![]() |
![]() |
![]() |
![]() |
![]() |
![]() |
![]() |
釉质发育不全?
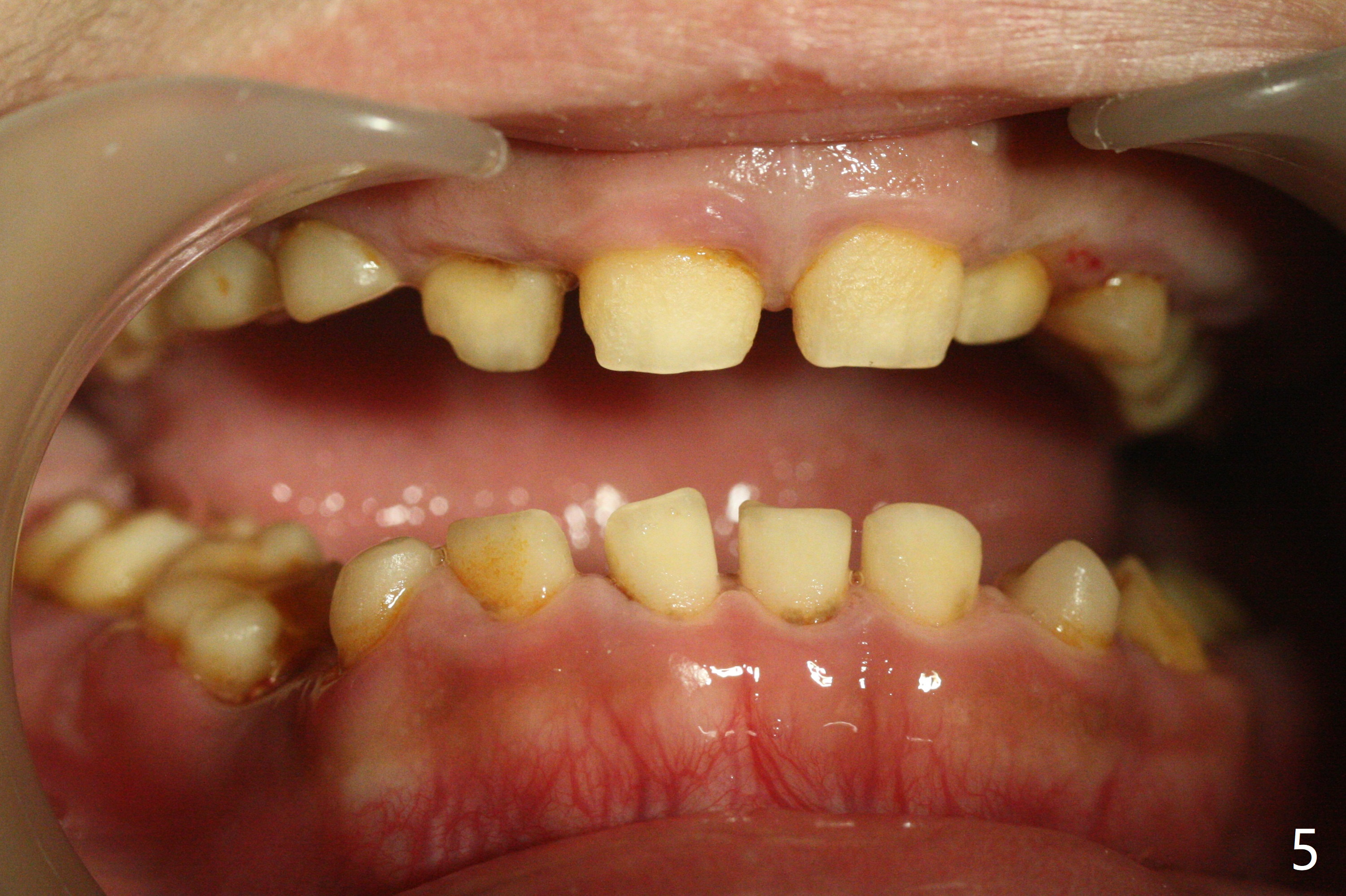
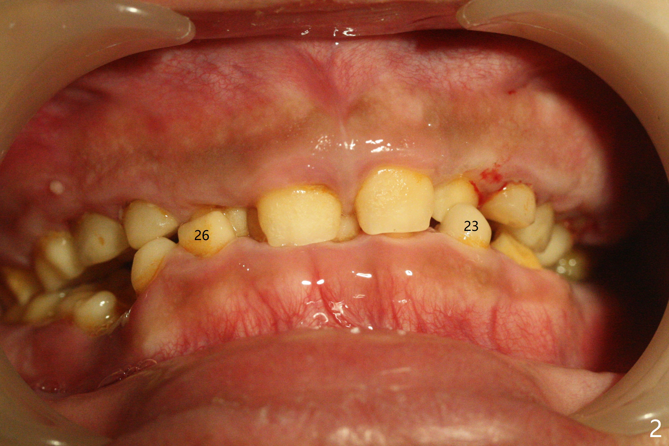
13岁男孩,每颗乳恒牙交换时乳牙都需要拔除,萌出的恒牙个子小,侧切牙反合(图二,五),对冷热敏感,不爱刷牙,口腔卫生欠佳(图三:13(结石)),父母要求诊治。今天在局麻下,左上洁治,没有局麻区域无法洁治,敏感,并且拔除H-J。S下沉,5,28埋伏(图七),其余乳磨牙都有龋齿。如何治疗?是釉质发育不全?暴露5,28前将拍摄CT。
Return to
Ortho Cases
Xin Wei,
DDS, PhD, MS 1st edition 05/19/2021, last revision
05/19/2021