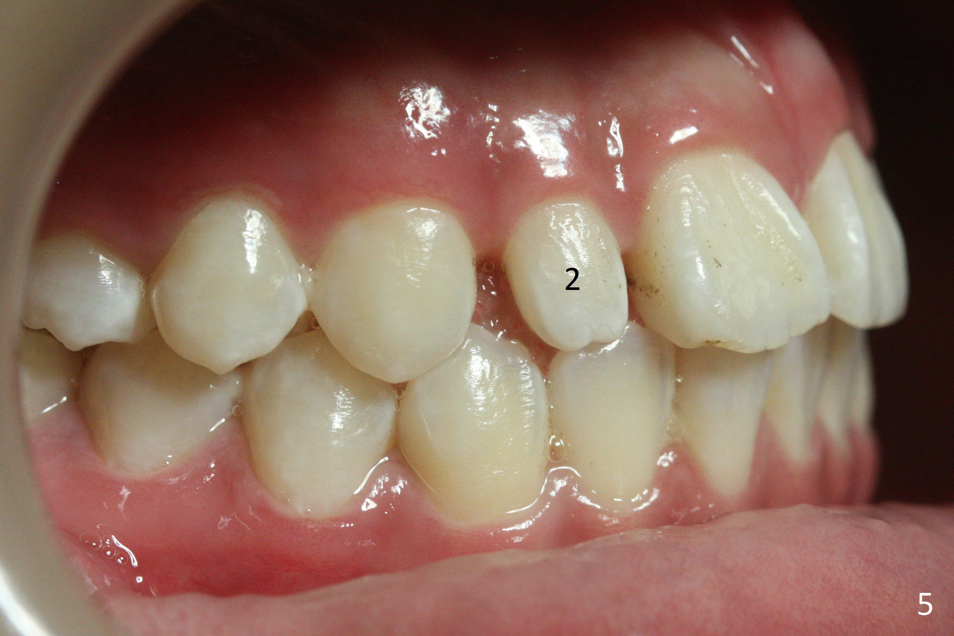
| Sophia |
![]() |
![]() |
![]() |
![]() |
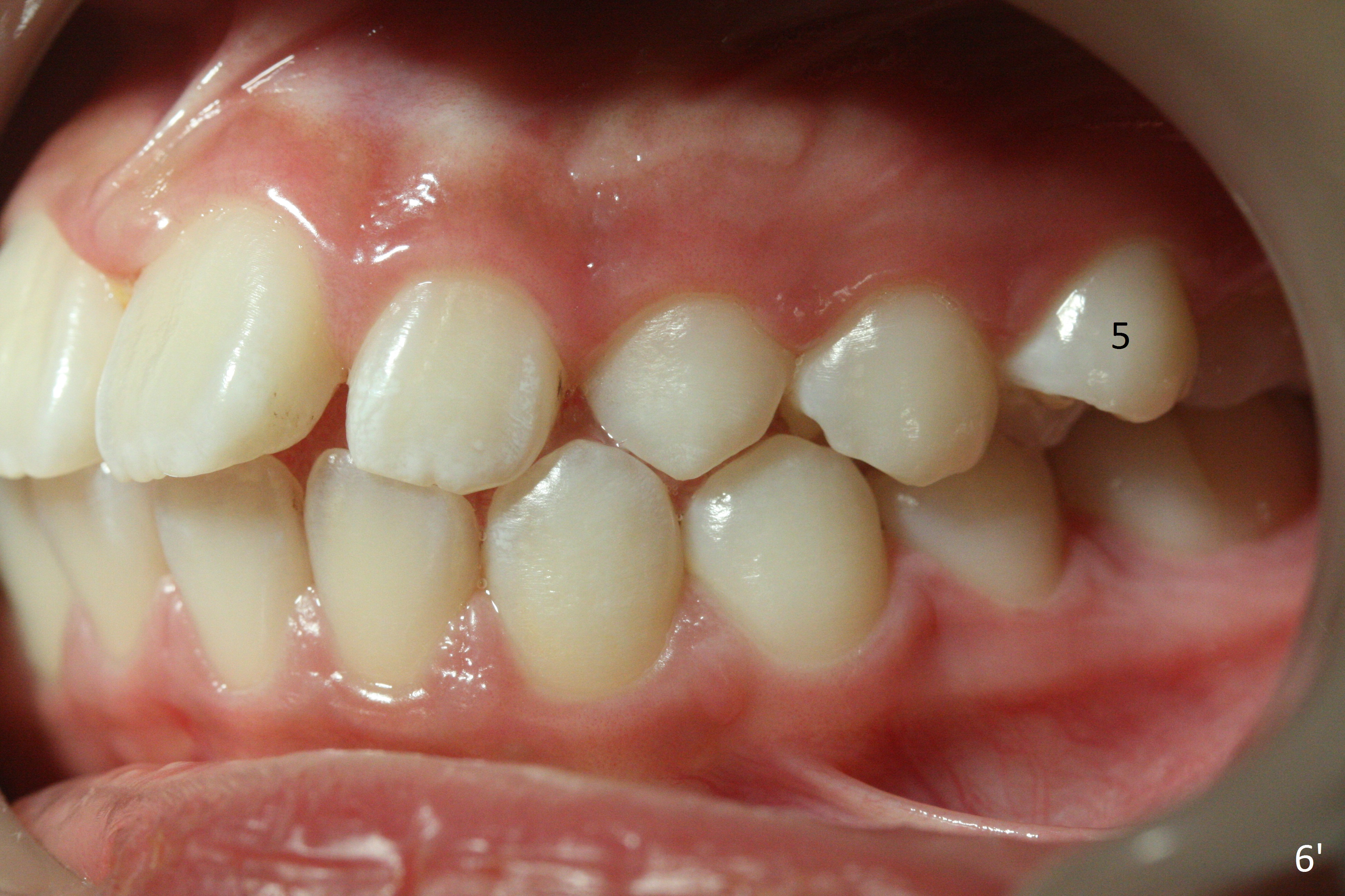
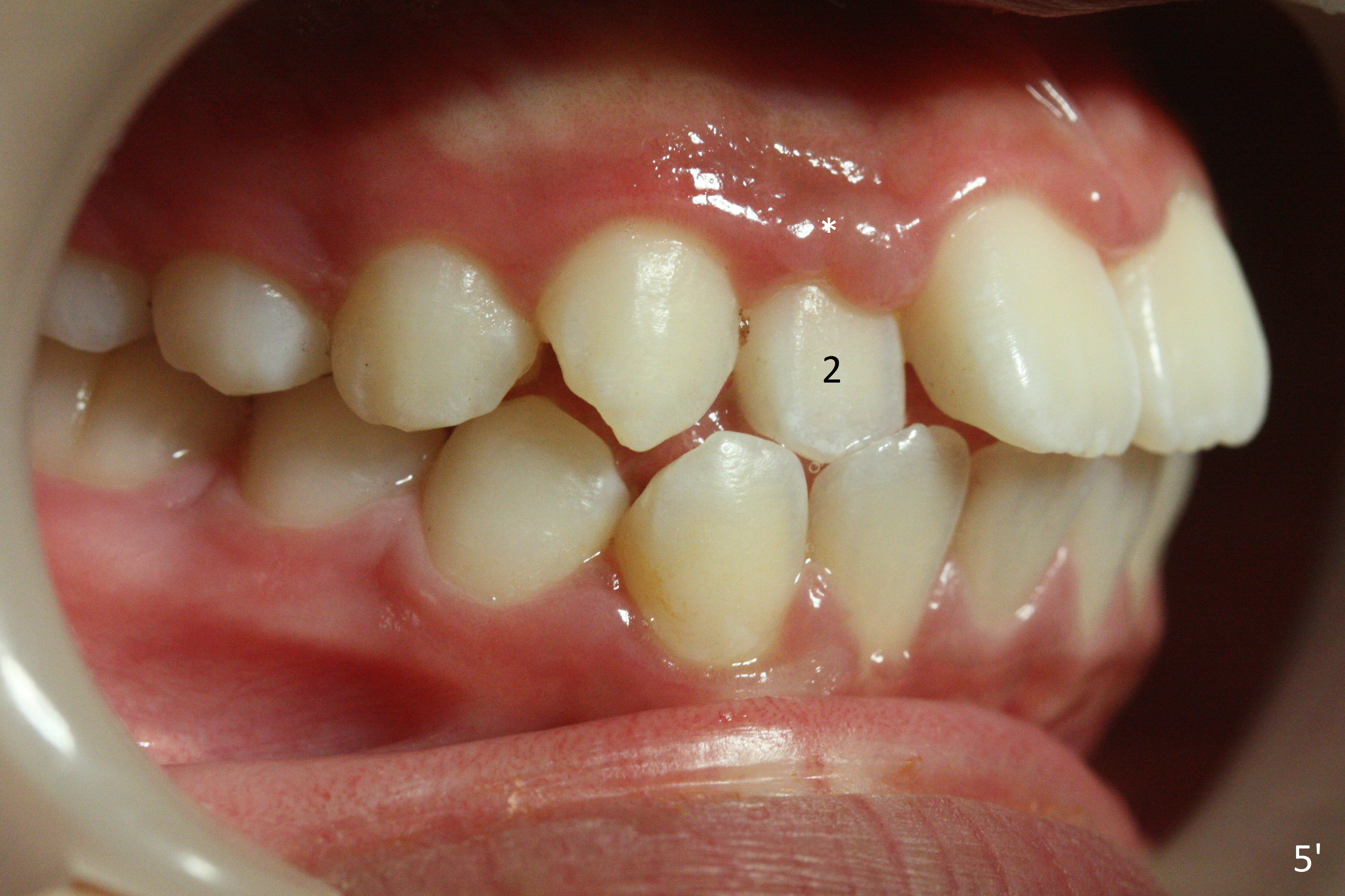
| Selina |
![]() |
![]() |
![]() |
![]() |
| Sophia |
