![]() |
![]() |
![]() |
![]() |
![]() |
![]() |
Unilateral Class II Malocclusion
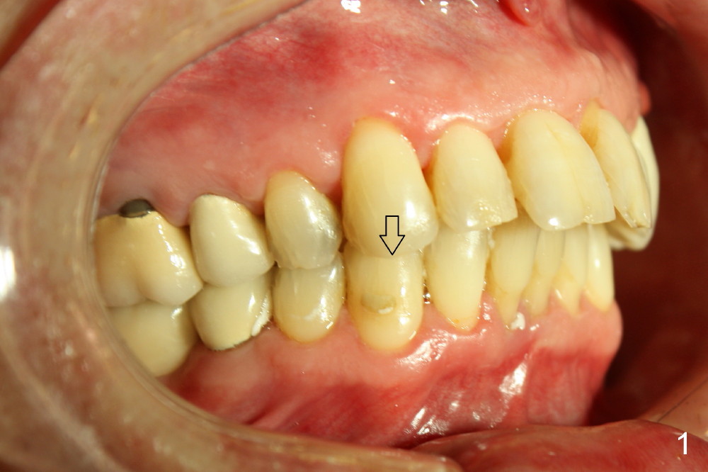
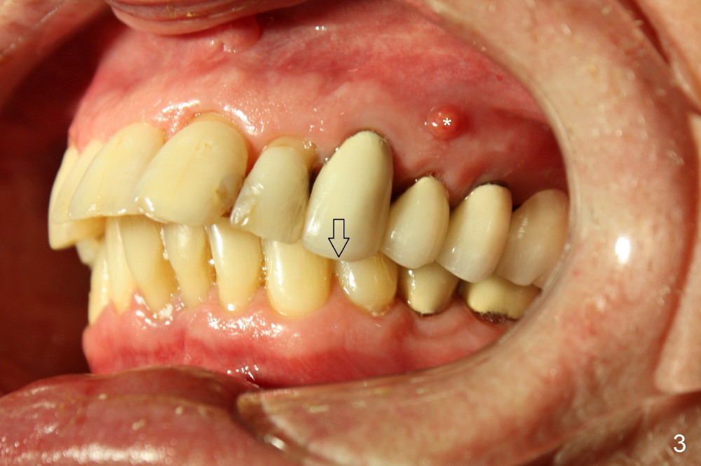
A 66-year-old man has dreamed to correct his bite since childhood. The malocclusion is characterized by deviation of the upper midline to the left (Fig.2), Class II occlusion on the right (Fig.1), and Class I occlusion on the left (Fig.3).
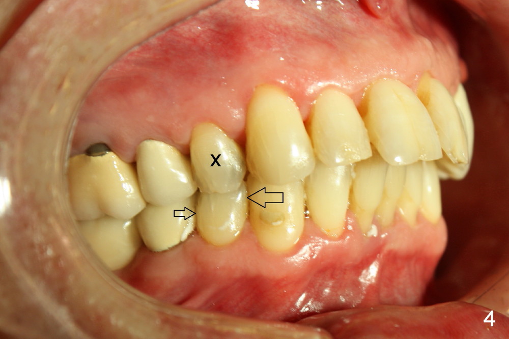
Although there is apical infection associated with the upper left first bicuspid (Fig.3 *), orthodontic treatment consists of extraction of a single tooth: the upper right first bicuspid (Fig.4,5: x), minor movement of the posterior teeth (Fig.4,5 smaller arrow) and major movement of the anterior teeth (bigger arrow). Fig.6 shows simulated tooth movement.
Return to Ortho Cases
Xin Wei, DDS, PhD, MS 1st edition 03/26/2014, last revision 03/26/2014