![]() |
![]() |
![]() |
|
![]() |
![]() |
||
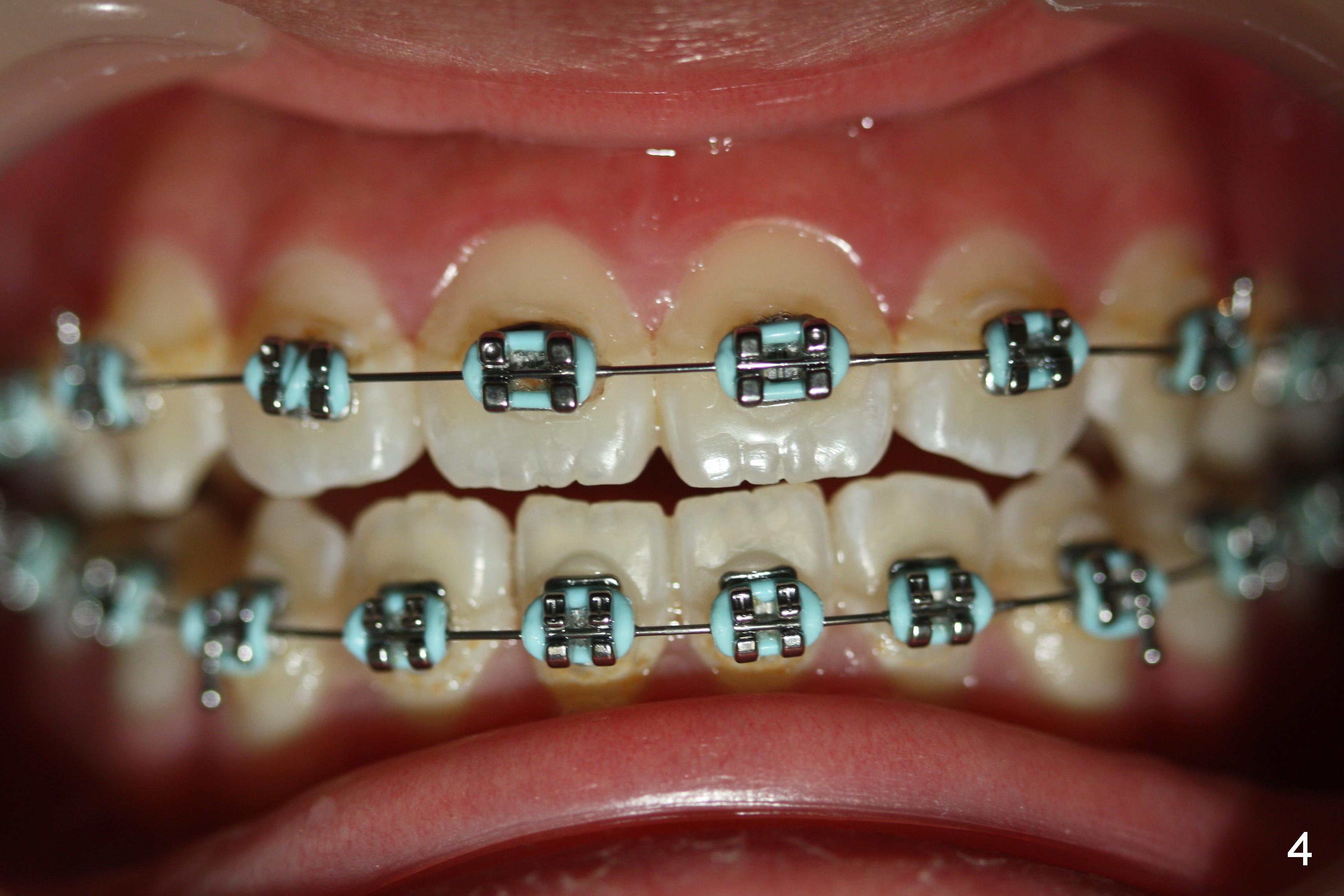
Open Bite
A 13-year-old girl with tall statue requests continuing orthodontic treatment. Her chief concern is diastemata in the lower anterior arch. Her lips are slightly protrusive (Fig.1,2); proximal reduction may need in the final stage of the treatment. Anterior open bite, especially at canine-bicuspid region, is prominent (Fig.3-5). The first appointment consists of changing wire to 16 ss with power chain for the lower arch, and adding hooks to the brackets at 4s with elastics. There is mild cross bite at molars (not shown; Fig.6, mirror view). Expand the upper wire and constrict the lower one if needed. When Class III tendency gets worse (her father has Class III occlusion), use elastics.
Return to
Ortho Cases
Xin Wei, DDS, PhD, MS 1st edition 09/18/2016, last revision 09/18/2016