![]() |
![]() |
![]() |
![]() |
![]() |
![]() |
![]() |
![]() |
||
![]() |
![]() |
![]() |
||
![]() |
![]() |
![]() |
||
![]() |
![]() |
![]() |
||
![]() |
![]() |
![]() |
||
![]() |
![]() |
![]() |
||
![]() |
![]() |
![]() |
||
![]() |
![]() |
|||
En Mass Retraction
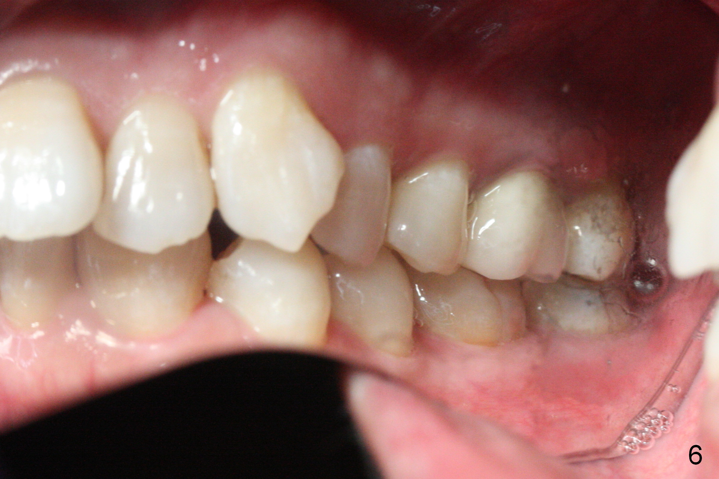
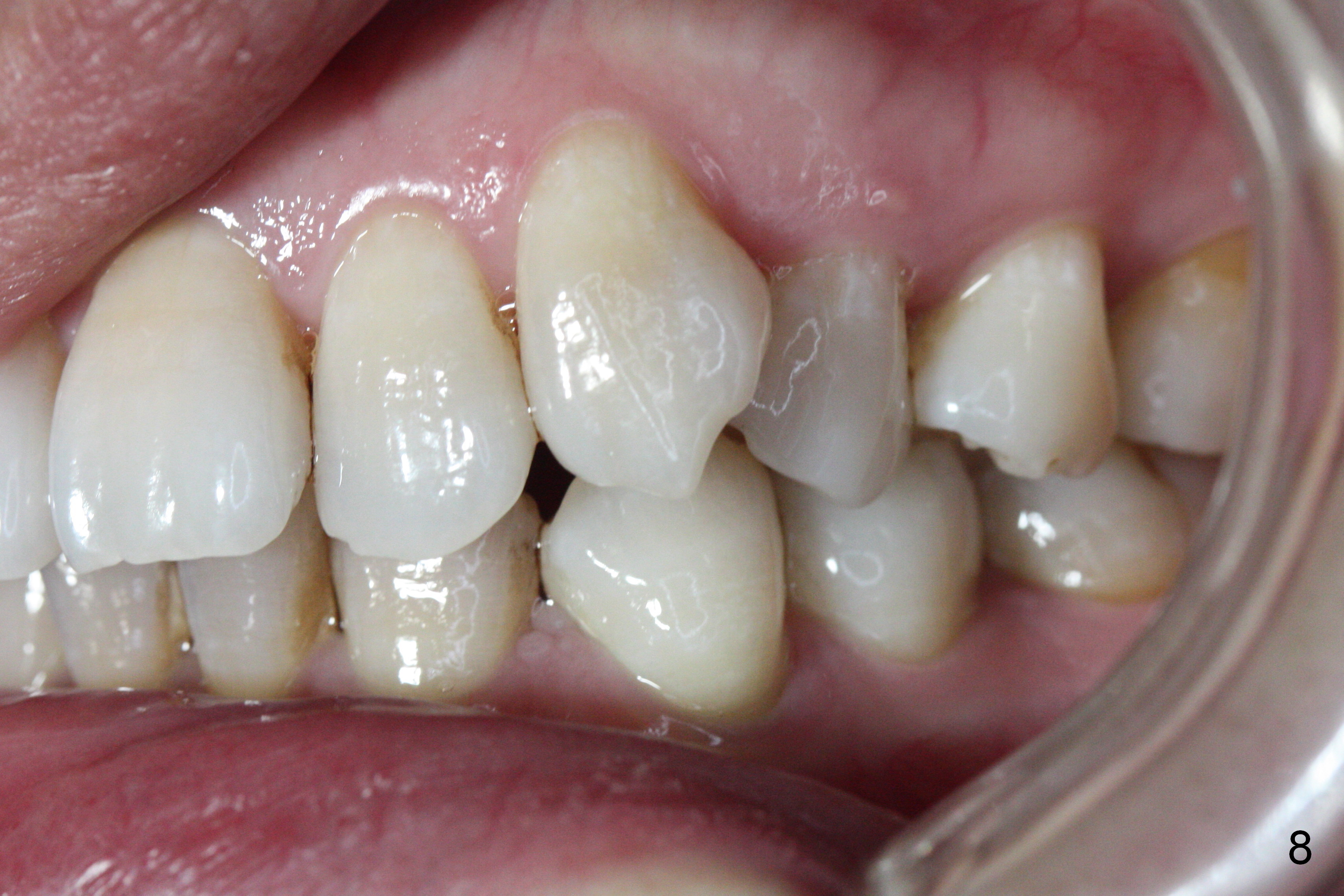
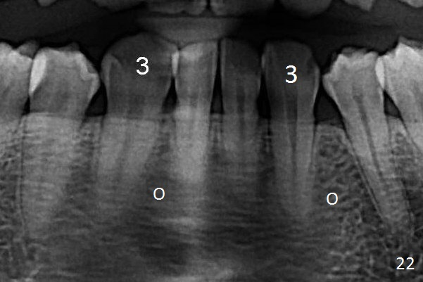
A 41-year-old woman requests orthodontic treatment because of the upper blocked out canines (Fig.6,8). Her facial and dental midlines coincide (Fig.1). Her profile is slightly convex (Fig.2,3) with increase in overjet (Fig.4). Orthodontic treatment includes