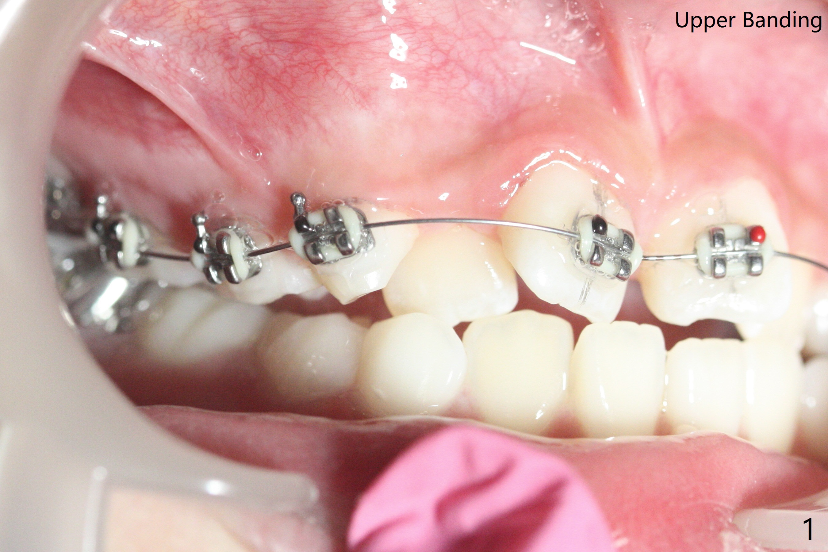
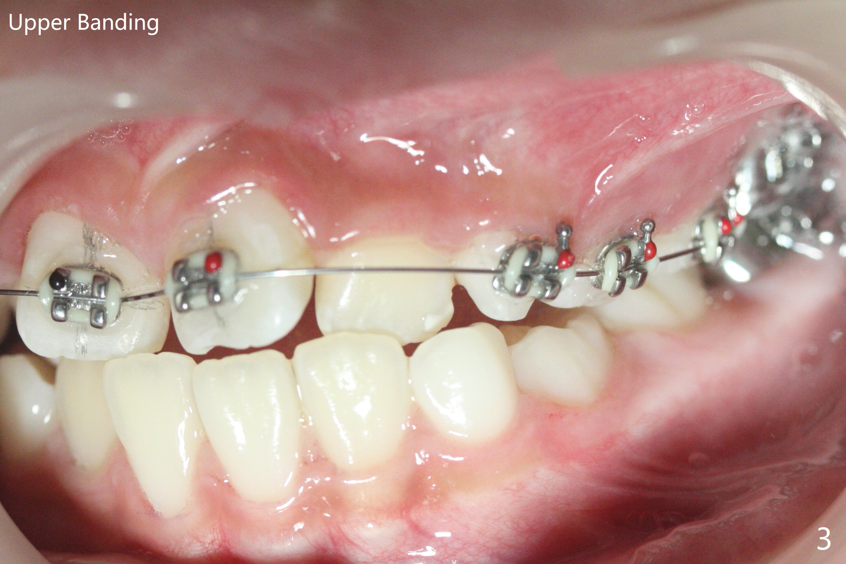
分期放置矫正器

由于上颌拥挤严重,先放置矫正器(图一至三(.012));右上2空间小,可能需要从4近中片切获得,右边open coil spring应该比左边长。

Return to Ortho Cases
Xin Wei, DDS, PhD, MS 1st edition 02/01/2021, last revision 02/01/2021