![]() |
![]() |
|
![]() |
![]() |
![]() |
![]() ![]() |
![]() ![]() |
![]() |
![]() |
![]() |
![]() |
早期矫正
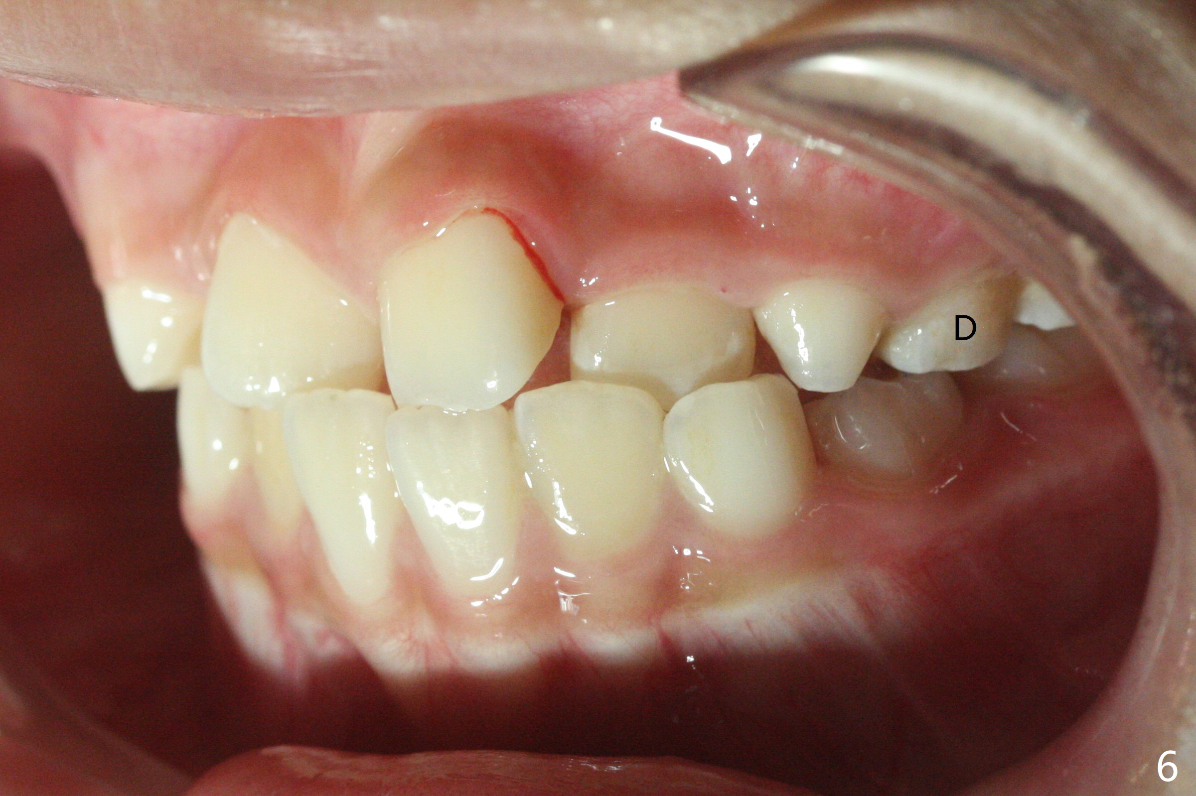