extraction of U4s and placement of 2 mini-implants between U5 and 6 (Fig.5 o) when arch wires change to 18x25. Power arms (as high as possible) are placed between U2 and 3. U1-3s are retracted at the same time (en mass) because of absolute anchorage of the mini-implants. Retraction time will be reduced. Interproximal reduction (IPR) will be done especially at LR3 (macrodontia, Fig.5) if the lower arch turns out to be too large.
Wax up shows that there are diastemata between the upper teeth after U4s' extraction (Fig.9-11). It appears that L3s should be reduced as the incisors and that the upper posterior teeth should be mesialized. In that case, the mini-implants may be not needed.
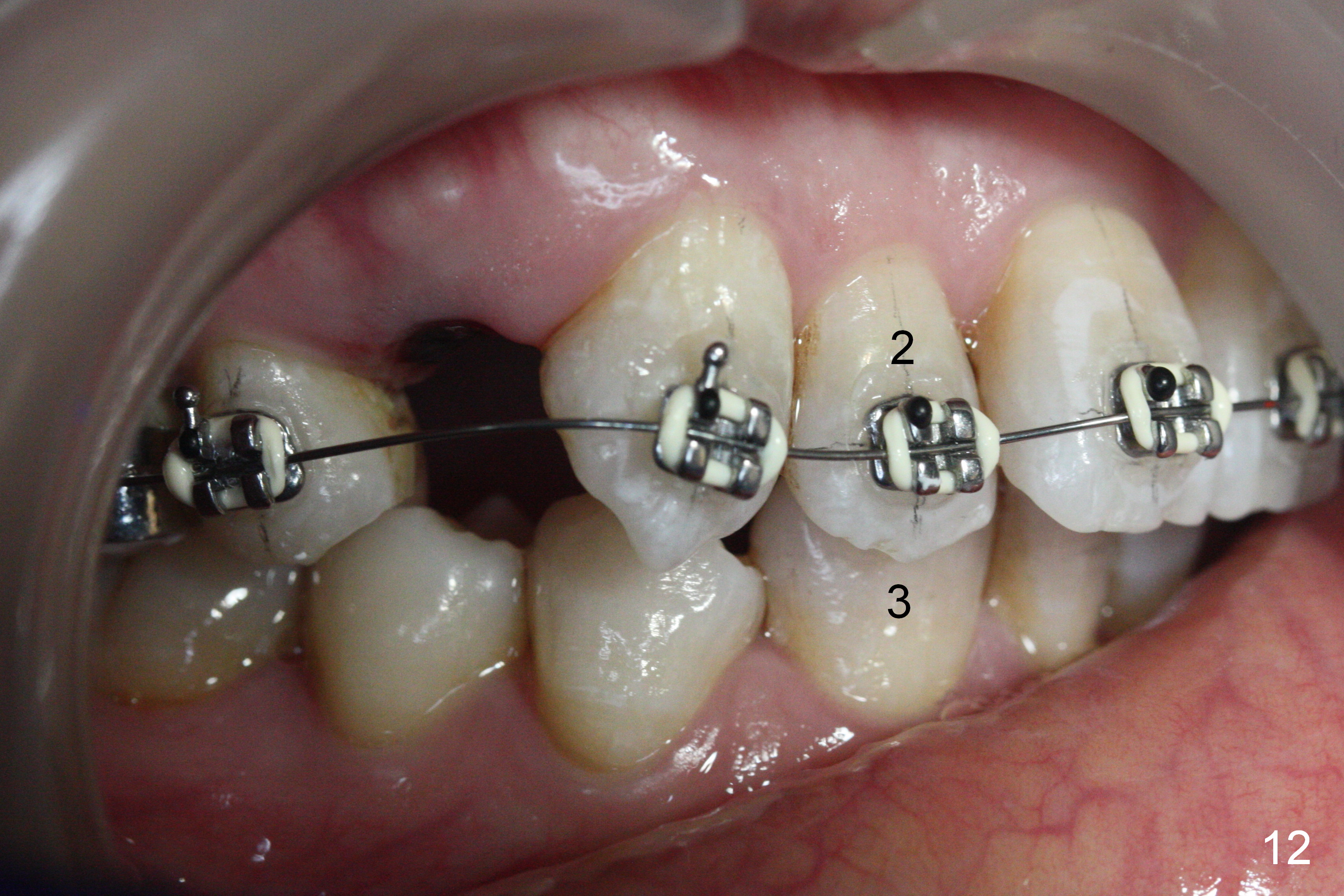
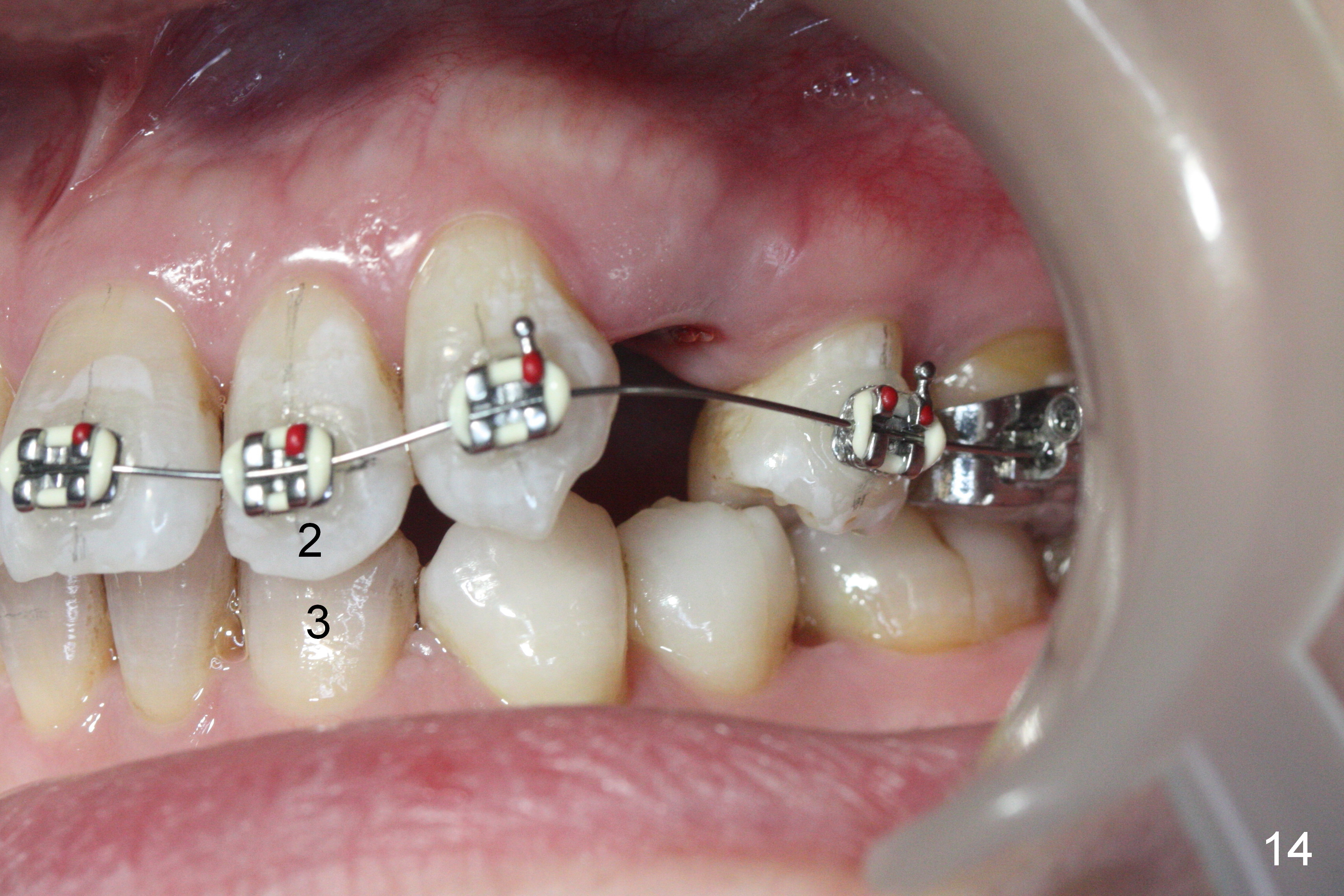
Since U2s are palatally inclined, there is no enough space to place brackets on L3 (Fig.12-14). Lower bracketing is postponed. U4s are extracted 3 days earlier.
Fig.15-17 are taken nearly 2 months post banding. The upper 16 niti is still not fully engaged. Two weeks later, lower brackets are placed with 12 niti wire and occlusal composite (Fig.18-20). Overjet is excessive (Fig.19). Consider distalizing the upper anterior teeth when the upper arch wire changes to a rectangular one.
The rotation of the upper canines is not corrected much in the next 3.5 months (Fig.21, as compared to Fig.18). Distalization of the upper right canine is implemented by power chain, but this is not sufficient because of the anterior deep bite. Note the tension of 18 niti wire between LR 3 and 4 (^). Mini implants are going to be placed mesial or distal to L3s (Fig.22,23 circles) to intrude the lower anterior teeth with elastic or power chain (Fig.23 red line, 24 black area). The upper anteriors will have space to be distalized (Fig.24 arrow). If necessary, proximal reduction will be accomplished at LR3 (extra wide, Fig.25 black outline) for further overjet correction (arrows).
