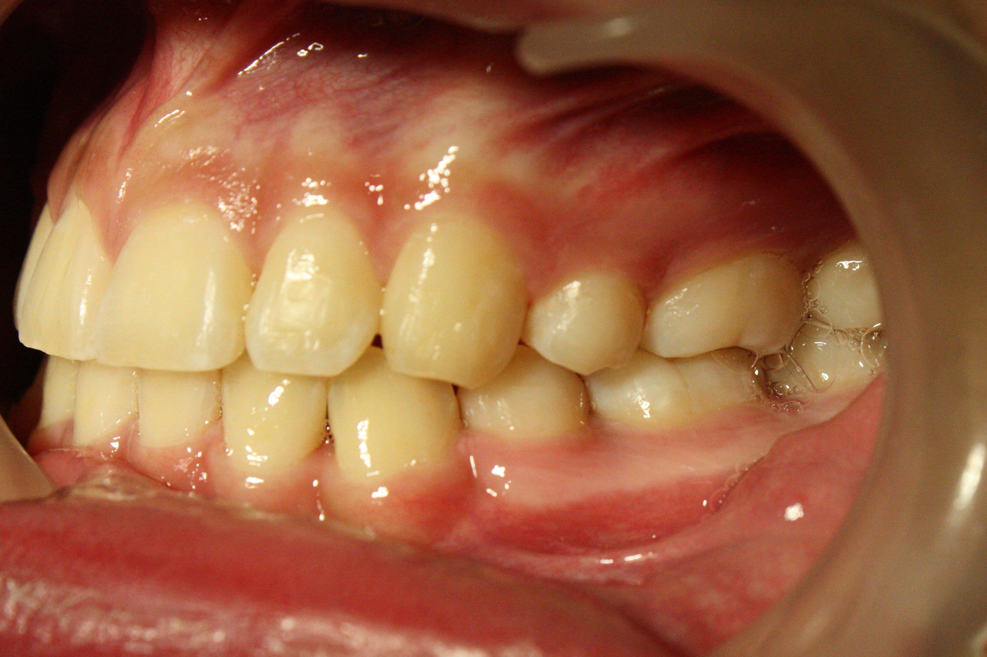
| Before | After (1 Month Post Debanding) | |||
![]() |
![]() |
![]() |
![]() |
|
![]() |
![]() |
![]() |
![]() |
|
|
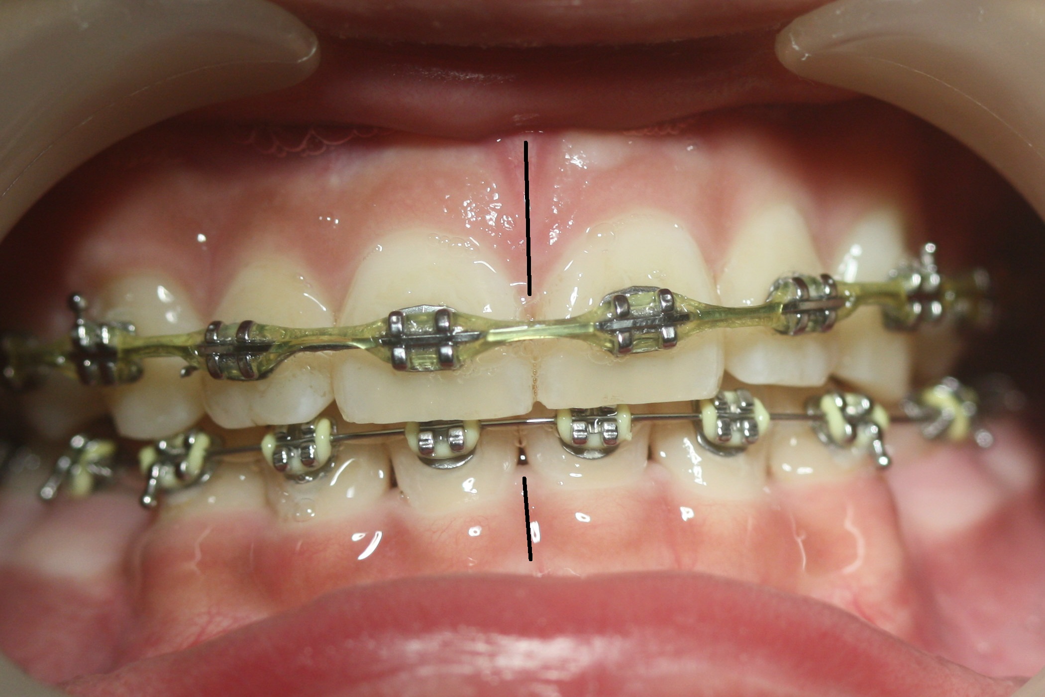
Midlines (black lines) Do Not Match |
![]() |
![]() |
||
|
Gap Between Top and Bottom Teeth (*) |
![]() |
![]() |
||
|
Gap Between Bottom Teeth (*) |
![]() |
![]() |
||
Return to
Ortho Cases
Xin Wei, DDS, PhD, MS 1st edition 04/14/2018, last revision 04/14/2018