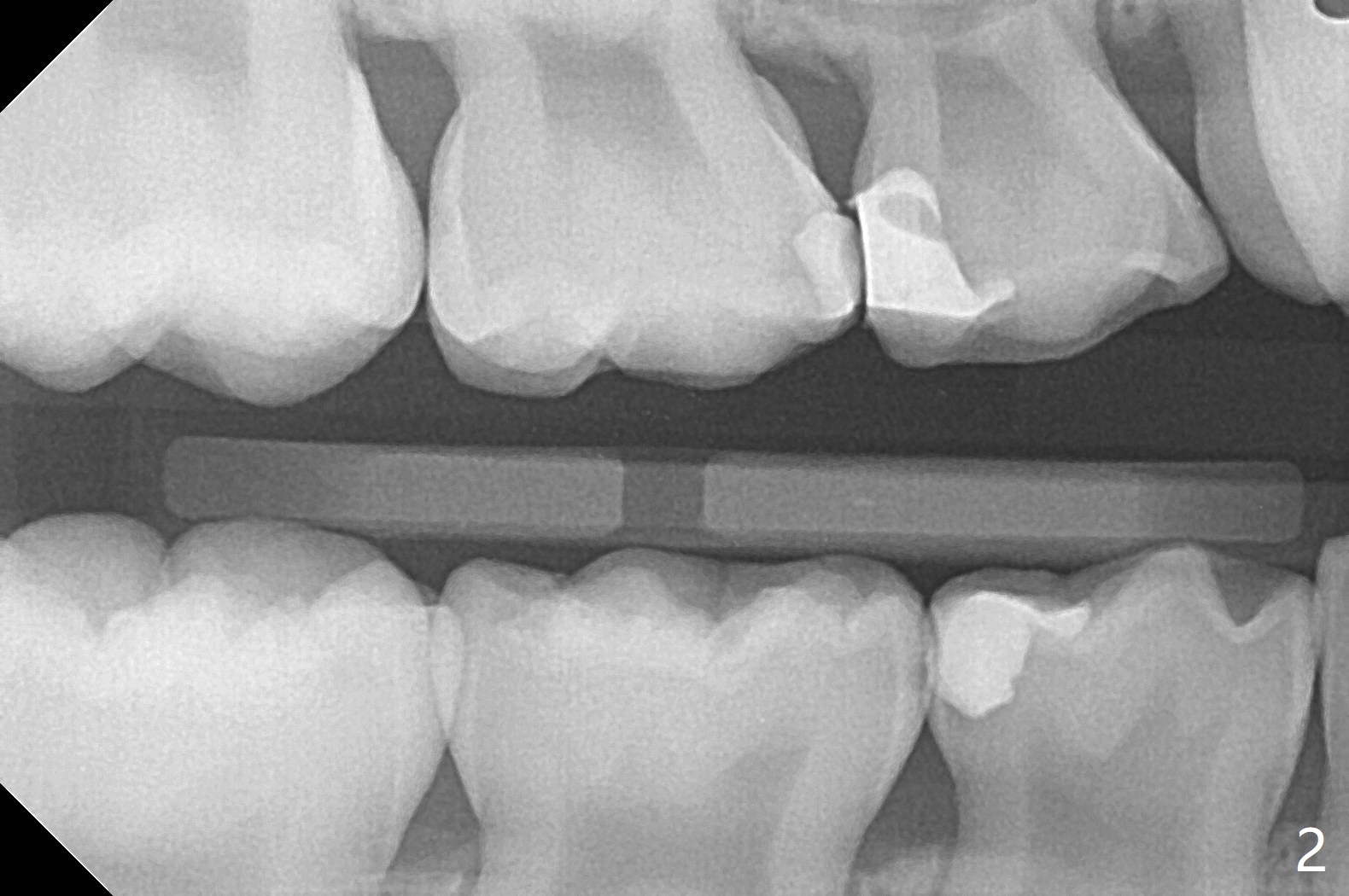
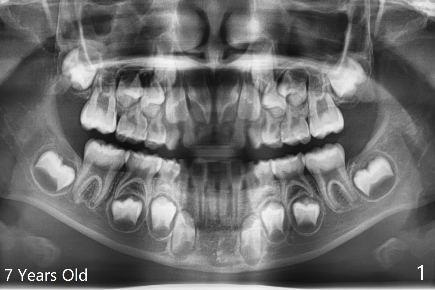
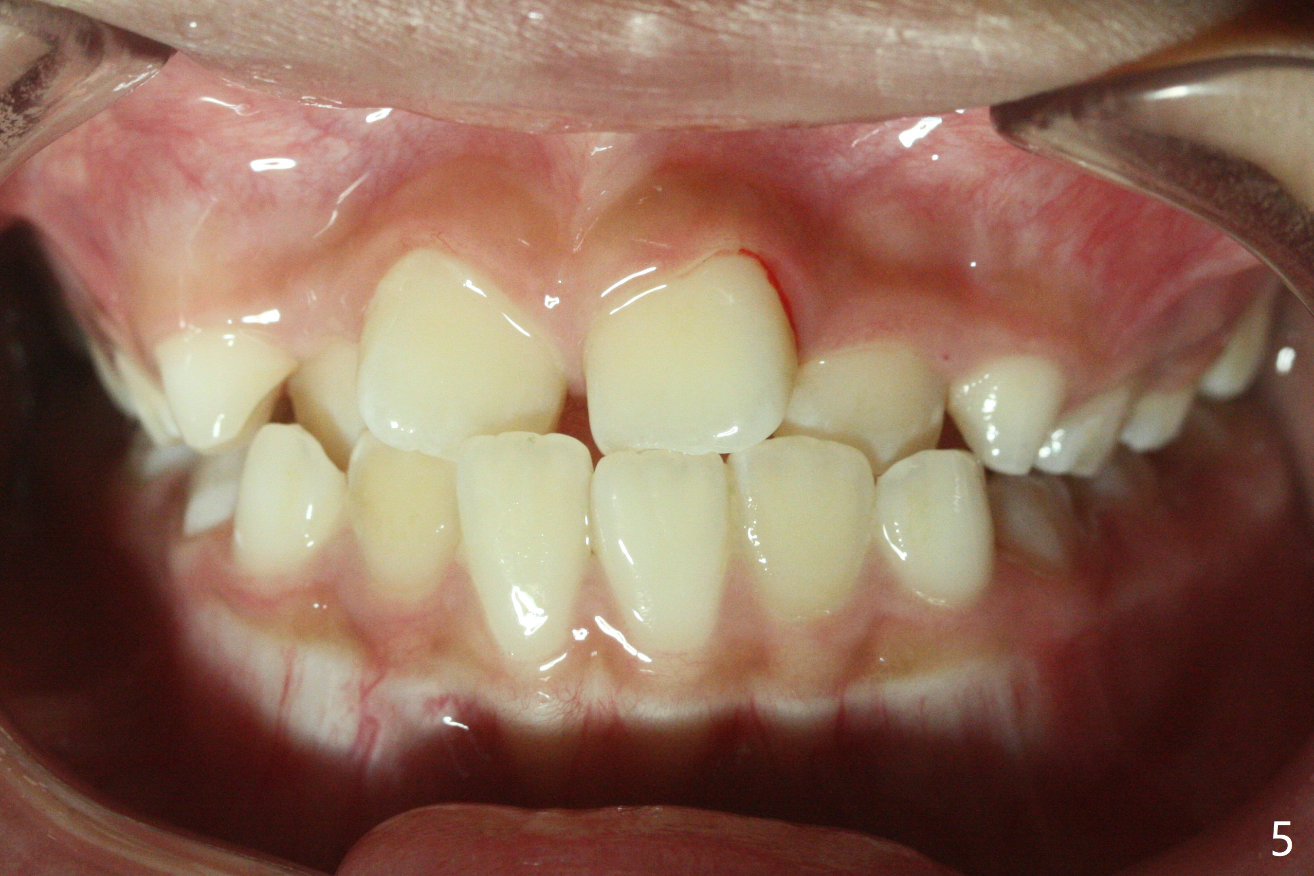
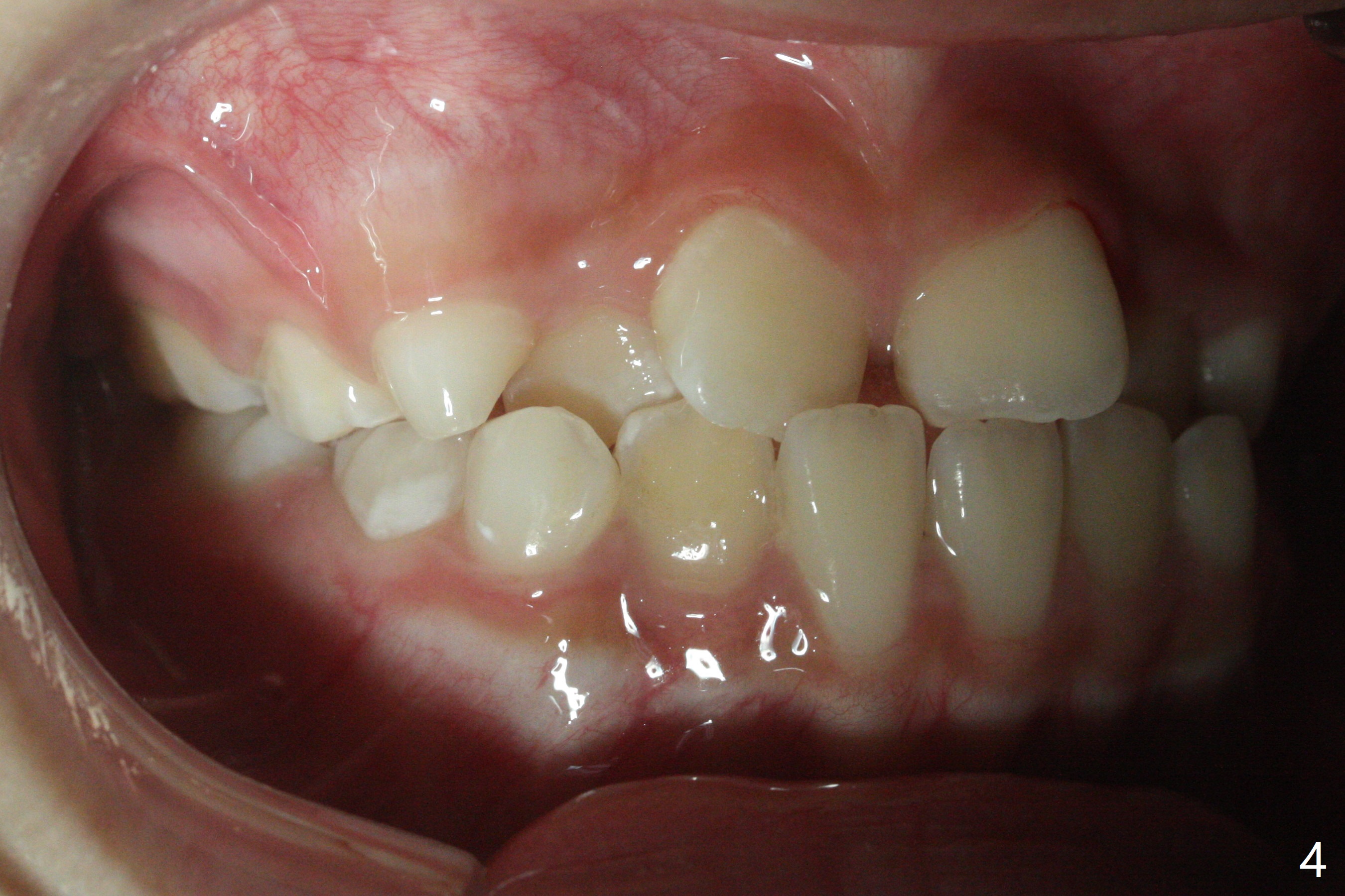