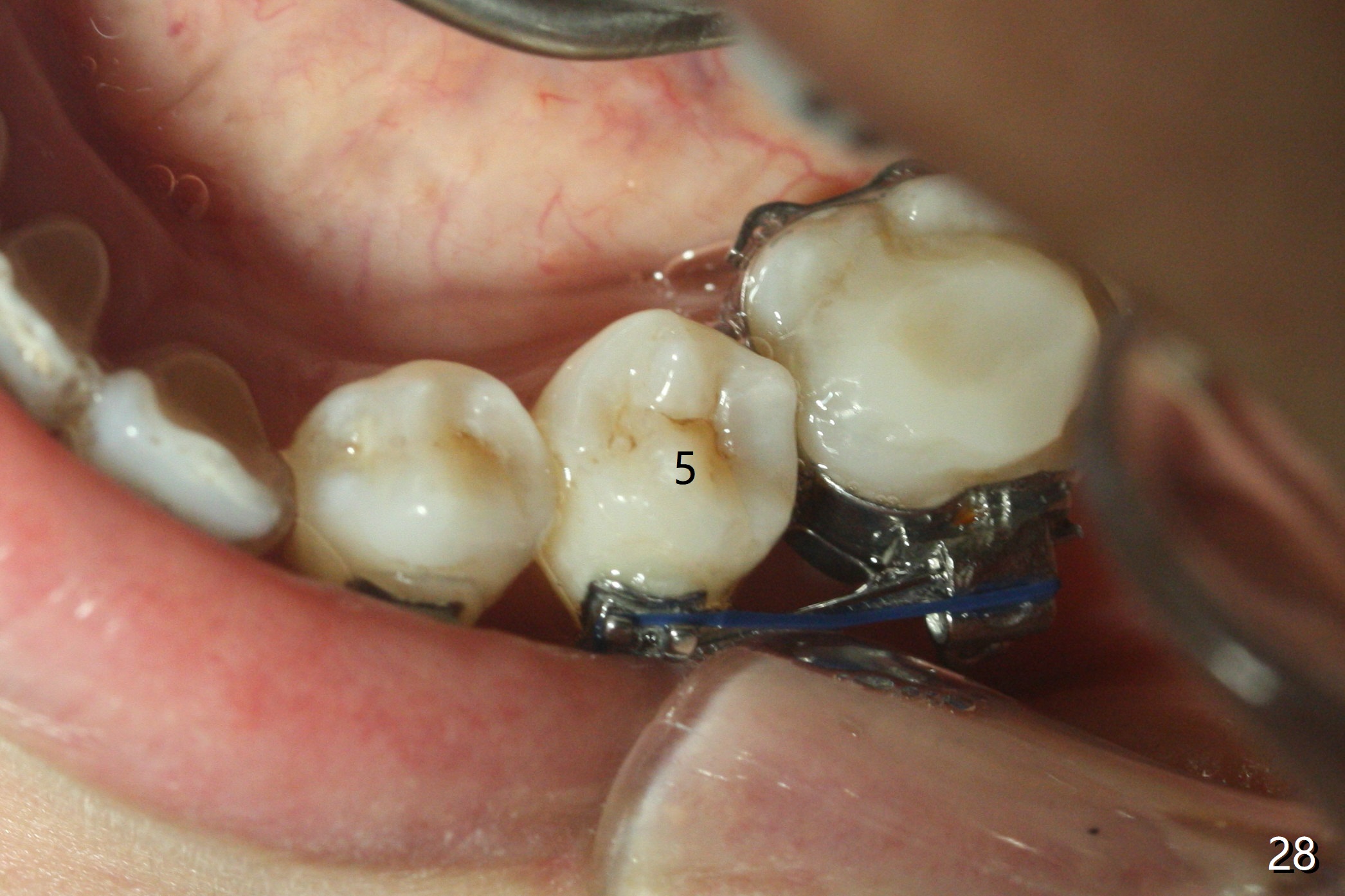
Eight months post banding, UR3 appears to be distalized with de-rotation (Fig.26), while UL3 is slightly over-distalized with mesial space (Fig.27 arrow). LL5 remains rotated (Fig.28). One months later, anterior over bite and over jet seem to be normal. In spite of lack of Class I anterior occlusion, it is decided that the upper posterior teeth should be mesialized. Next visit, wires will be changed to 16x16 with ligature wire between U3-3 and power chains between U3 and 5.
Return to
Ortho Cases
Xin Wei, DDS, PhD, MS 1st edition 11/09/2016, last revision 01/19/2018