Follow Up

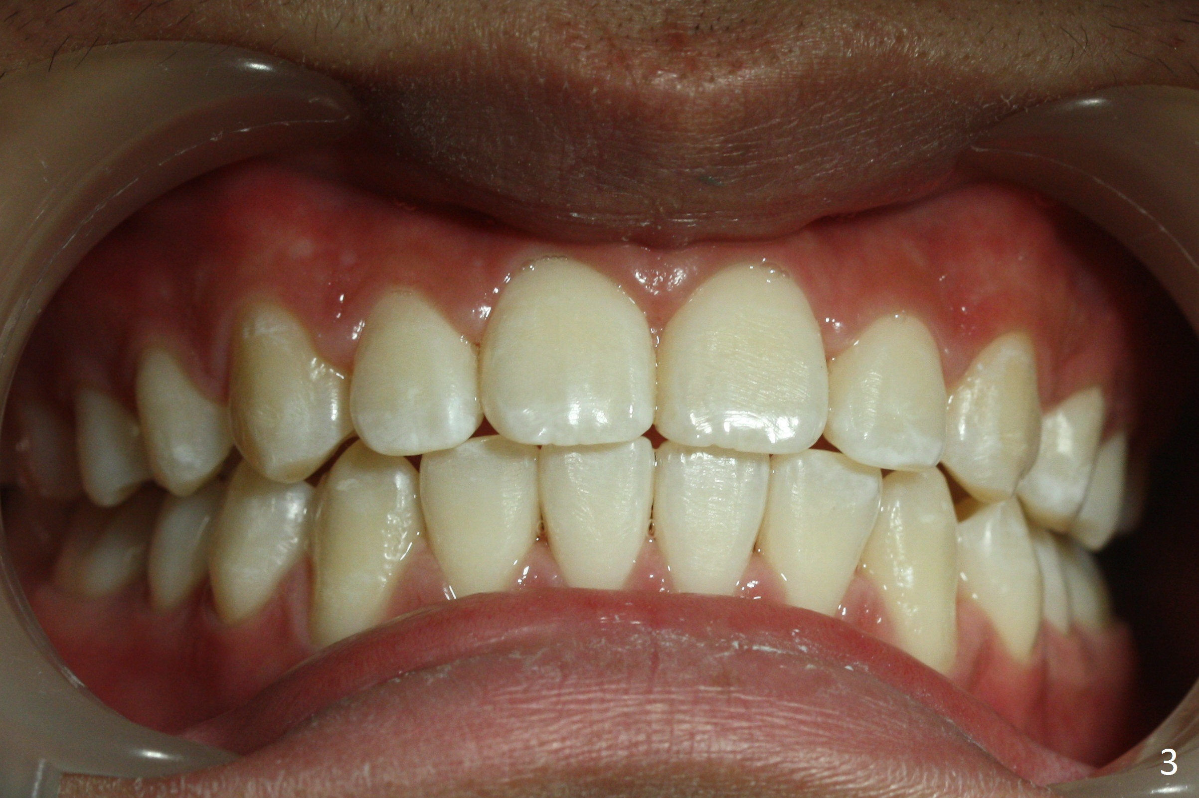
The patient returns for prophylaxis 2.5 months post debanding, wearing retainers and satisfied with appearance (Fig.1-3).

Return to Ortho Cases

Xin Wei, DDS, PhD, MS 1st edition 06/04/2017, last revision 06/04/2017