![]() |
![]() |
![]() |
![]() |
![]() |
Fig.1,3 No Brackets |
![]() |
![]() |
![]() |
![]() |
||
![]() |
![]() |
||
![]() |
![]() |
||
![]() |
![]() |
||
Face and Occlusion: Before and After
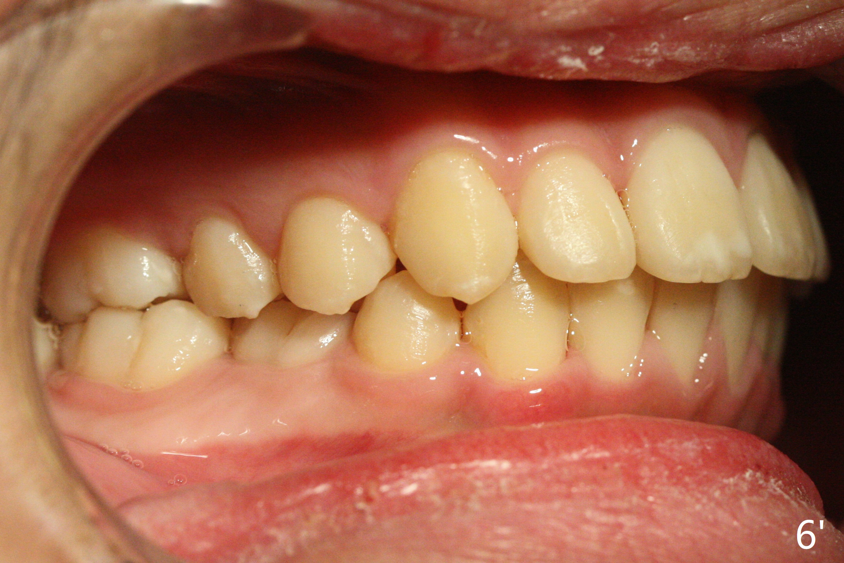
