纸上谈兵
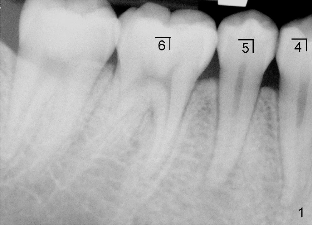
十八岁中国男孩下周一来诊所做右下五根管治疗,他妈妈转来X光片(图一),它有什么特点?不妨也分析邻牙(右下四,六)牙根形态。
回牙科学术讨论园地
Xin Wei, DDS, PhD, MS 1st edition 03/22/2013, last revision 03/23/2013