![]() |
![]() |
![]() |
![]() |
![]() |
![]() |
![]() |
![]() |
![]() |
![]() |
![]() |
![]() |
![]() |
![]() |
Comprehensive Adult Orthodontics Using Implant As Anchor
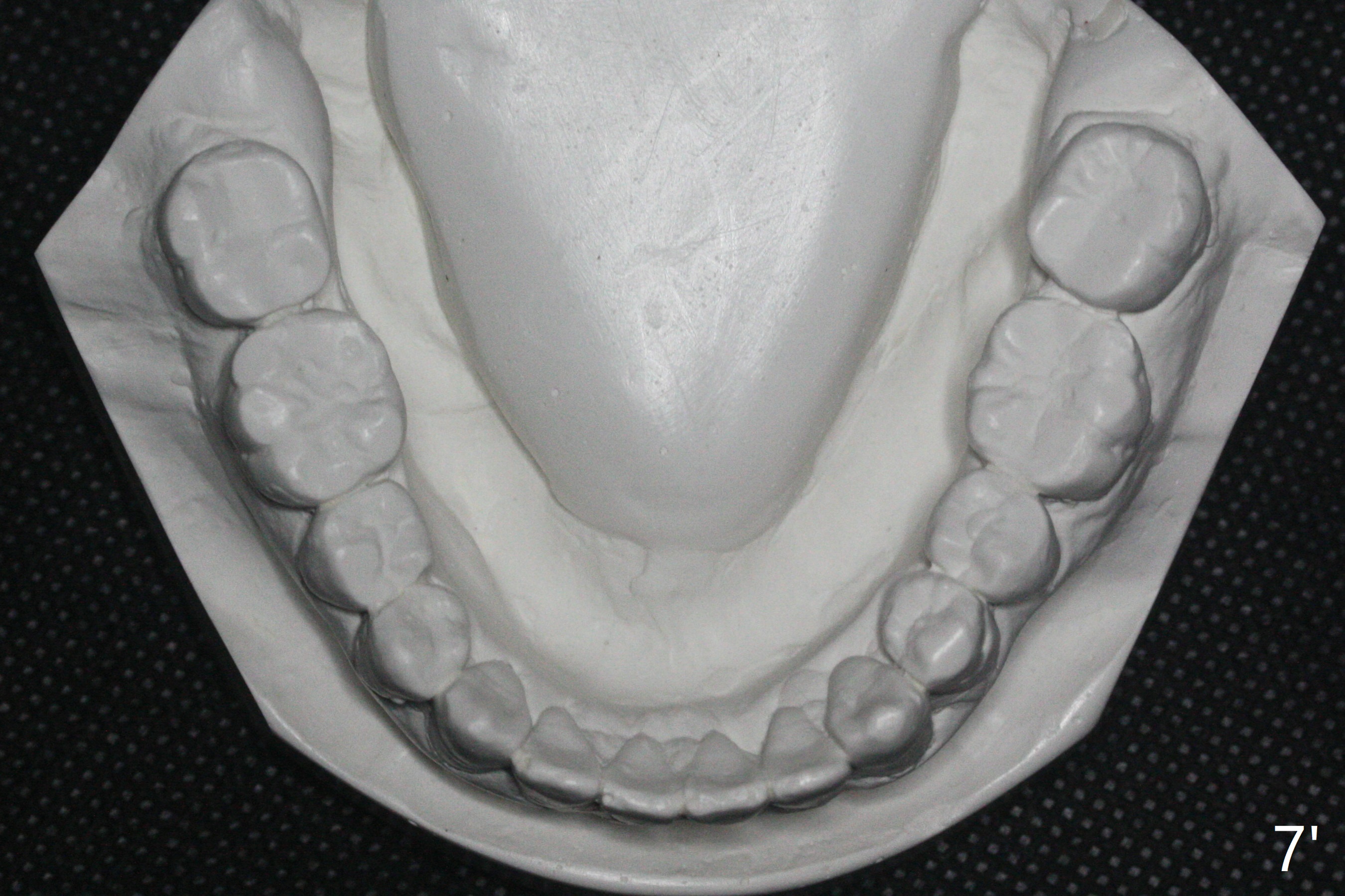
