上颌第二前磨牙根管末端弯曲意味什么:答案

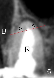
让我们顺着右上五(图四)长轴做个切面,显示这颗牙齿颊舌侧断面(图五:B:颊侧;R:根管充填),仿佛根尖有两个尚未被扩大冲洗充填的末端根管(箭头,导致根尖阴影没有消失),让我们再次沿着红线做个冠状断面,后者同样似乎显示两个根管(图六箭头)。

让我们也给左上五作CT检查:这颗前臼齿牙根和根管末端也弯曲(图七),尤其是根管在箭头处突然变细。颊舌侧CT断面证实:根管在接近根尖处分叉(图八红箭头)。各沿着蓝红箭头做两个冠状切片(图九,图十):在根的中部:好像只有一个牙根,根管近远中狭窄,而颊舌侧宽(图九)。在图九'两个箭头之间,根管仿佛有分开倾向,到了根尖(图十,图十'(插图),图十''(图十放大)),牙根也有分开迹象。

总之,根管末端弯曲可能意味着根管在那里分叉,那里处理需要特别仔细。

魏心:你好!

这两天重看了你网站上的“根管末端弯曲"一文,有点想法,与你再交流交流。

你在文中后半部分说,通过CT找到了另一遗漏的根分叉后的小根管。当然你并没有明确结论,根尖炎症就是该小根管引起的。

我的想法三点:

1)从X片和CT来看,该炎症区很像一把打开的雨伞(侧面看),而伞把正好指着你充填过的那根弯曲的根管,而不是你遗漏的那根。因为炎症是均匀向四周扩散(除非有硬组织挡住了),所以炎症源一般应在扩散区的中心,即那弯的根管应是罪魁祸首。

2)你文中提到那弯的根管你并没有扩和充到根尖孔,这可能是根尖炎症一直存在的原因,就像你另一文中那个老太太RCT后肿胀一样。你文中图3照片的根充好象比图2好,我觉得是拍X片角度的关系,图3的根明显比图2的根短了。

3)如果要retreat,我的意见你只要将弯的根管扩充到根尖孔即可,那遗漏的可不必考虑(当然能充到最好)。这也是我上次和你讨论时说的P根,D根这些粗根易出毛病的原因,因为细菌更愿意从这些宽敞的通道到它们理想的宿营地-根尖区,那里有宽敞的天地,不象根管里那么狭窄,那里有丰富的血管,提供了可靠的营养。所以粗根,主根更易有根尖炎,而根尖炎才是临床RCT失败的主要原因。我没查过文献,不知这种观点有没有人提出过,如没有,就叫金氏理论吧,哈哈。反正这是我长期实践的体会,我这么多年,七,八百RCT做下来,从未有一例失败,就是基于这一思想。
这次除了发给你,还CC给那些对RCT有hobby的同学,等着挨砖。
杭晴

尊敬同学们:不知大家看出来没有:金博心细,手细,让他根管治疗方面占优势,他学什么,象什么,口外成功,牙髓治疗也行。其实我们大家在牙科方面多少是半路出家,多讨论些,可能补偿些不足。您们每个建议对我帮助很大,包括金博最新理论。现在我有个难题,尽管方老师过去帮助,但是我还是不明白。

Xin Wei, DDS, PhD, MS 1st edition 12/16/2012, last revision 03/17/2013