中央畸形尖根管治疗

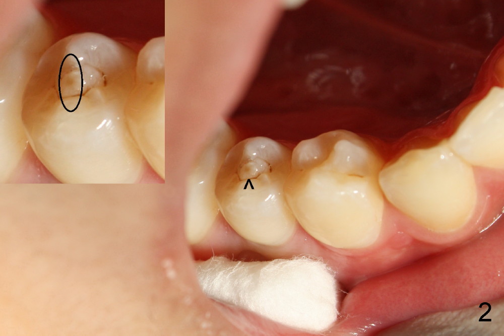
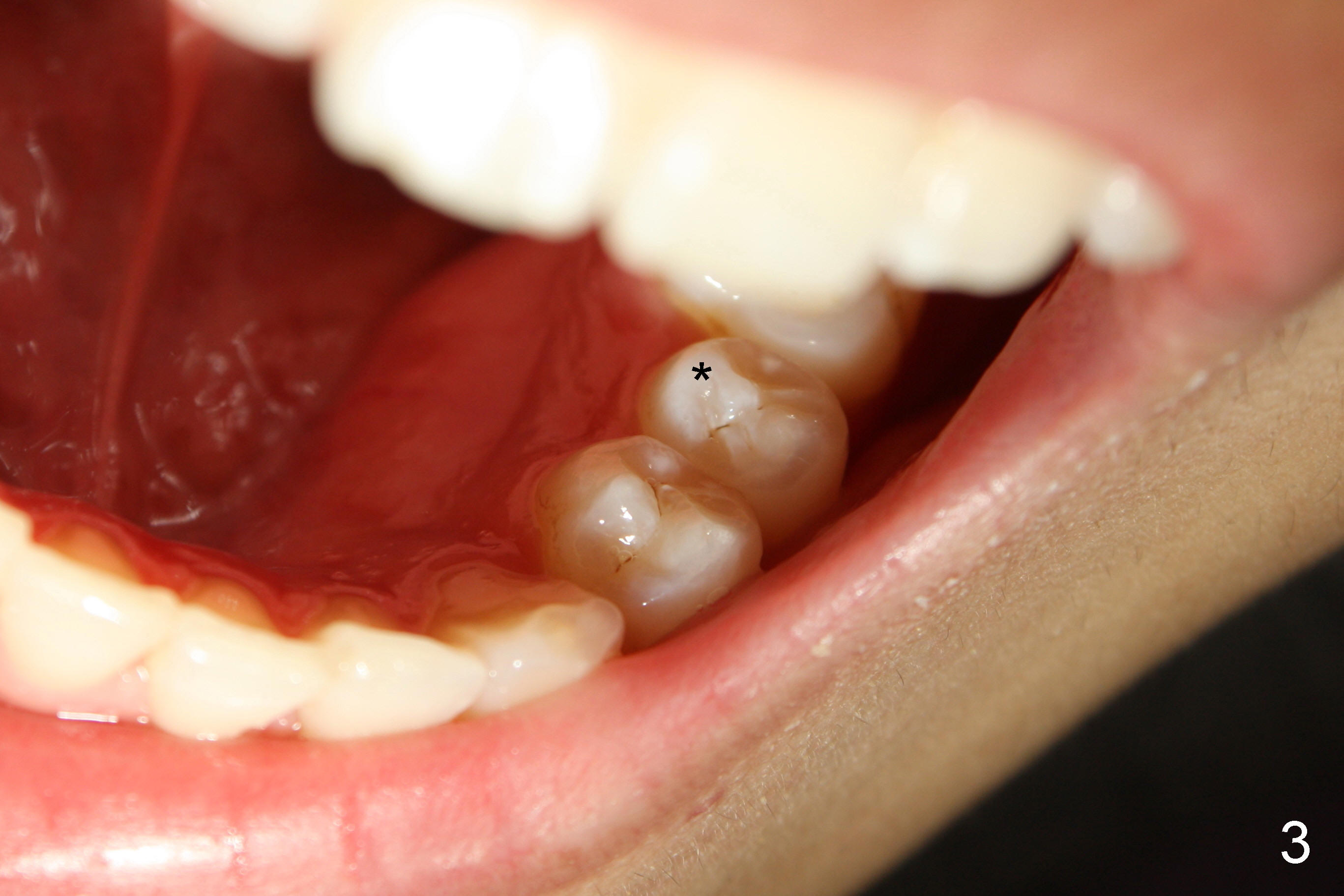
上集发表时,还没有见到病人,这集回答卢红医师疑问(下面)。今天病人来诊所诊治,他没有任何症状,右下五号牙根尖瘘道(图一箭头)是以前牙齿矫正医生发现的,咬合面中央隆起(图二箭头),后者中心好像有个小开口。对侧仿佛没有同样病变(图三*:左下五)。按照方柄忠大夫建议,根管治疗前做活力测试(Endo Ice):右下五的确死髓,有轻度扣痛。

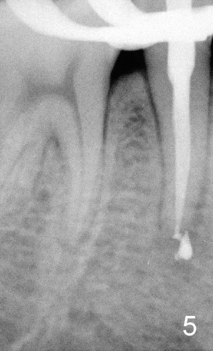
治疗前告诉病人,如果治疗后瘘道不消失,可能需要进一步治疗(根尖切除术)。根管开口(Access)如图二插图表示,唯一不理解的是这个牙齿只有一个根管,似乎偏向颊侧,扩大针尽量往舌侧拉,颊舌侧之间好像有狭部感觉(Isthmus)。Apex Locator运转正常,说明根尖关闭。预先弯曲扩大针:10-20号,然后使用40/.06 rotary file,太容易达到根尖,所以逐步使用扩大针治七十号,但是逐渐失去working length (WL),最后七十号牙胶尖插不到根尖(图四(箭头:根尖阴影)),而40/.06牙胶尖在有冲洗液下容易达到WL,接触(Binding)不够紧密,好像再大一号扩大针(四十五号)就达到不了WL。由于时间问题,使用AH26 Plus Paste,主牙胶尖40/.06,以及medium and fine medium accessory gutta percha(各一根)完成充填(图五),最后树脂充填,不准备做牙冠,观察。

I happened to have a similar case recently. An Asian 13y/o girl with spontaneous pain on the virgin tooth of #29. I researched it and found it is probably a condition called Dens Evaginatus. It is a relatively common developmental condition affecting predominately premolar teeth. The defect is an anomalous tubercle or cusp located in the center of the occlusal surface. Did you notice this on your pt.'s #29? Also pay attention to this: my pathology book say" it has been reported almost exclusively in individuals of the Asians or Mongoloid race including Asians, Eskimos, Native Americans. The defect is frequently bilateral". My patient had #20 treated ( apexification) more than a year ago. Your patient is 18y/o so the apex is formed and rct should have no problem. Did he have any complaint on #20?
I can send more information about Evaginatus's clinical feature and treatment plan if any of you are interested.
Thanks for sharing.
Holly Monday, March 25, 2013 3:15 PM

牙科学术讨论园地

Xin Wei, DDS, PhD, MS 1st edition 03/25/2013, last revision 03/25/2013