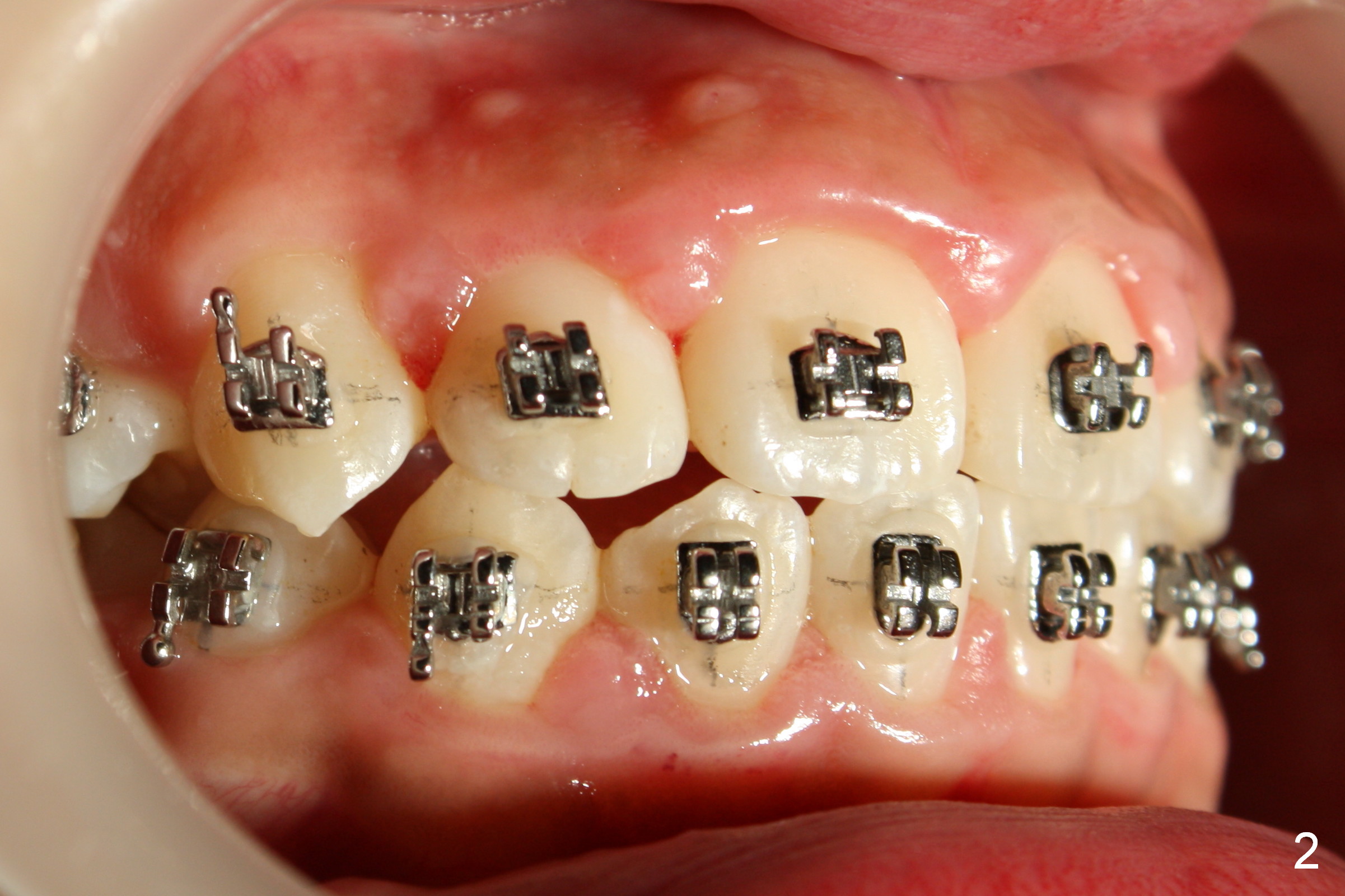
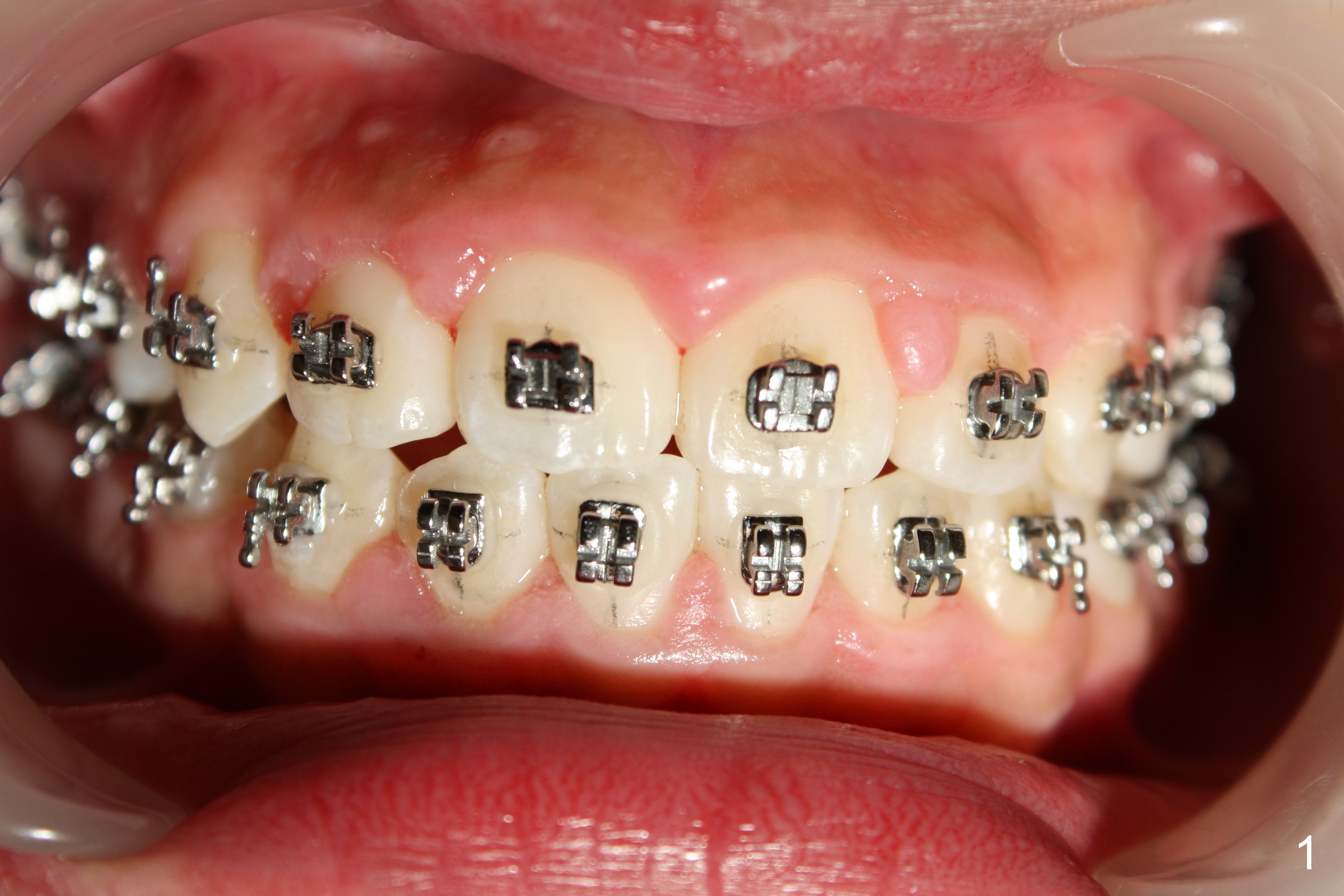
Six Months Post Banding

