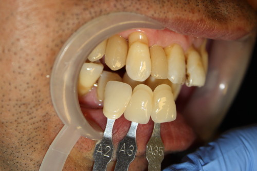
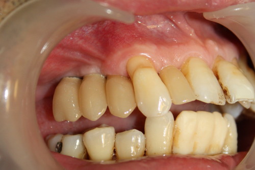
For front teeth we should use emax instead zircornia?  Jenny