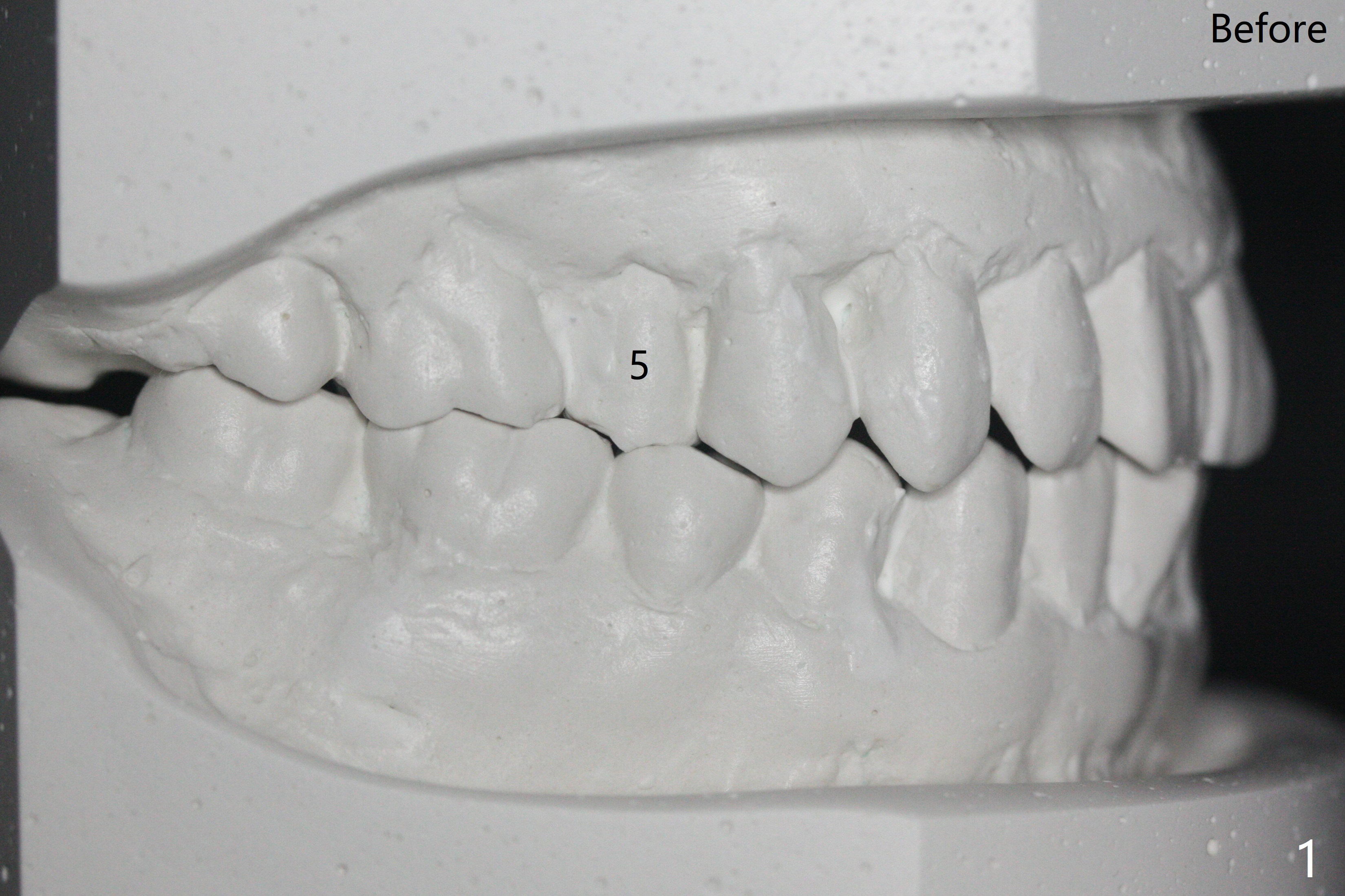
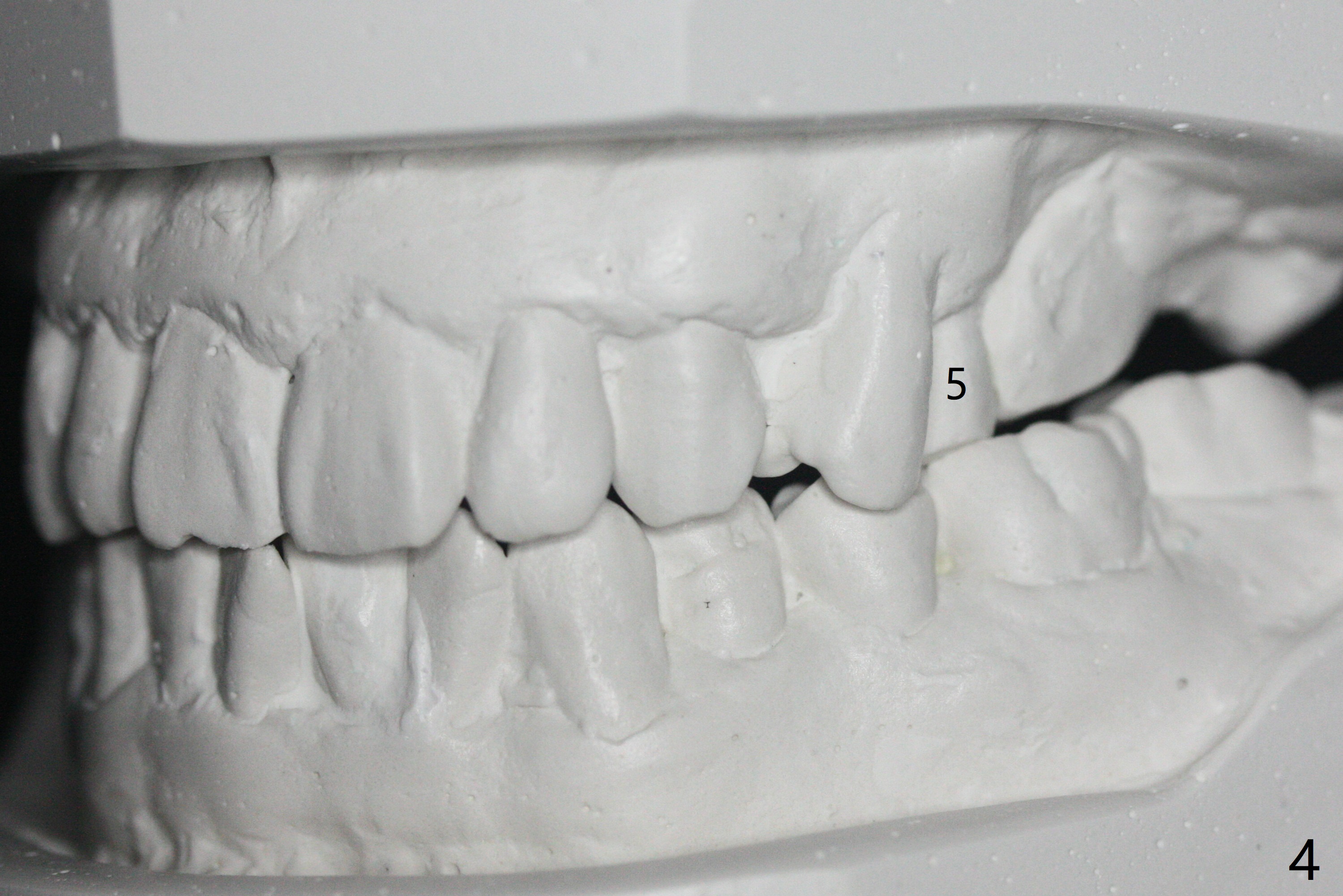
A 46-year-old man finishes comprehensive orthodontic treatment using UL6 implant as anchor in 1.5 years. The major malocclusions to have been corrected include crowding (Fig.2,6,7), UL4 overjet (Fig.4,5), U5s' cross bite (Fig.1,2,4,5), and extrusion of UL8.
Return to
Ortho Cases
Extrude
3rd Molar
Compreh
Ortho
Xin Wei, DDS, PhD, MS 1st edition
11/25/2019, last revision
11/28/2019