![]() |
![]() |
![]() |
|
| Selina |
![]() |
![]() |
![]() |
|
What is Treatment for Sisters?
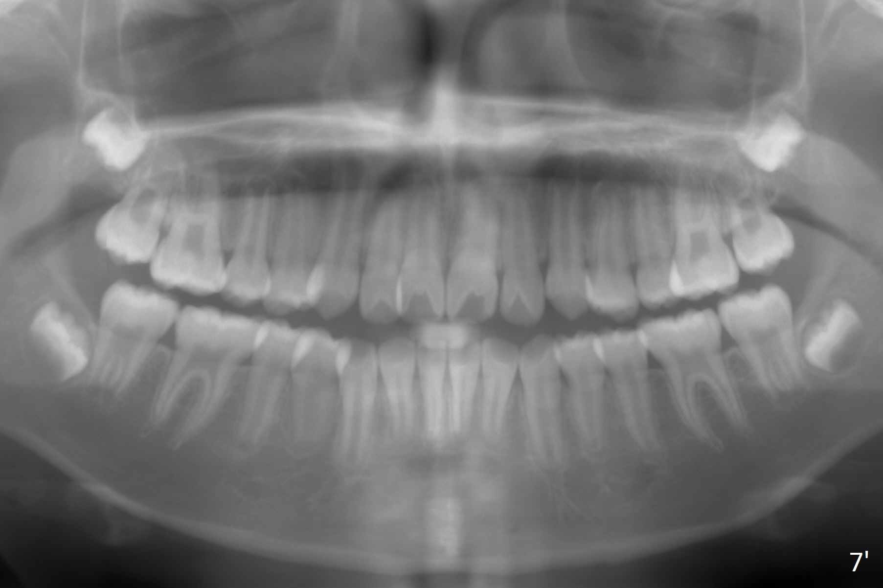
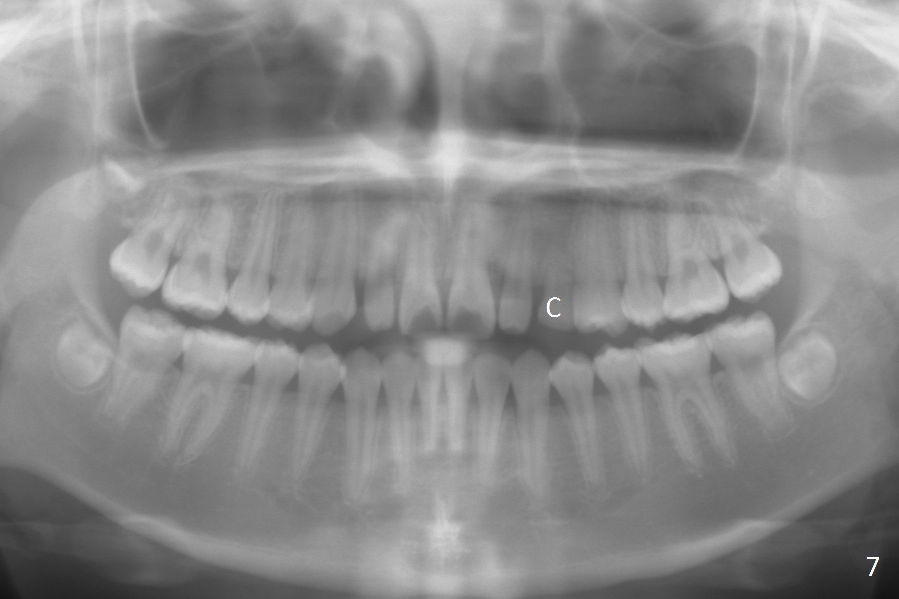
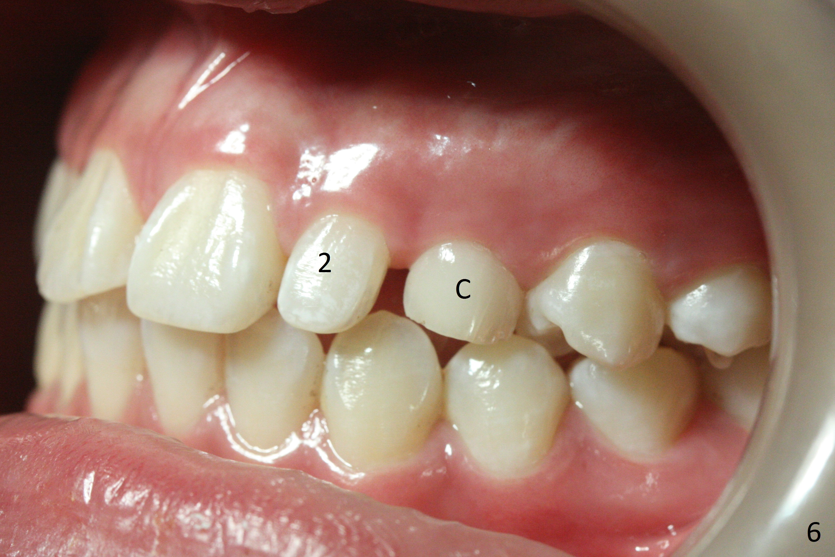
Two sisters (Sophia, 13 years old and Selina, 11) present to clinic for orthodontic treatment. Dental anomalies of Sophia include microdontia of the upper lateral incisors and congenital missing of the upper right permanent canine (Fig.5,6). For Selina, the upper right lateral incisor (Fig.5') and the upper left second bicuspid (Fig,6') are in cross bite.
Return to
Ortho Cases
Xin Wei, DDS, PhD, MS 1st edition 05/26/2017, last revision 05/28/2017