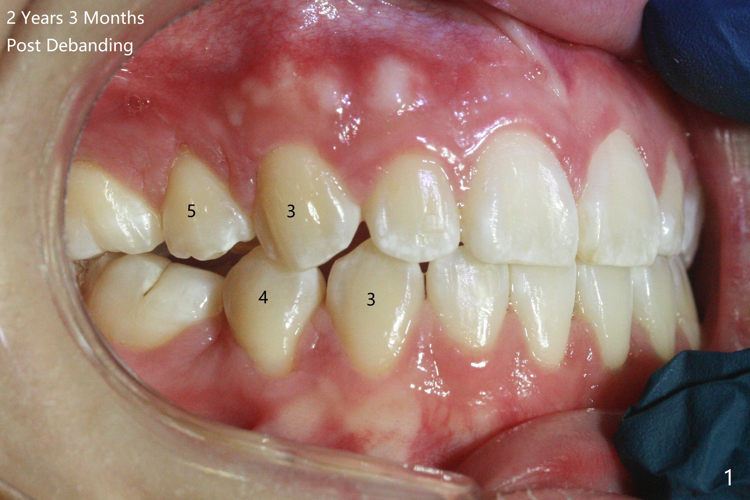
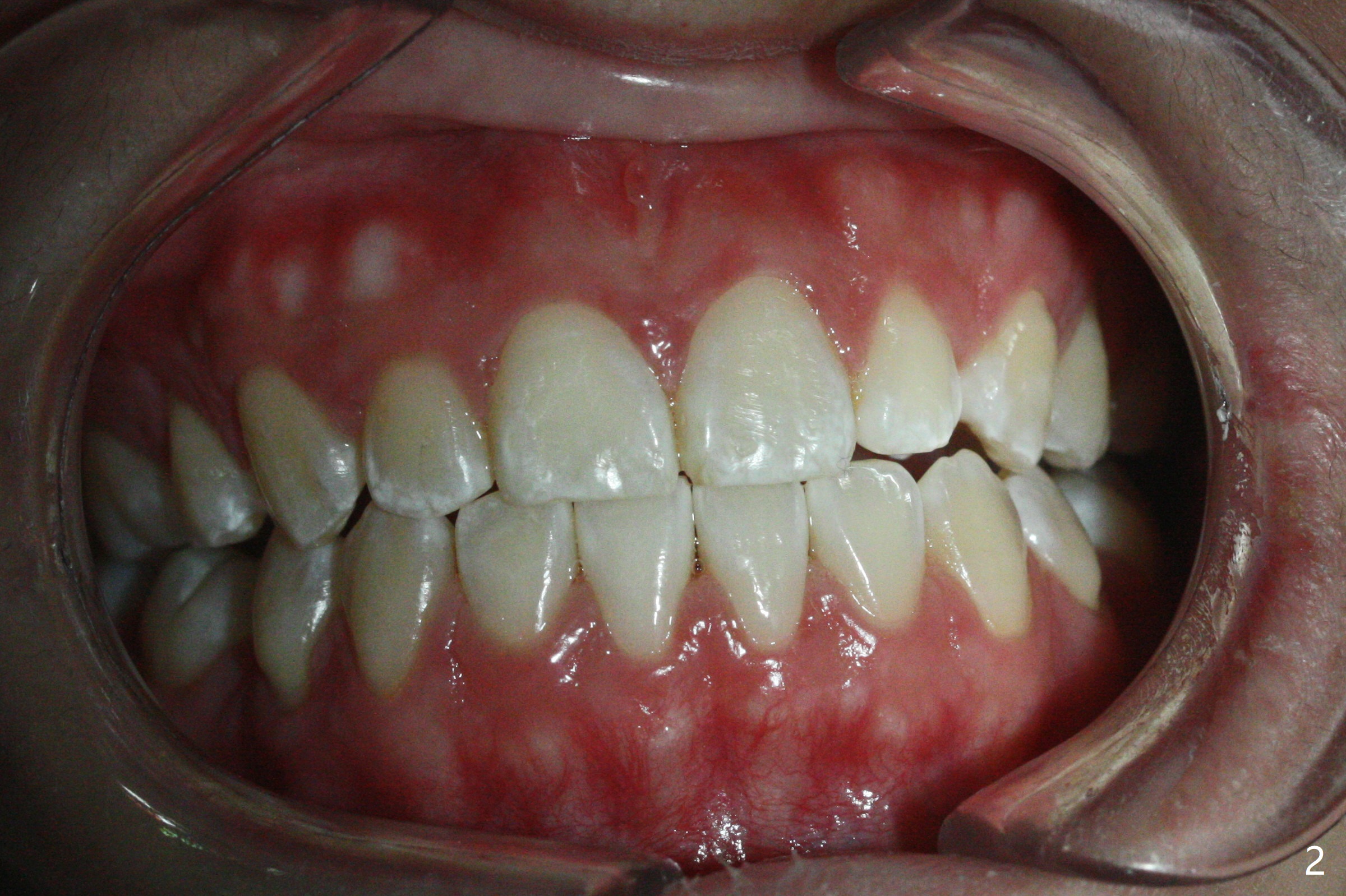
Follow Up: 2 Years 3 Months Post Debanding with UL3, LL5 Congenital Missing

A 16-year-old woman

Return to Ortho Cases Profile
Xin Wei, DDS, PhD, MS 1st edition 01/04/2021, last revision 01/04/2021