![]() |
![]() |
![]() |
![]() |
![]() |
![]() |
![]() |
![]() |
![]() |
![]() |
![]() |
![]() |
![]() |
![]() |
![]() |
Steps to Move Anteriors Distal after Extraction
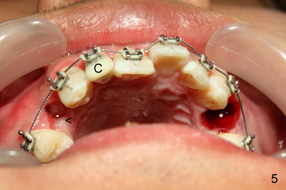
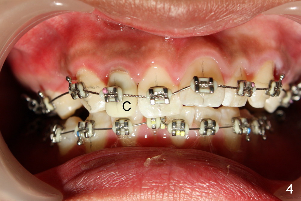
A 21-year-old man has severe maxillary protrusion (Class II malocclusion) with crown fracture of #7 (Fig.1,2,3 (latter two mirror images). Treatment plan is to place pre-fabricated post and provisional for #7 (Fig.4,5 C) and start ortho treatment with extraction of upper 1st bicuspids (Fig.5 *, <). When ortho finishes, fabricate full-coverage porcelain crown for #7.
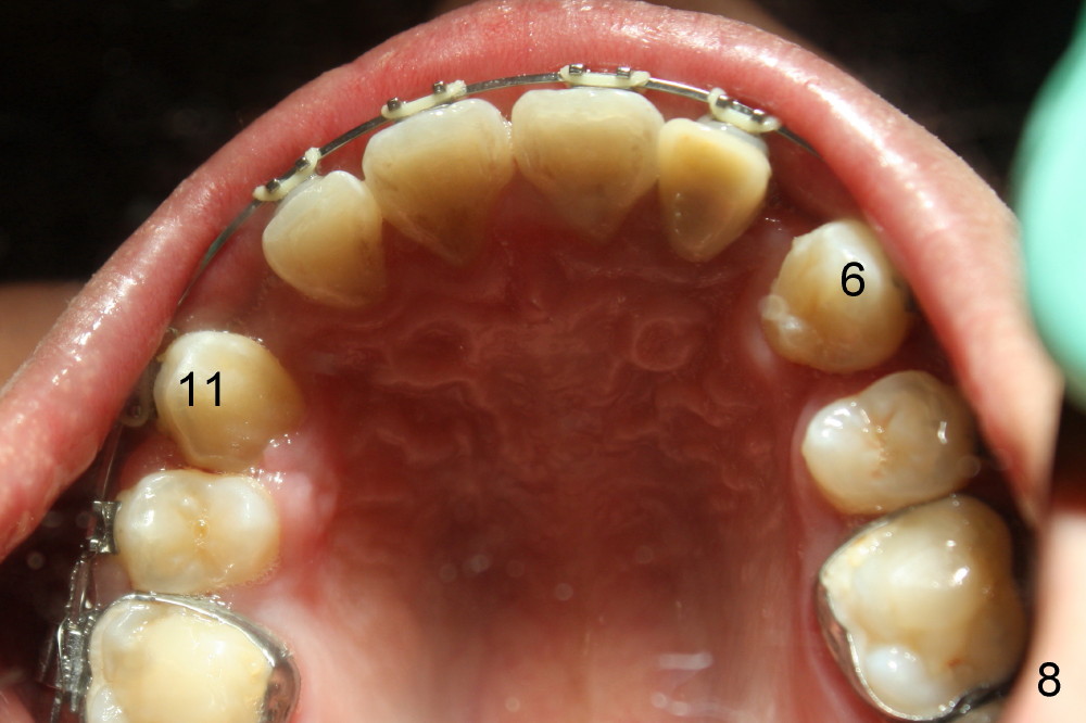
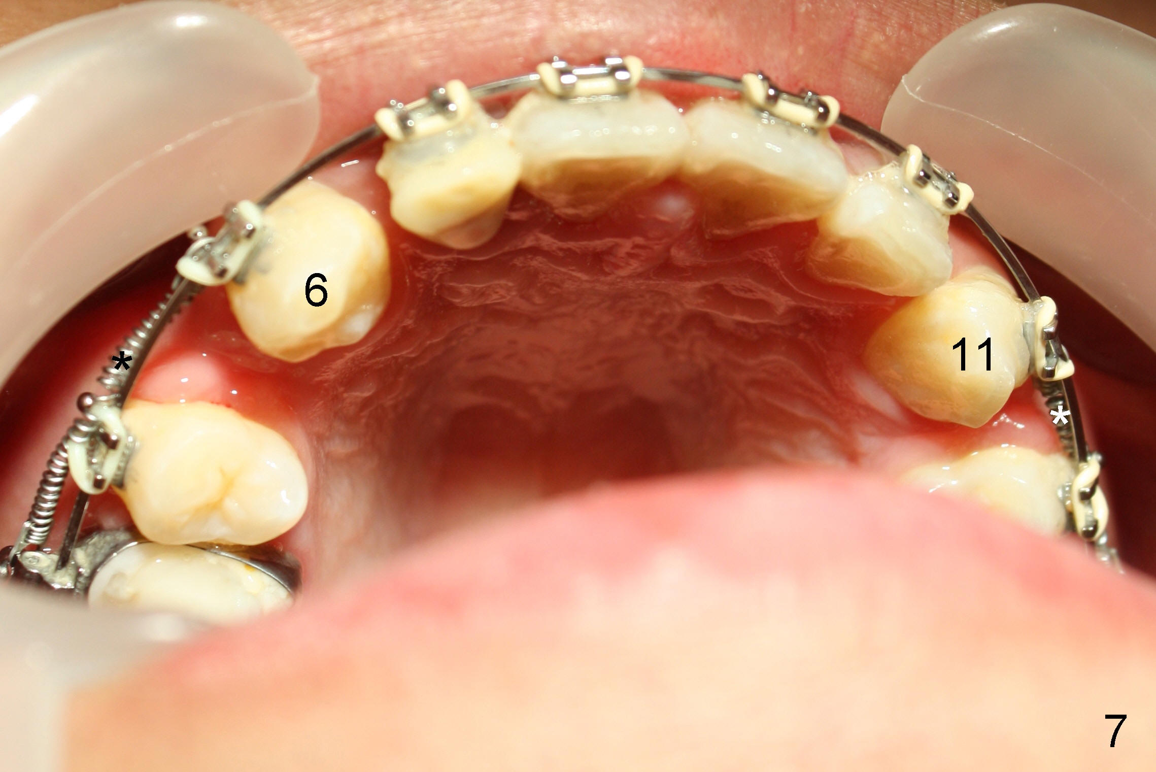
The 1st step of ortho is arch wire sequence to align the arches (from thin round wires to thick rectangular ones). The 2nd is to retract the canines distal (Fig.1 (planning), Fig.7 (6 months post bracketing), Fig.8 (7 months), using closed coil springs (*). The 3rd step is to move the remaining anteriors together distal using posted wire (^) and again closed coil springs (Fig.9; 8 month into treatment). Note the overjet between upper and lower anteriors (Fig.9: *). This space allows the upper incisors to move backward.
