植骨

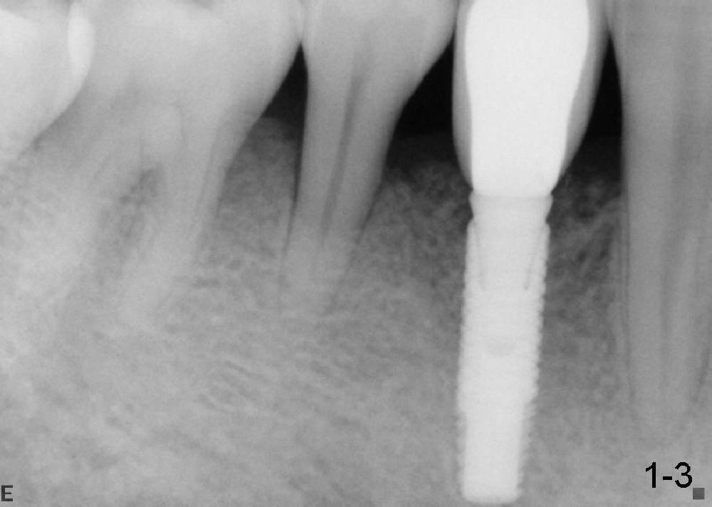
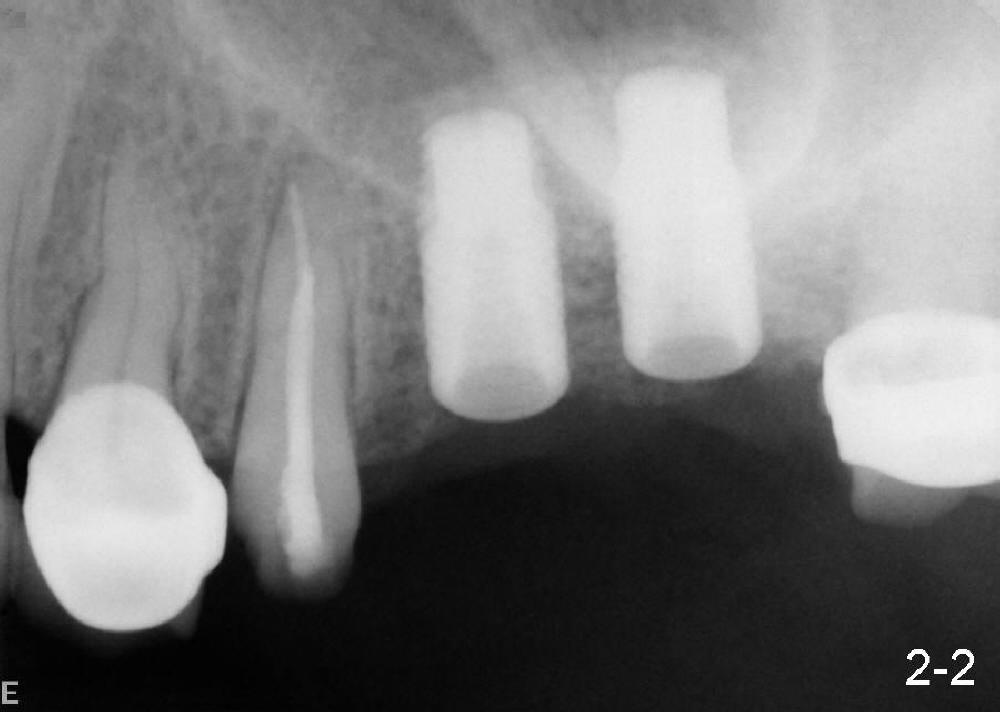
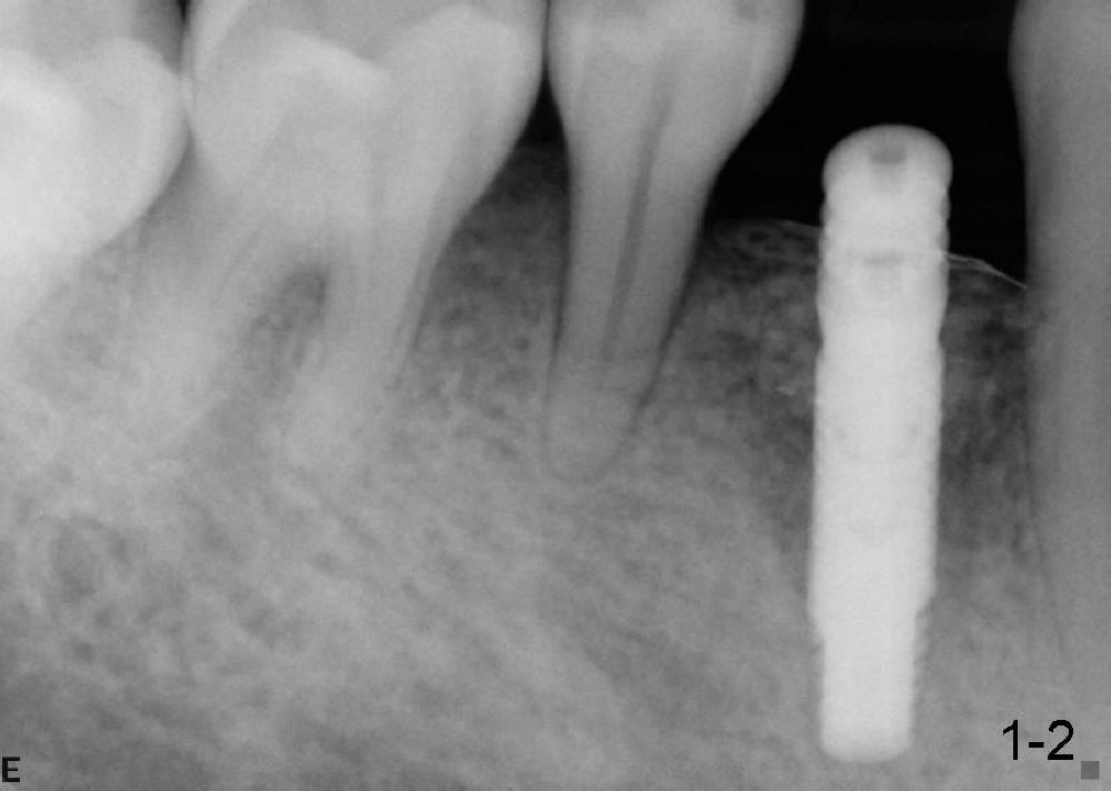
沐旭升医师送来两例植骨病例:第一例使用金属网(图一);第二例上颌骨头高度3.4 mm (CT 显示),上颌窦提高术植骨(侧面进路),同期植牙(图二)。打开每张图看评论。