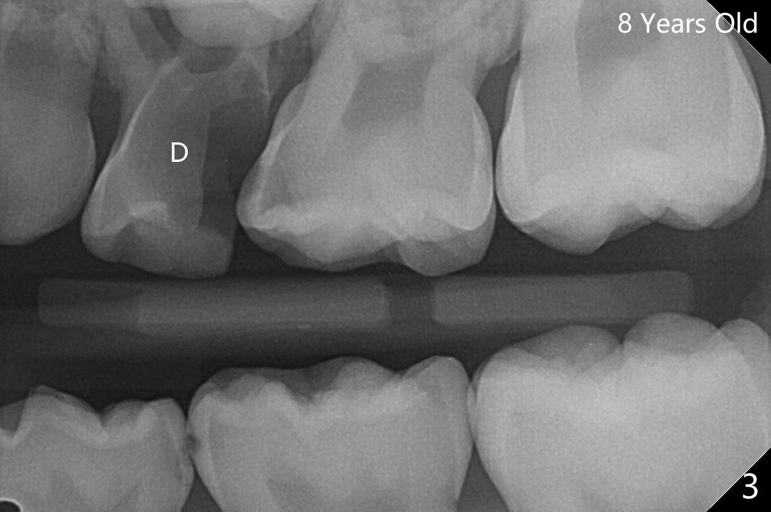
7岁女孩龋齿(图一)到八岁发展的严重(图二,三 (D))。为了有完整支抗,利用树脂(而不是不锈钢牙冠)保留左上第一乳磨牙(图六:D),以后可以安置矫正器。面部匀称(图七至十)。乳尖牙,第一恒磨牙:第一类咬合(图十一,十二)。左上前牙拥挤比右边轻,因为左上D龋齿破坏(图十三:D)。前牙扩弓时,右上D近中需要片切(^)。下颌拥挤轻(图十四),矫正器可以迟放置。
Return to
Ortho Cases
Xin Wei,
DDS, PhD, MS 1st edition 01/23/2021, last revision
02/01/2021