疼痛原因不明,根管治疗重做:三思而行

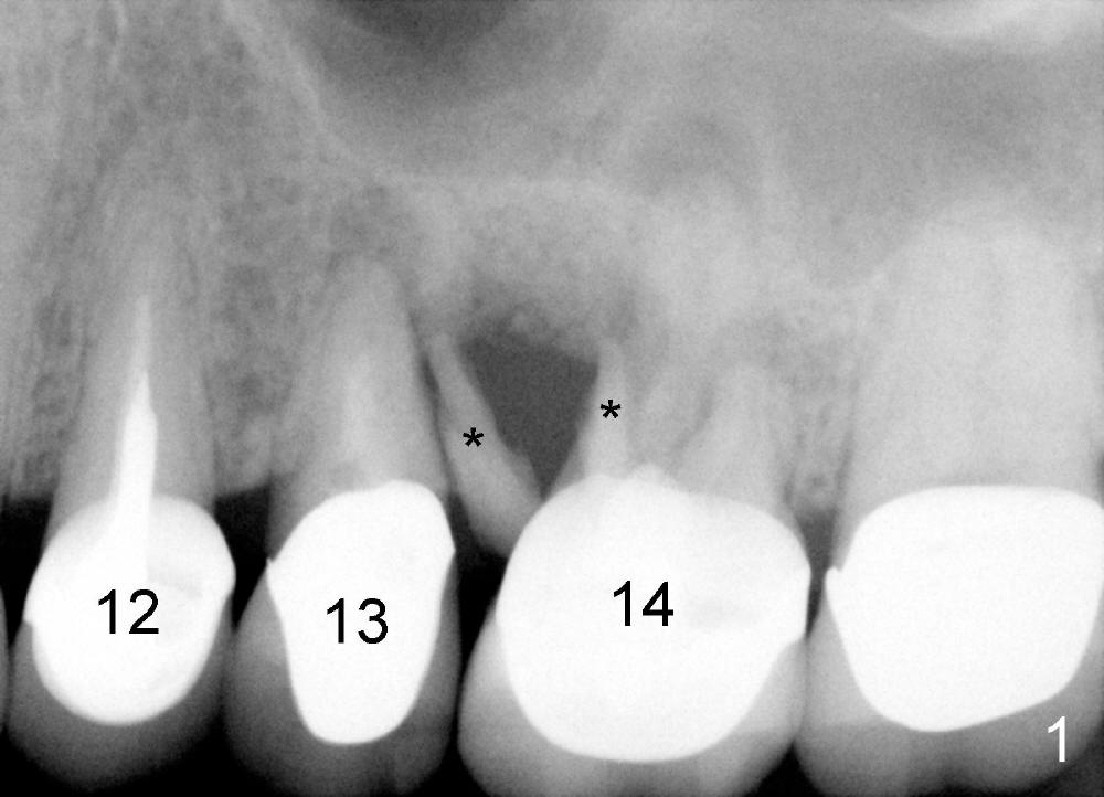
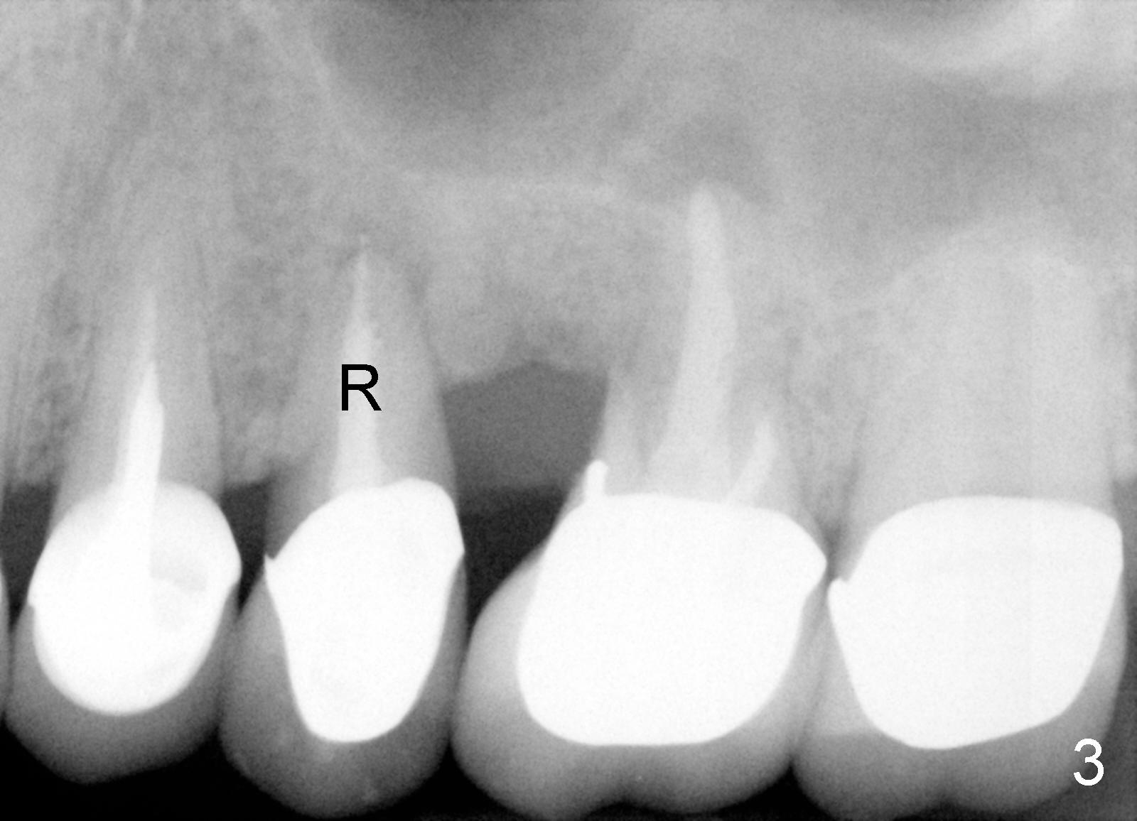
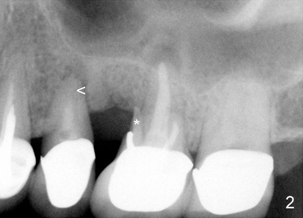
吴先生从小牙齿不好,挺能理解人,所以我们关系还能维持七八年。第一次他来时,我们诊所刚开张,没有多少病人,他左上第一磨牙近中根纵裂(图一:14**),花时间做根切(root amputation,切除近中根近中游离部分),其余两个根做根管治疗(图二)。不久以后他一直有轻微前臼齿区不适,好像第二前臼齿根管治疗充填不佳(图二<),根尖有阴影,不妨重做根管治疗(图三R),之后问题没有解决,根尖切除后,还是好好坏坏,那么再做一次根管治疗(图四R)。好不容易等到他认为疼痛来自于第一前臼齿:颊侧根充填不到位(图四箭头),鄂侧根好像有个牙桩(其实是银汞拴(Amalgam plug)),好像没有根充。这没有什么了不起:除去牙冠,牙桩,重做根管治疗,我们样样都能做。鄂侧根管很快搞通,但是颊侧根管根尖1-2 mm 阻塞,无可奈何。根充(30/.06 for L, 55 for P)后,插入两个三号Coltene Whaledent stainless steel posts以及做牙冠。每当他回来洗牙,汇报前臼齿区仍有不适,不知那颗牙齿有毛病时,对颊侧根管处理不当深感内疚,问题真得出于那里吗?

上周吴先生又回来,他今年五十岁,再过几天老婆将给他添一个儿子(第二个孩子),他担忧的是多个嘴巴吃饭。他这次说疼痛来自第一前臼齿,牙周袋探测表明近中颊舌侧有探痛,拍摄五张根尖片看不出名堂,两个前臼齿都有阴影(没有显示),最后下定决心:做第一前臼齿根尖切除,了不得切除颊侧根管根尖,问题一了百了。不过事先告诉他可能需要拔牙植牙,预算说出来,他肯定不爱听,不过安慰他:我们会手下留情。

这次又大刀阔斧,但是稳妥多了,注意乳头问题,结果还是令人吃惊。

牙科学术讨论园地 

Xin Wei, DDS, PhD, MS 1st edition 05/26/2013, last revision 05/27/2013