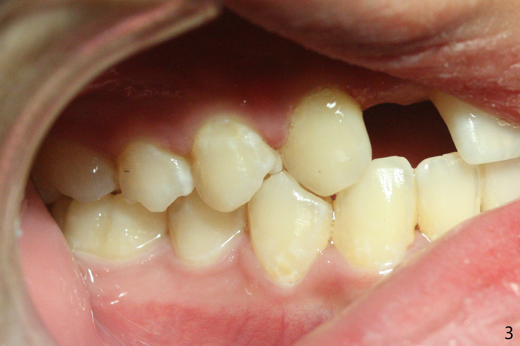
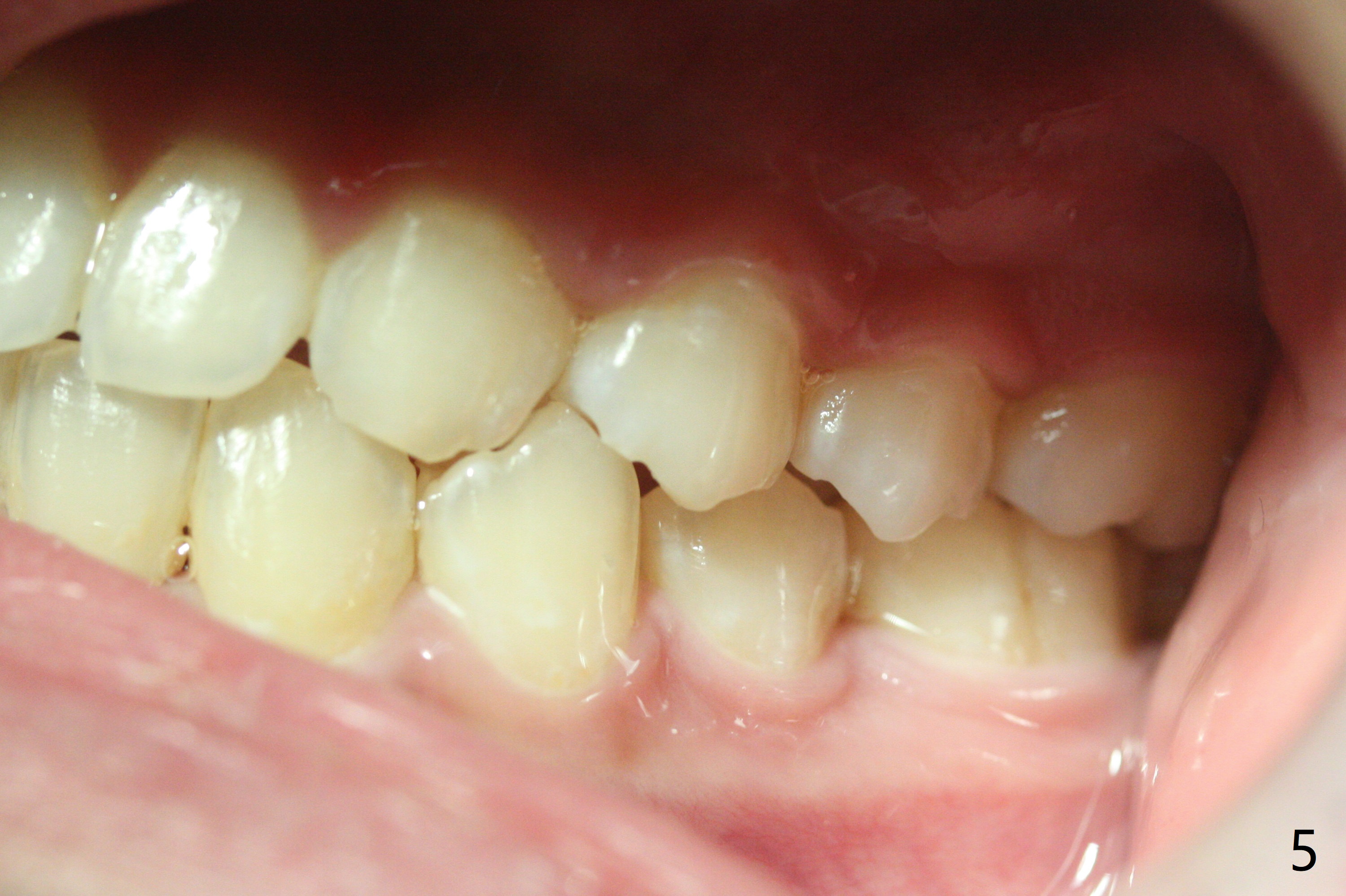
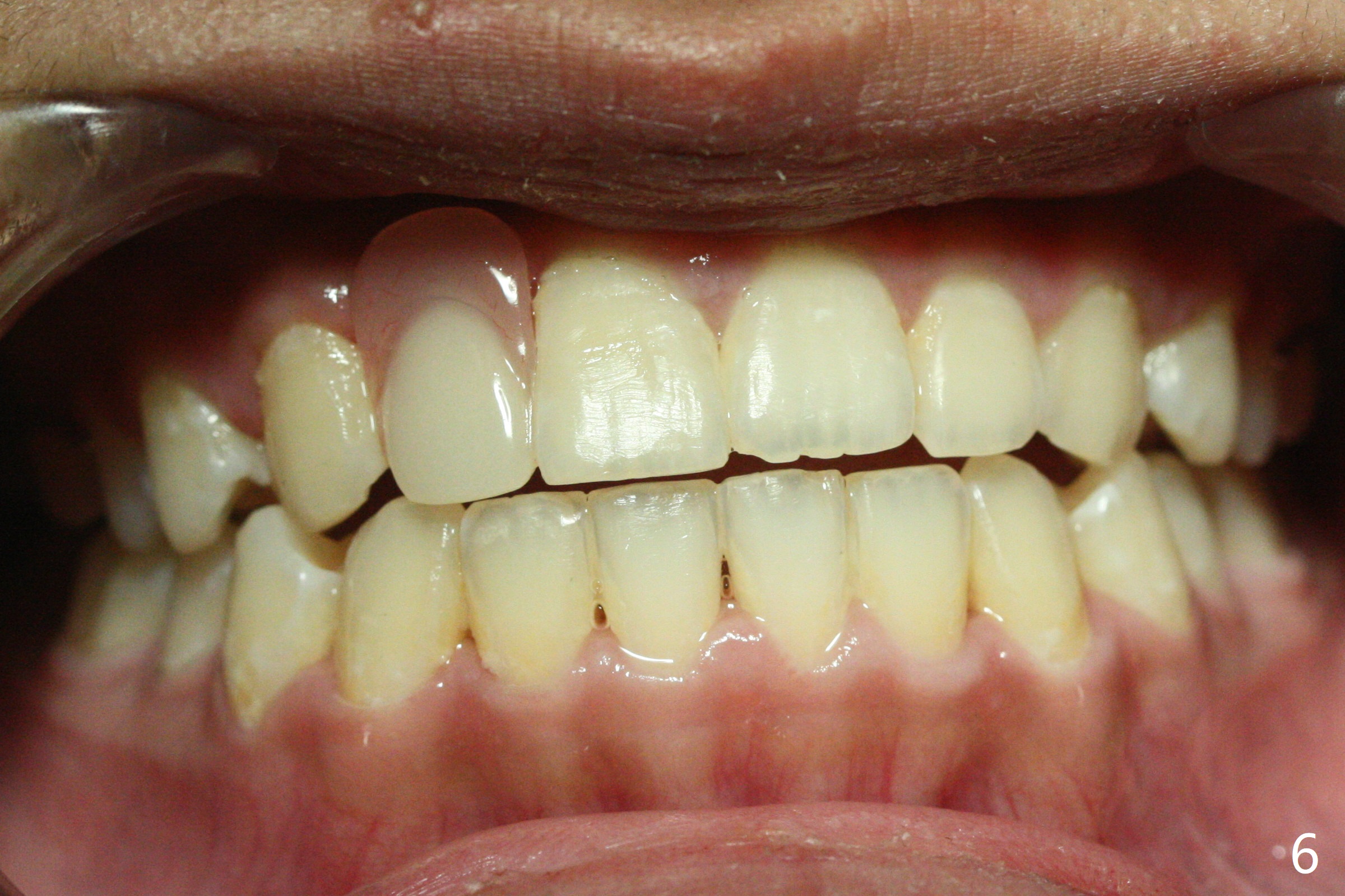