Case1 is bone graft with metal mesh. Case 2 is bone graft with sinus lift through window, since the  existing bone only has 3.4 mm in the CT film (英文部分由沐医生提供).

 

Thanks for update.  In fact you may check it out from my web to see whether I misinterpret or not.
 
Can you share with me what is the reason if bone graft gets infected?  What should we do to prevent the infection?  Xin

魏心,你好!这次上传二例植牙并植骨病例给你,是支持你主持的学术讨论,意在抛砖引玉。现在似乎变成二人谈了。你提出的植牙植骨是一个很好的学术交流问题,想必大家会感兴趣和发表各自意见。看来大家对你下建议尚不清楚,不妨可再试一试。另外,请将小沐改为Dr• Mu 或旭升为妥。

小沐:时常为植牙后感染困扰,想必植牙,植骨都是异物,如果你植骨后没有感染,说明你摸索出什么道,希望你分享。不过Tatum Implant暴露在口腔,感染几率高些,可能不得不受。二期术后如果伤口还没有愈合就做cementation,cement容易残留。不知谁愿意群谈,不敢打搅。偶尔汪胖子愿意谈口矫,我们就二人谈了。至于植骨title,已经修改,请过目

植骨后出现感染确实很棘手,多伴以植入骨排出或取出为结局。其因很多。防止或减少术后感染最重要一环是伤口缝合,要充分减张。旭升

小沐:谢谢再次提醒,只能把你的意见付出实践吧。请看我们怎么处理植牙后感染

Xin Wei, DDS, PhD, MS 1st edition 10/15/2013, last revision 10/22/2013