![]() |
![]() |
![]() |
|
![]() |
![]() |
![]() |
![]() |
有MB2根管吗?如何寻找?
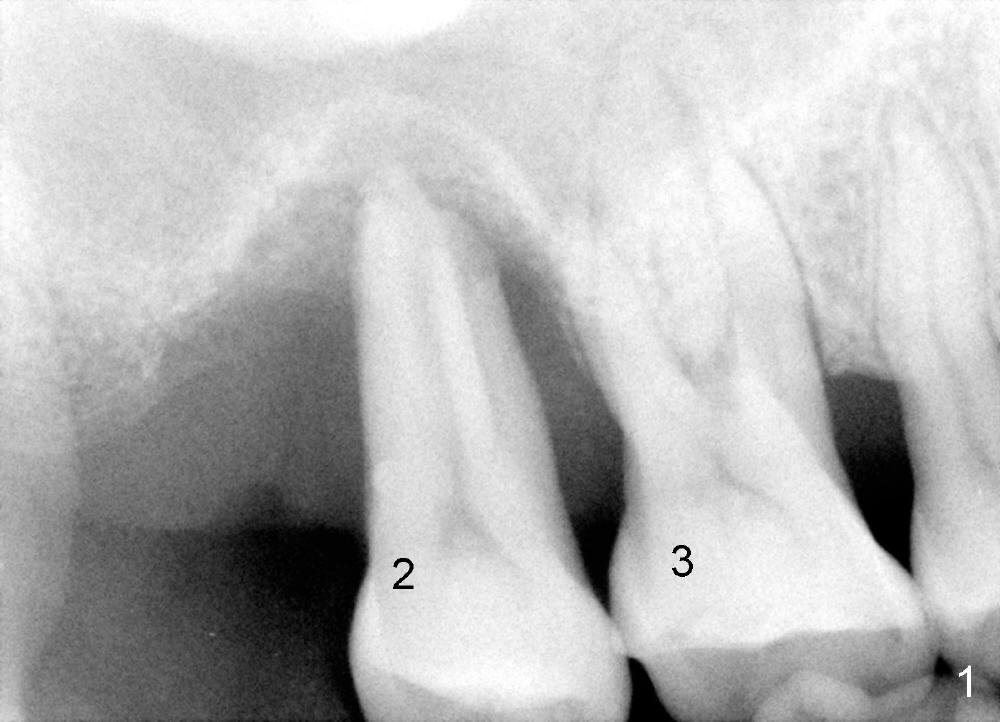
50岁男士有严重牙周炎(图一(2009年拍摄):二号牙(左上七)最终拔除(与图二对比)),最近三号牙(左上六)冷热痛,而且不能咬东西,三号牙多处牙周袋深,根尖片显示远中颊侧和腭侧根尖阴影(图二箭头),初步诊断:牙周牙髓综合症,需要根管治疗以及牙周手术,还可能保留不了。开髓表明活髓,近中颊侧和远中颊侧(DB)根管口很接近(参考图一图二),扩大(30/.04)后并表现不出来(图五至图七),开始近中根管口好像比较接近腭侧根管口,以为是MB2,使用Piezo超声波/diamond tip在MB(图六*)颊侧和近中寻找另外一个根管(箭头),但不成功。腭侧根管扩大到40/.06,匆匆忙忙插入主牙胶尖,拍摄根尖片(图三),显示远中颊侧以及腭侧(P)牙胶尖在相应牙根正中,但是近中颊侧并不是这样(图四=图三+MB牙根和牙胶尖轮廓),这说明还存在另外一个根管。经过再次合适扩大(crown down),腭侧牙胶尖进入更深地方(临床上),这时病人已经坐立不安了,paper points吸干根管后,拍摄图五至图七,暂封。由于病人还缺失好几颗牙齿,劝他去拍摄CT。今天术后第五六天,打电话给他,他很高兴,说冷热痛消失,牙齿也牢靠多了,但是还没去拍摄CT。下周三他回来完成根管治疗。
如果他还没有CT,我该怎么在没有外科显微镜下找遗留根管呢?MB和P根管口之间的确有一个沟(map),但是非常光滑(图五至图七),能找到根管口?还是往原来MB根管口颊侧探索?图三/图四暗示MB1还没有被发掘,对吗?MB2存在吗?
Xin Wei, DDS, PhD, MS 1st edition 02/12/2013, last revision 03/05/2013