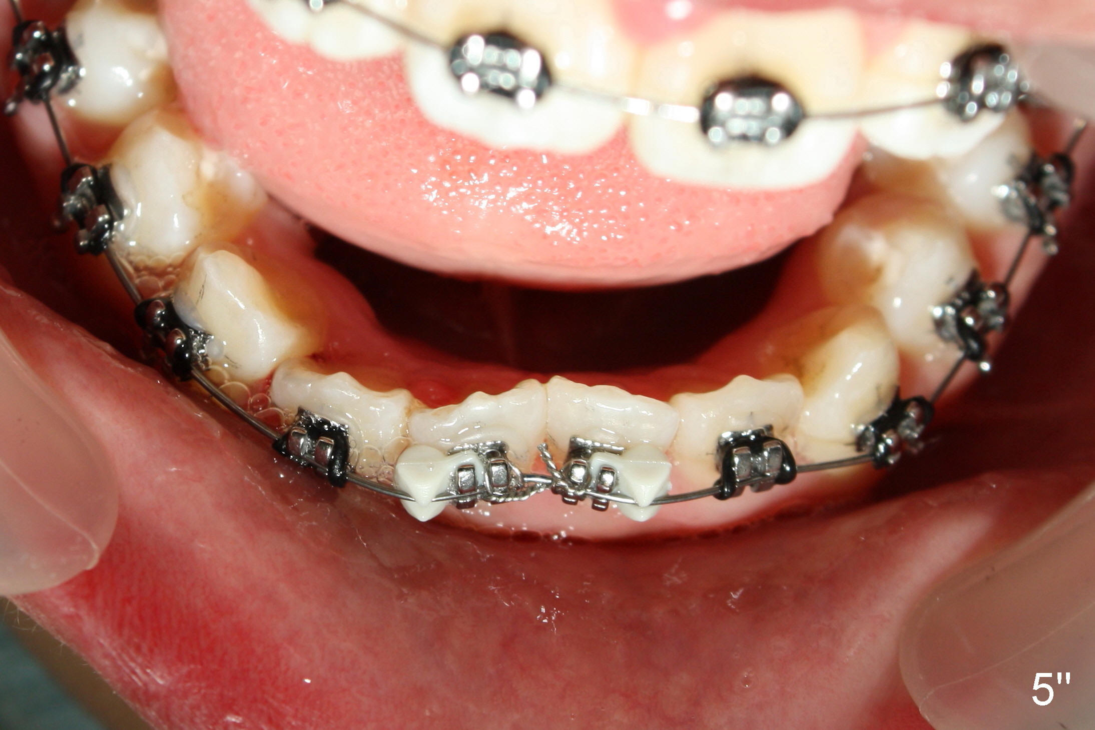
| Fig.5: Immediately post banding and bracketing, .012 niti | Fig.5': one month post banding and bracketing, .014 niti |
![]() |
![]() |
| Fig.5'': two months post banding and bracketing, .016 niti | |
![]() |
Rotation of L1s' does not improve much (Fig.5'). Rotation wedges may be needed next visit (plan on 10/06/2013, executed on 11/09/2013 (Fig.5''). We will surely feel great next time).
Return to Next Visit
Xin Wei, DDS, PhD, MS 1st edition 10/06/2013, last revision 11/09/2013