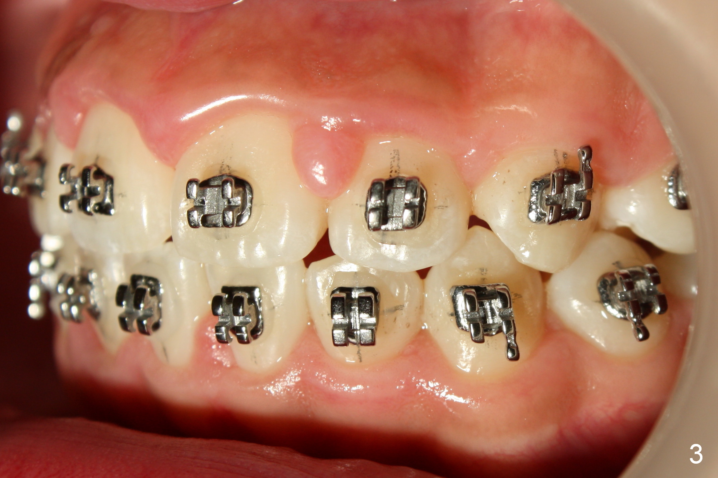
Photos are taken after removing .016x.016 wires.   The alignment is almost the same as that of 2 years post banding.

Return to Ortho Cases

Xin Wei, DDS, PhD, MS 1st edition 08/29/2015, last revision 08/29/2015