![]() |
![]() |
|
![]() ![]() |
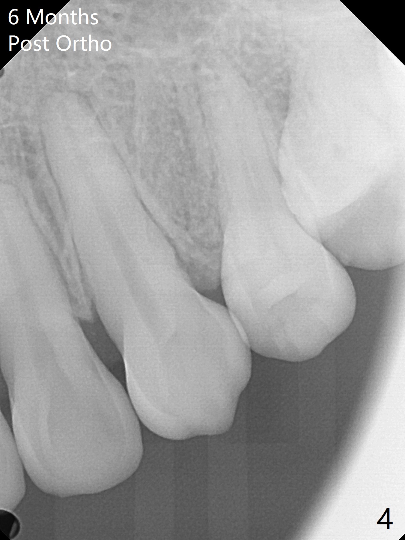
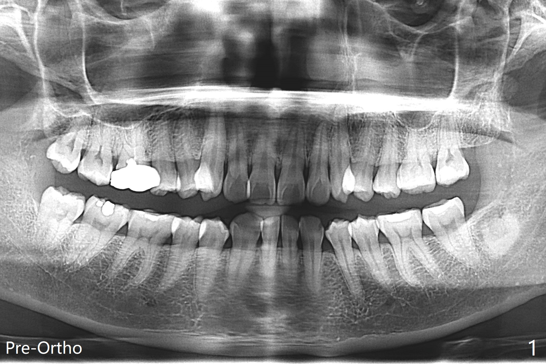
Orthodontics-Induced Root Resorption
A 41-year-old woman with crowding (Fig.1) undergoes 2.5 year orthodontic treatment with extraction, leading to root resorption of the maxillary anterior teeth (Fig.2-4).
Return to
Ortho Cases
Xin Wei, DDS, PhD, MS 1st edition
12/06/2019, last revision
12/06/2019