![]() |
![]() |
![]() |
![]() |
![]() |
![]() |
![]() |
![]() |
![]() |
![]() |
![]() |
![]() |
Malpositioned Implant and Discolored Central
Lady, 40s, #8 implant buccally positioned, Zirconia abutment. The gingival line is higher than that of #9 (Fig.1). #8 provisional is more bulky than #9 (Fig.2,3).
The discolored #9 has been internally and externally bleached at home and in office. A fiber post has been placed.
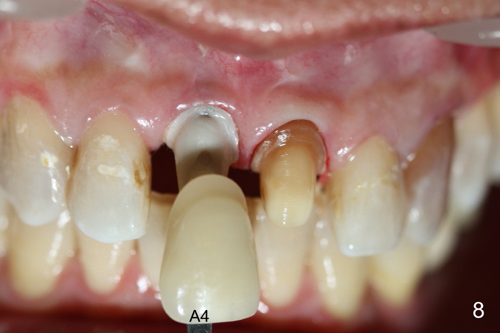
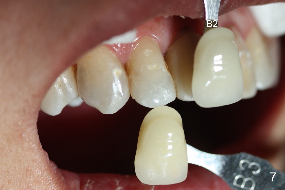
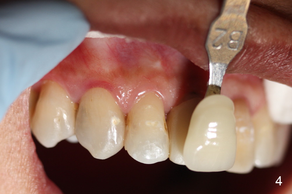
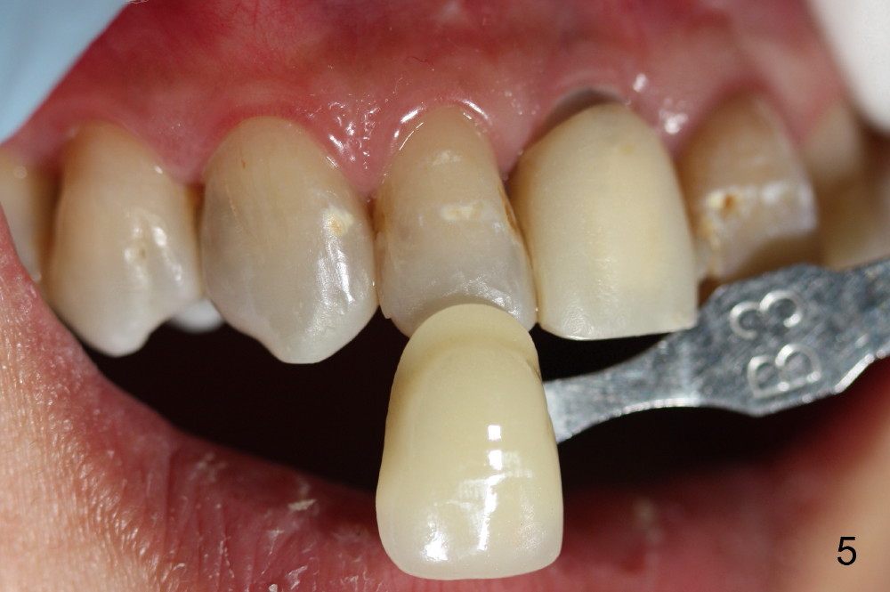
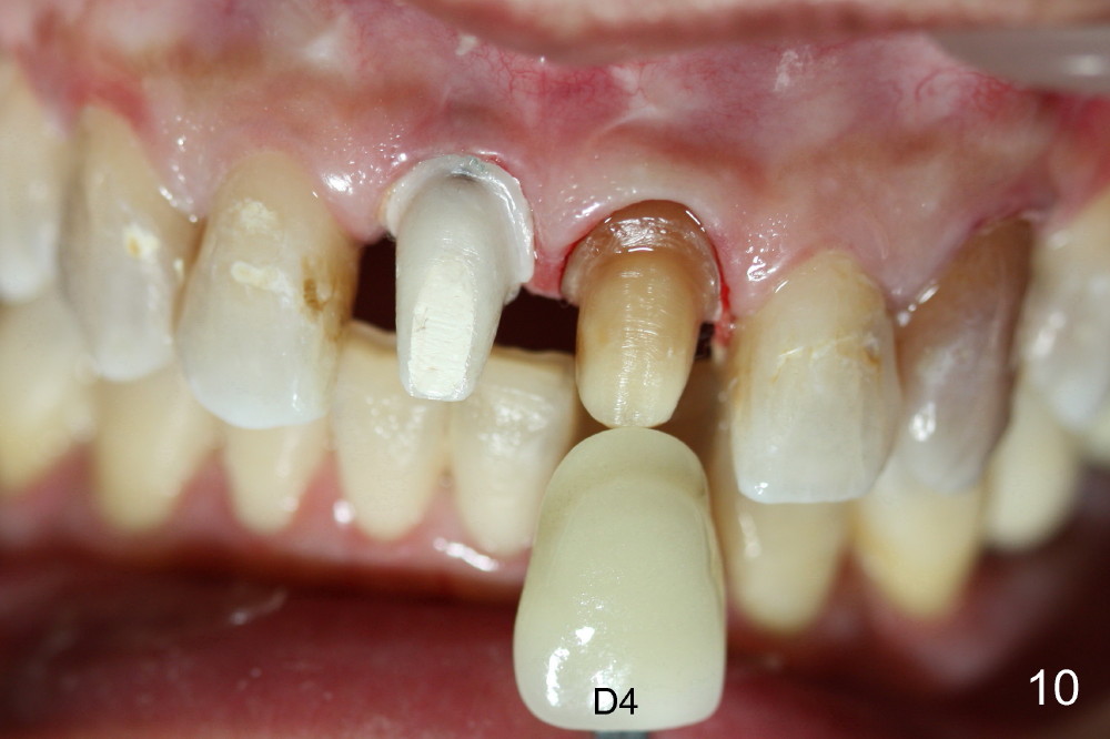
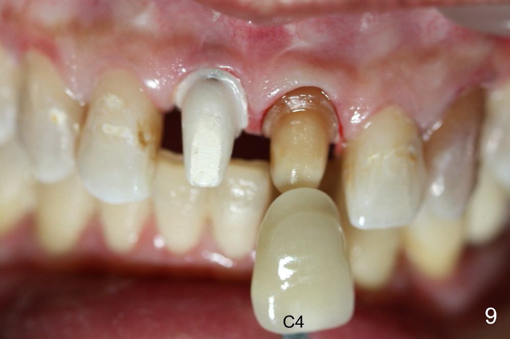
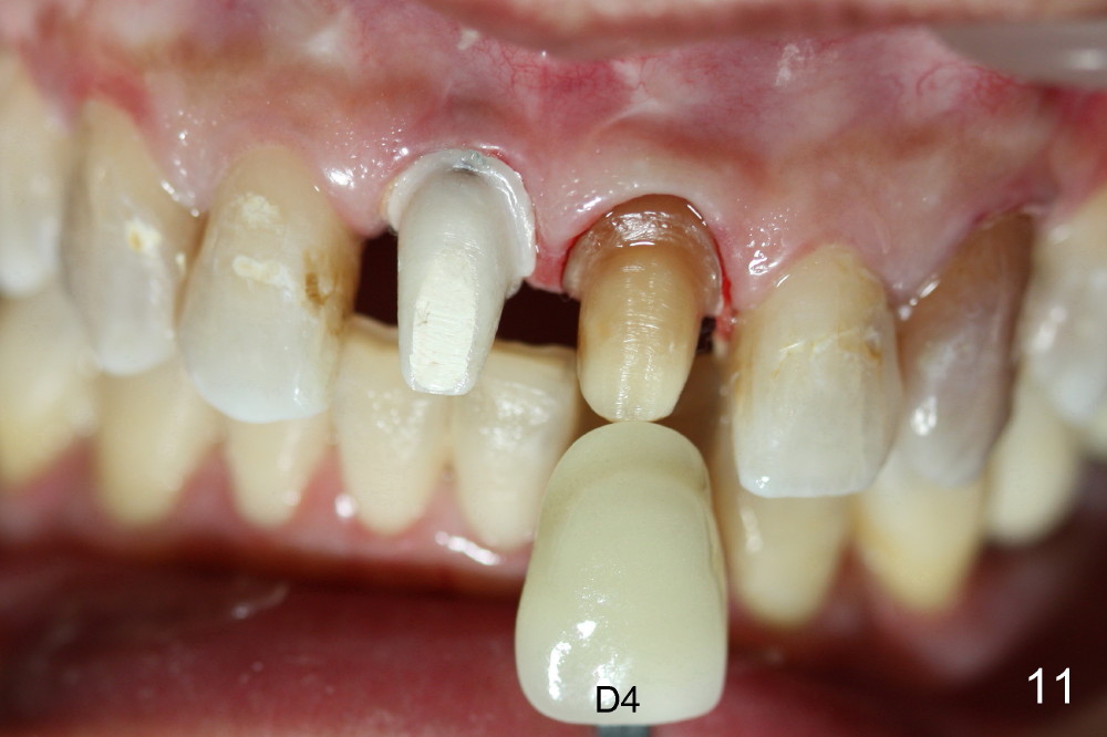
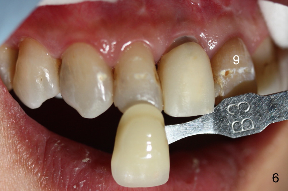
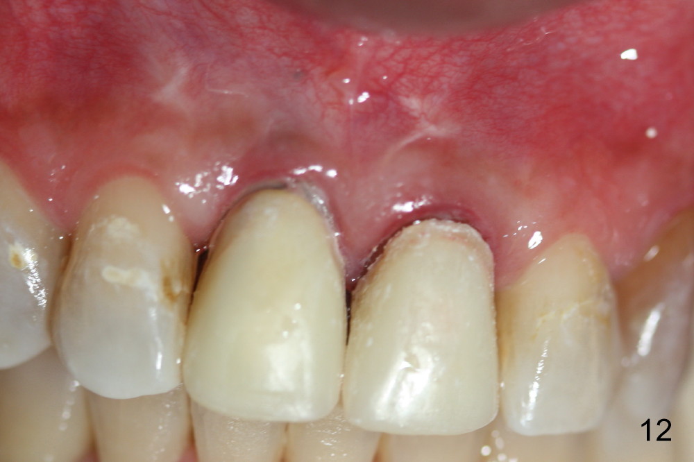
Shades B2, 3 are chosen before prep (Fig.4-7). After prep, shades A4, C4 and D4 are used as stump ones (Fig.8-11). Fig.12 shows new provisionals.
Return to
Assistants,
Dr. Wu
Xin Wei, DDS, PhD, MS 1st edition 01/10/2015, last revision 04/04/2015