![]() |
![]() |
![]() |
![]() |
![]() |
![]() |
![]() |
![]() |
![]() |
![]() |
![]() |
![]() |
![]() |
![]() |
![]() |
Open Bite Relapses
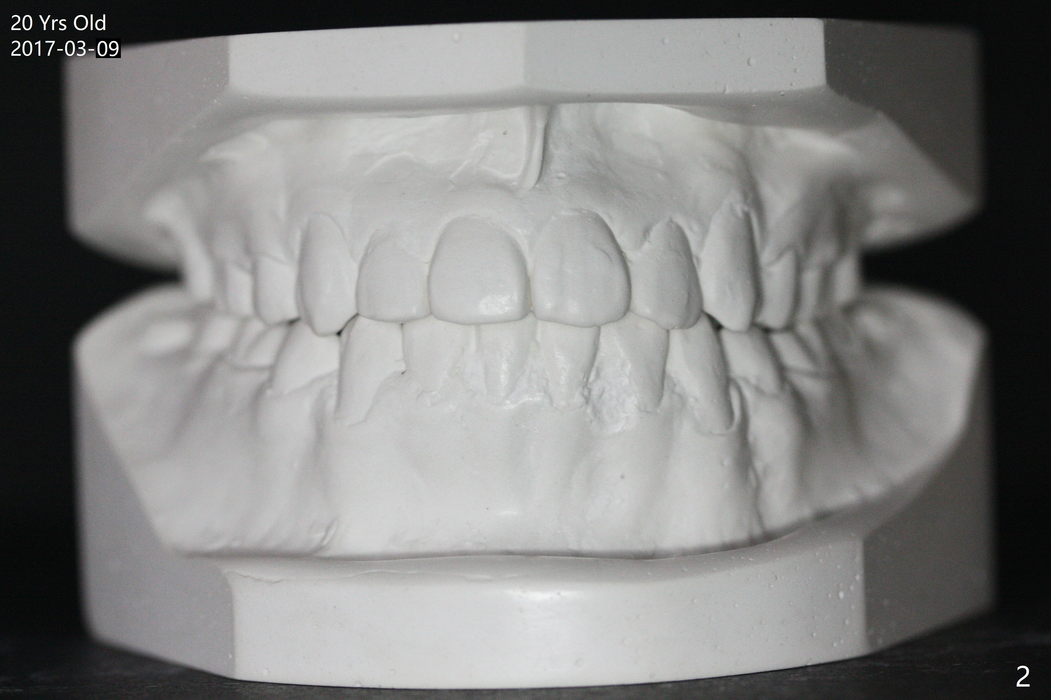
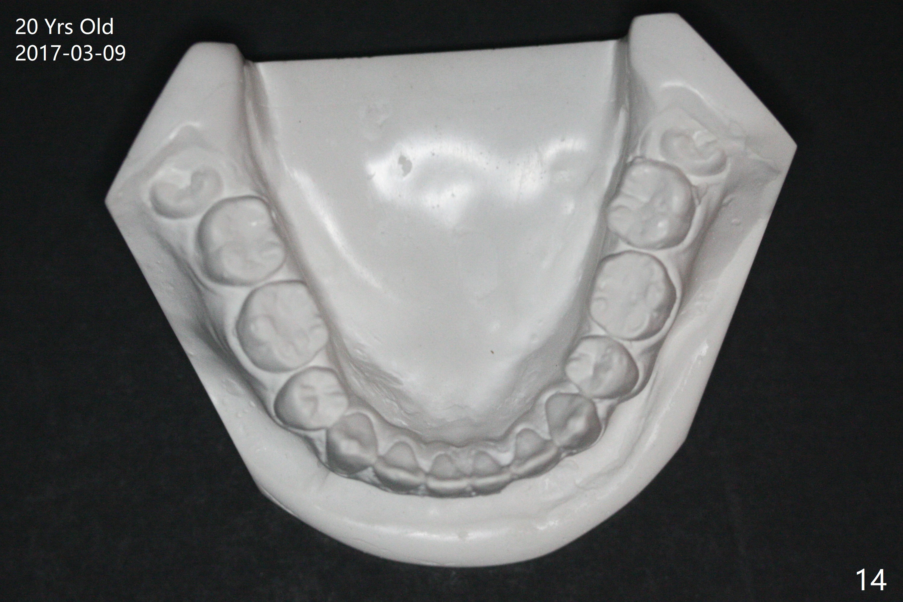
A 16-year-old man has severe crowding, but the open bite is ignored (Fig.1,4,7,10,13). The orthodontic treatment lasts 4 years 5 months, including failure to return for a period of time. The open bite seems to have been corrected (Fig.2, 5, 8, 11, 14). Suction down retainers are provided. In less than 2 years, the patient returns requesting remaking retainers. It appears that open bite relapses (Fig.3,6,9,12,15), as related to supraeruption of the lower 2nd molars (Fig.6,9 arrows). The latter is apparently associated with the erupting 3rd molars.
Return to
Ortho Cases
Xin Wei, DDS, PhD, MS 1st edition
02/24/2019, last revision
02/24/2019