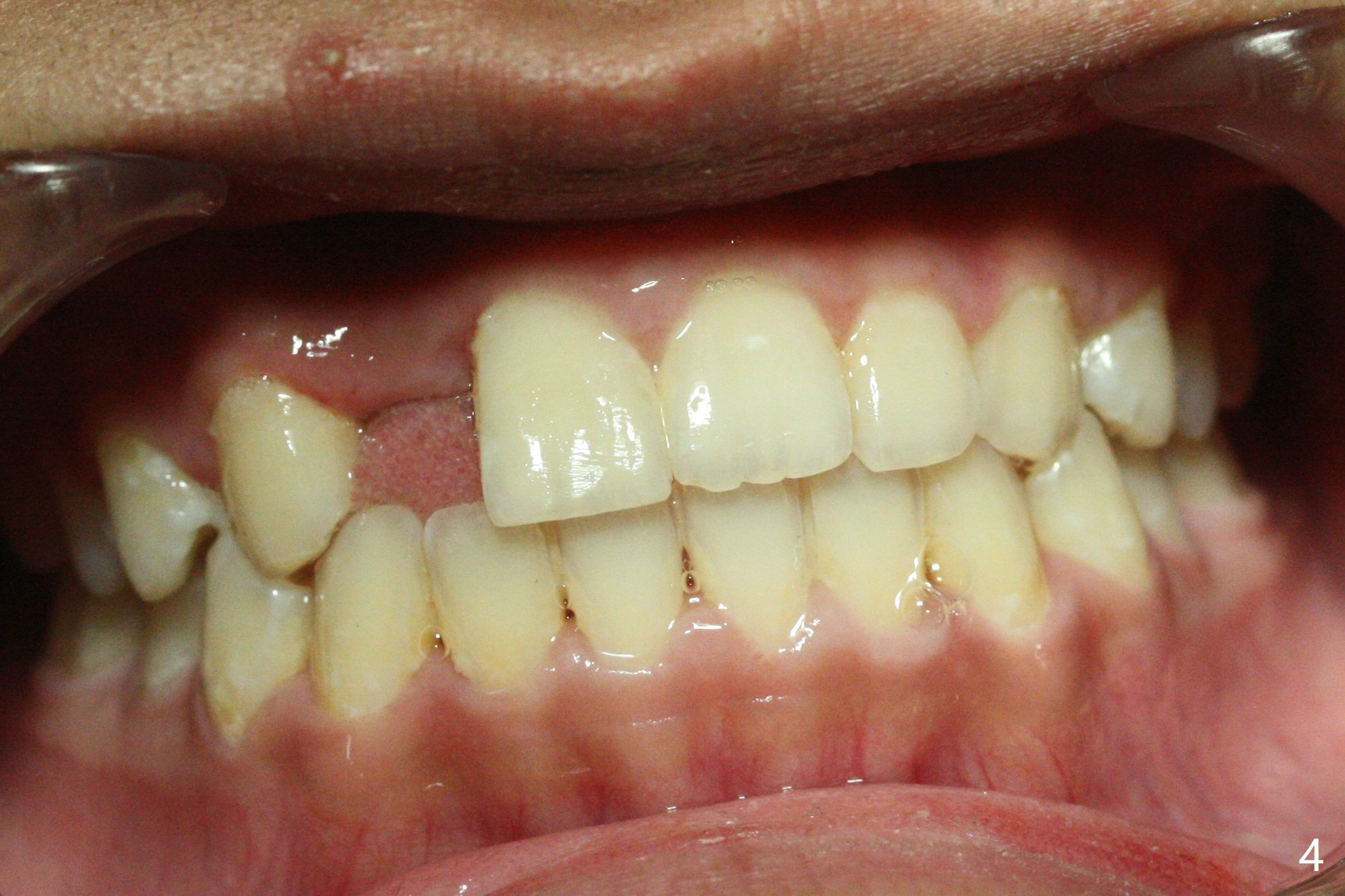
Midline Correction

Photos are taken 11 days post debanding.  The 15 year old had poor oral hygiene in orthodontics.

Return to Ortho Cases
Xin Wei, DDS, PhD, MS 1st edition 11/06/2019, last revision 11/08/2019