From now on, check interdigitation every visit while observing distalization of the upper incisors.
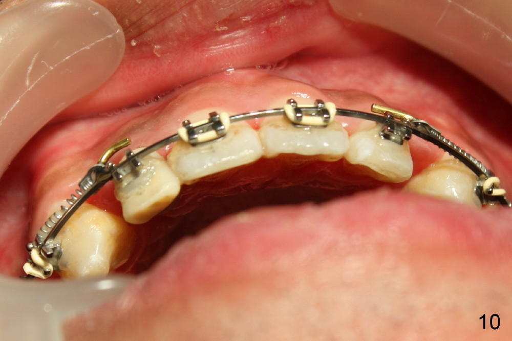
The patient returns 1 month post distalization of the upper incisors (Fig.10-12, 9 months of treatment). Bilateral canine relationship is Class I (Fig.11,12). All needs to be done is to continue distalizing the upper incisors or slightly mesialize the canines if indicated.
Fig.13-15 shows the upper incisors totally 4.5 month of retraction. The upper left canine (Fig.15: #11) seems to be distalized too much, as compared to the dashed line. Therefore whole arch power chain is placed with an intention to bring the canine mesially (arrowhead) while continue distalizing the incisors (including #10 (arrowhead).
One month of power chains appears to close the space between the lateral and canine (data not shown). Braided wires are placed; posterior interdigitation is under way.
Xin Wei, DDS, PhD, MS 1st edition 11/20/2013, last revision 05/16/2014