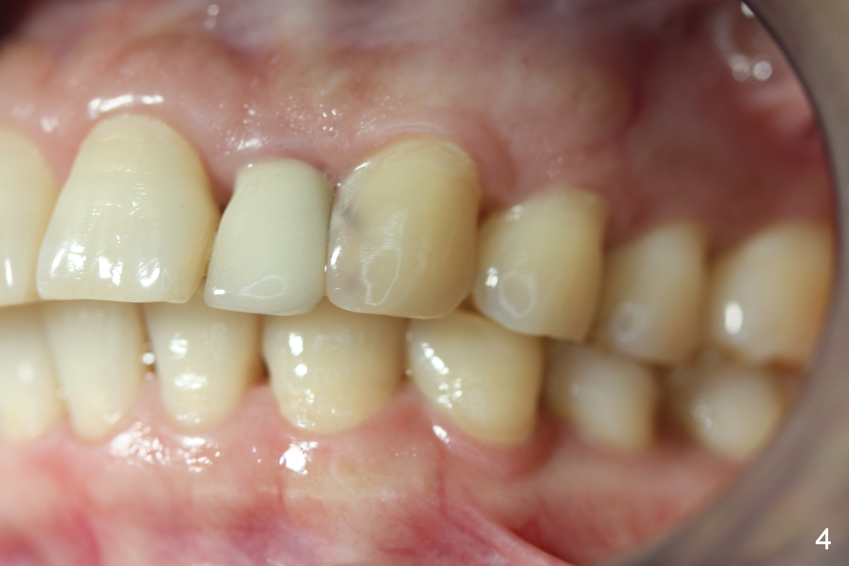
A 53-year-old woman wants to improve tooth appearance. Her concerns include microdontia at UR, UL 2 and caries at UL 3. The upper dental midline deviates to the left (Fig.1), while the lower one to the right (Fig.2). This may be related to unilateral Class II malocclusion (Fig.3,4).
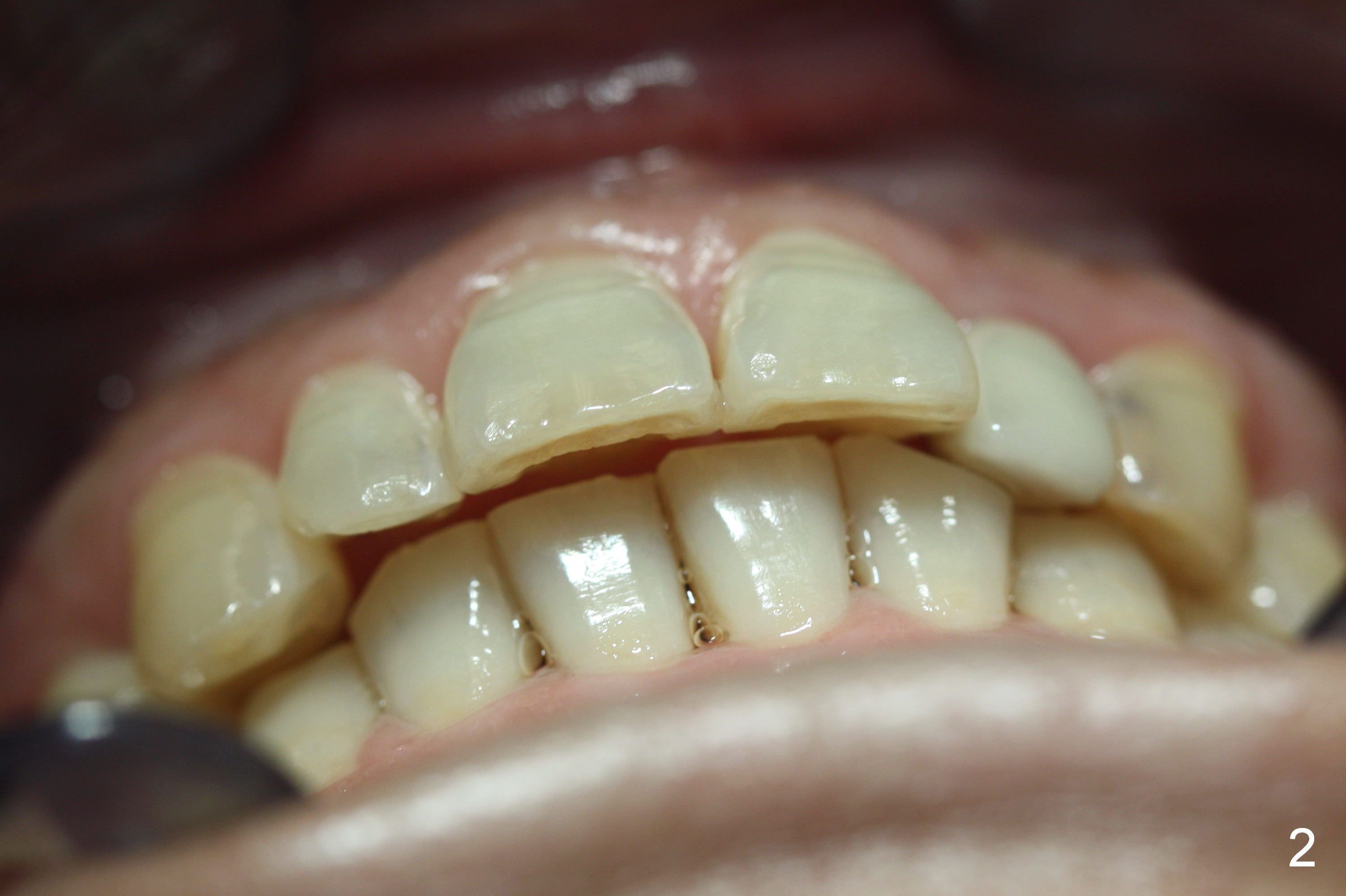
What has been done is arch wire sequence, proximal reduction and move the upper right teeth to the right (Fig.5) and the lower left teeth to the left (Fig.6) sequentially. It may be not enough when the unilateral Class II malocclusion is not addressed directly. Pay attention to the present occlusion now and address properly.
Return to Ortho Cases
Xin Wei, DDS, PhD, MS 1st edition 01/01/2016, last revision 01/01/2016