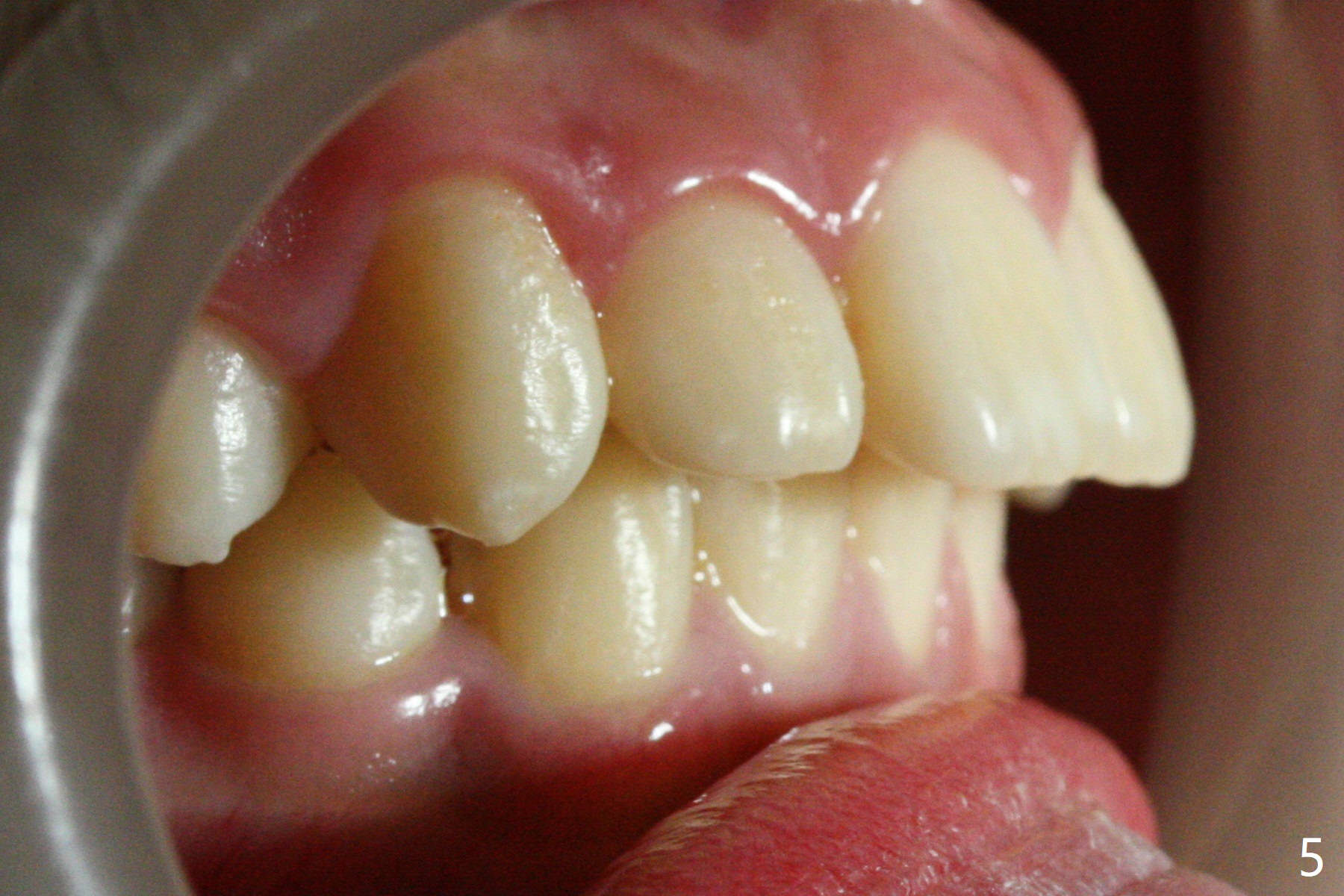
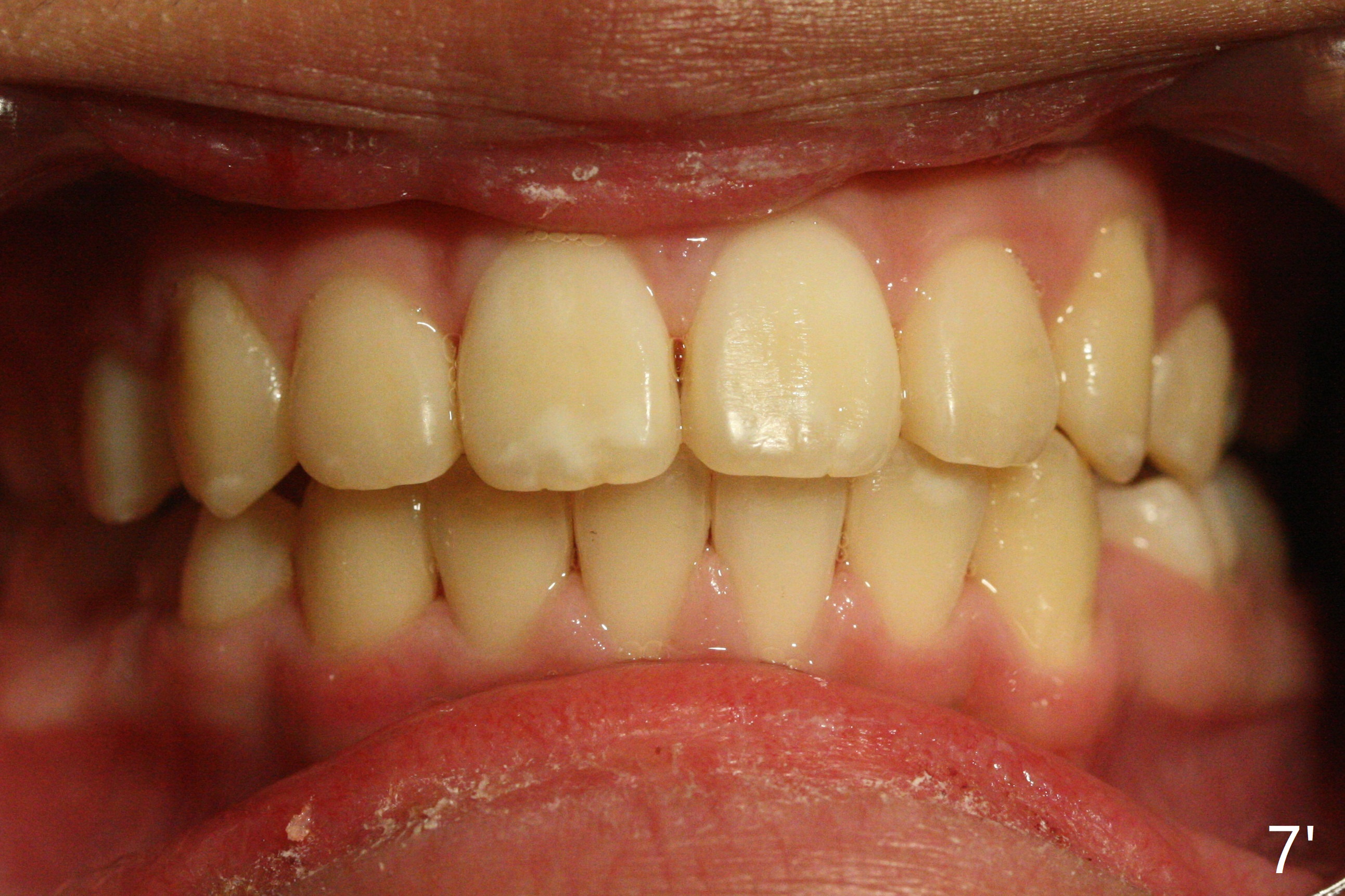
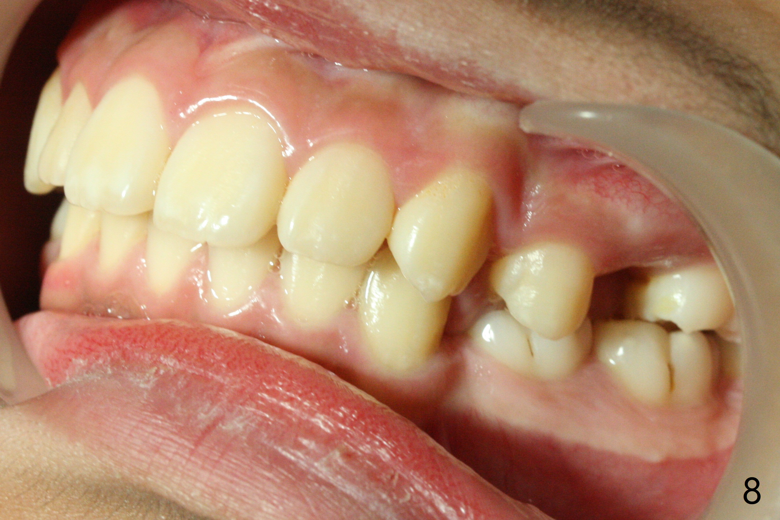
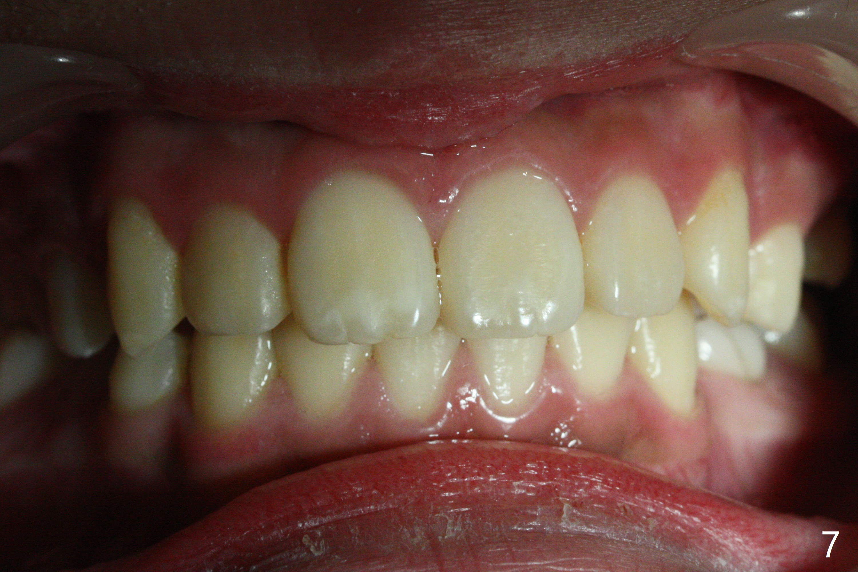
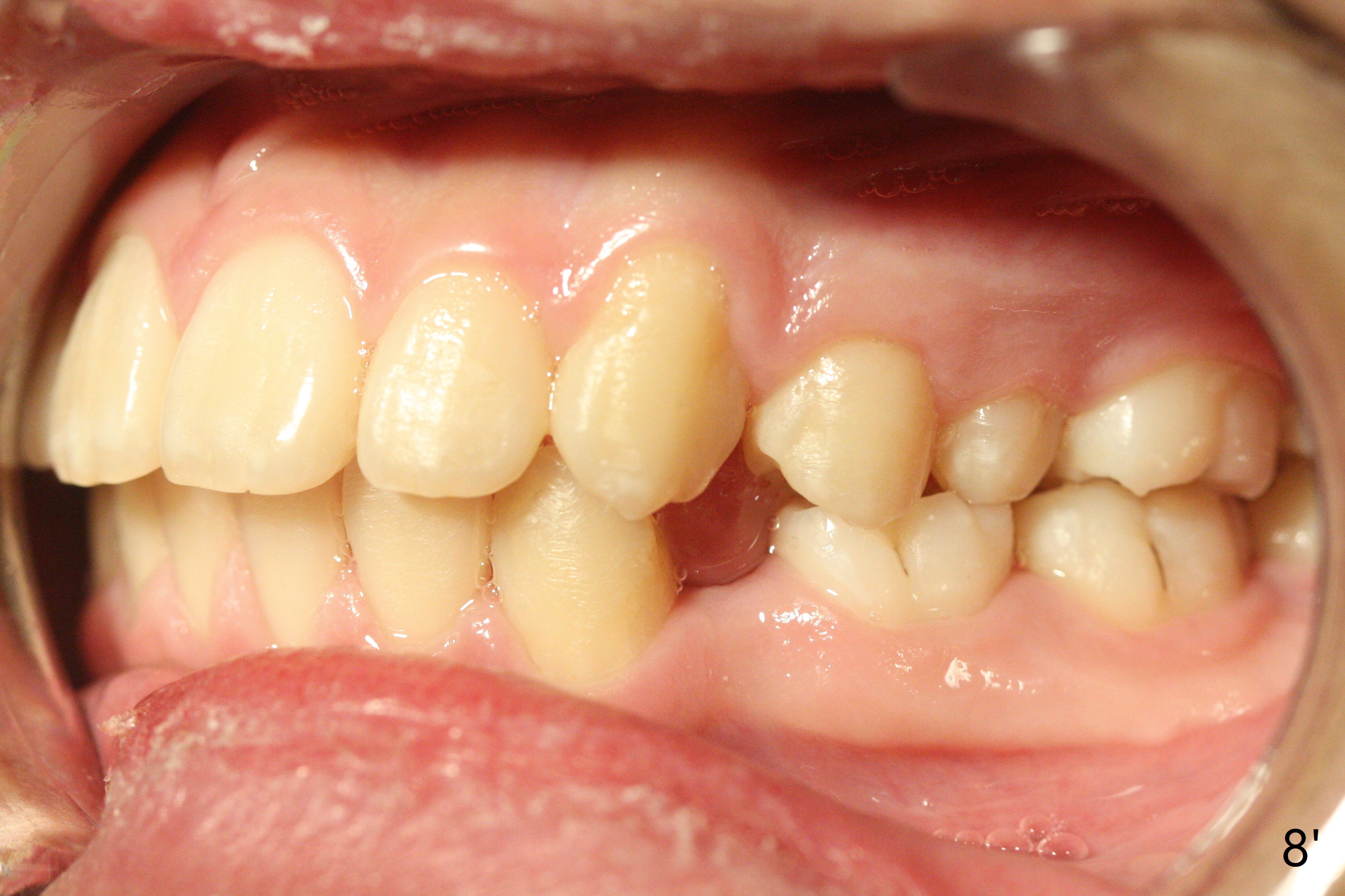
A 14-year-old man finishes non-extraction orthodontics in 1 year and 8 months without correction of dental midlines (Fig.1,2,7), although the lower lip profile improves (Fig.3,4) due to the improvement of the anterior overjet (Fig.5 (with Class II retraction as well)). The right molar overjet is also corrected (Fig.6), while the left posterior interdigitation improves with space preparation for implant at LL4 in due time (Fig.8).
Return to
Ortho Cases
Xin Wei, DDS, PhD, MS 1st edition
12/02/2019, last revision
12/08/2019