![]() |
![]() |
![]() |
|
![]() |
![]() |
![]() |
|
![]() |
![]() |
![]() |
|
Adult Deep Overbite and Overjet
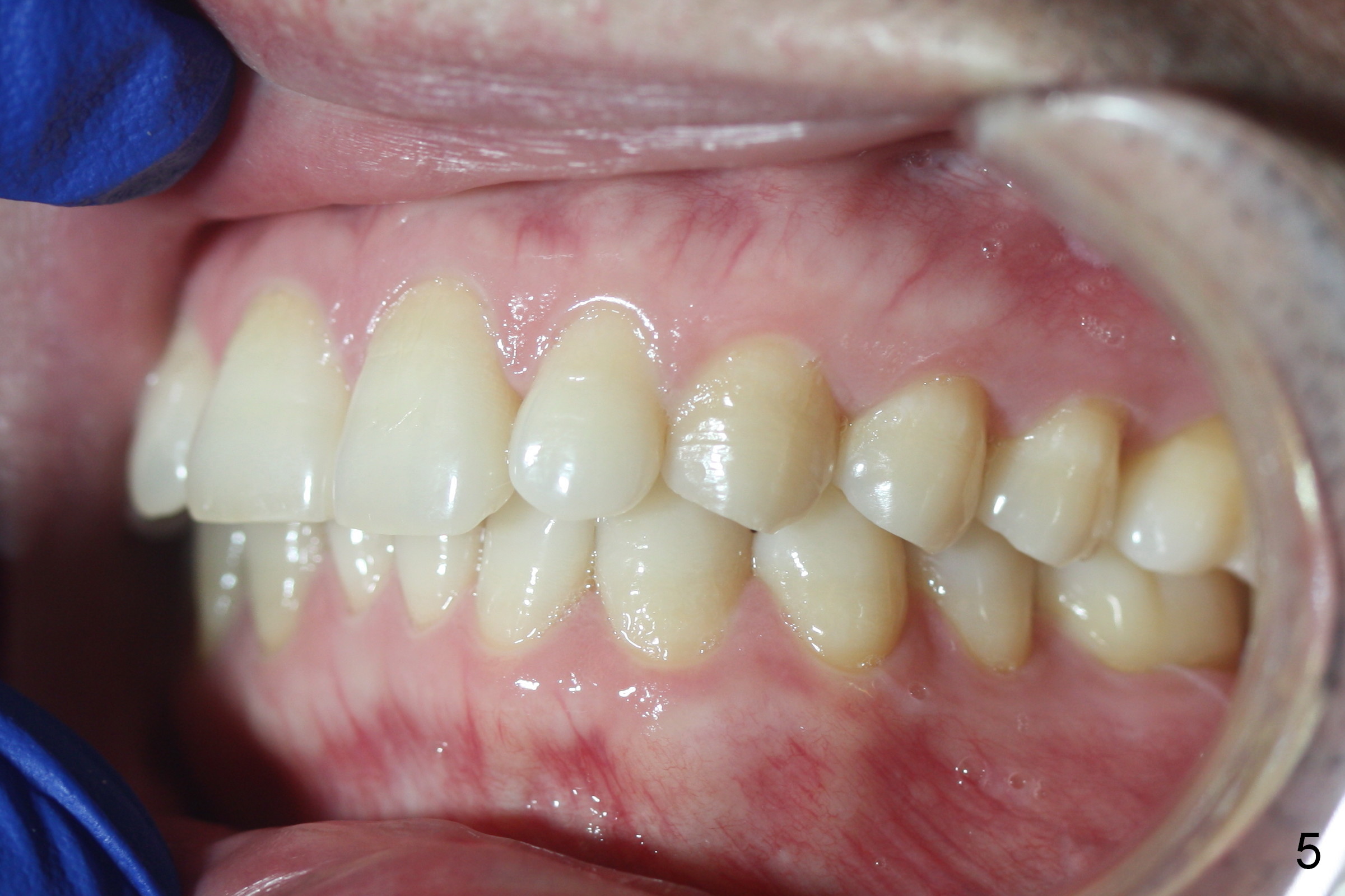
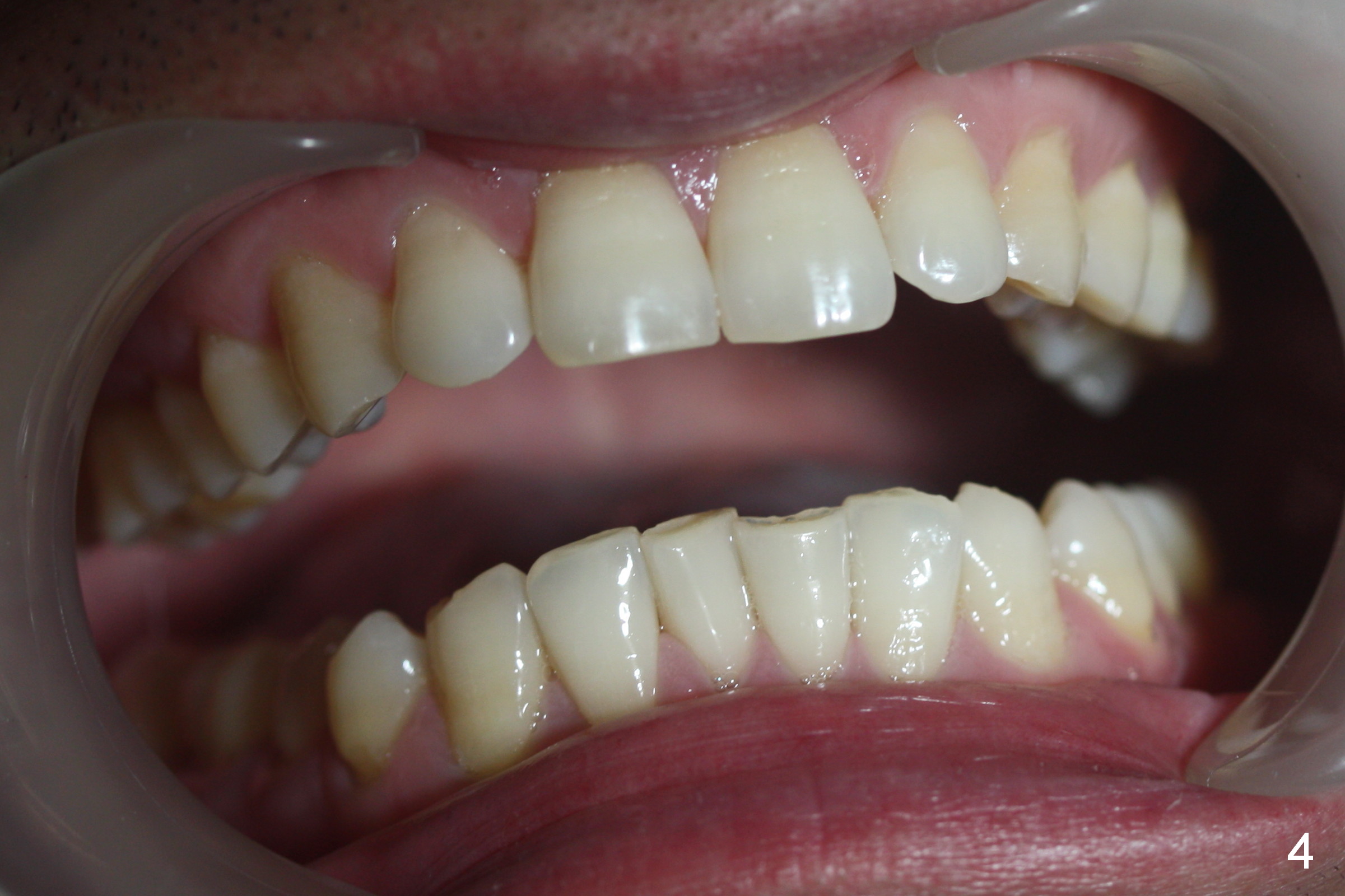
A 42-year-old man requests orthodontic treatment after extraction of the teeth #1, 16, 17, and 32, because it is easier for him to maintain oral hygiene post extraction. He thinks that orthodontic treatment will do the same. He appears to care about his dental alignment: not showing his teeth while smiling (Fig.2). The facial profile is within normal limit (Fig.3). His lower anterior teeth are moderately crowded (Fig.4) with anterior deep overbite and overjet (Fig.5,6). The deep overbite is more appreciated when the model is viewed posteriorly (Fig.7), approximately 90% of the upper incisors are covered by the lower anterior ones. More lingual surfaces are shown in another case before (Fig.8) and after (Fig.9) orthodontic treatment. With differential placement of brackets on the canines vs. incisors (Fig.6), the deep bite should be able to be corrected. Proximal reduction may be necessary.
Return to Ortho Cases
Xin Wei, DDS, PhD, MS 1st edition 03/27/2016, last revision 04/22/2017