如何处理复发性根尖炎

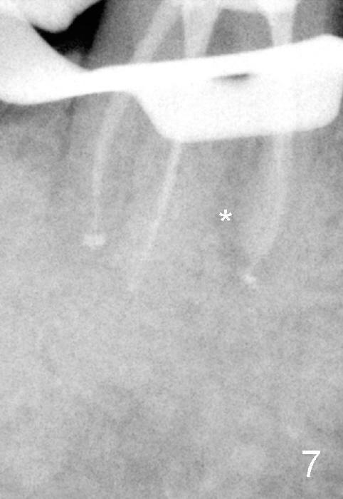
五十来岁郑先生缺失两个下颌第二磨牙,严重牙齿磨耗,三年前主诉右下第一磨牙冷热痛(可能与磨耗有关),近中有轻度根尖阴影(图一箭头),初步CT检查表明该牙齿有四个根管(图二,三),兴高采烈,这样不会错过远中舌侧根管(DL),开髓发现根管几乎阻塞,尤其是远中舌侧,hand files不容易进入根尖,使用20/.04 rotary file时,在根尖断裂(图四箭头,其余根管插入30/.06牙胶尖),一时不能bypass断针,暂封。十二天后,重新bypass断针,终于成功,但是取不出断针,扩大二十号hand file(远中舌侧根管),图五,图六侧方充填(lateral condensation)之前,图七之后(图六,七*:近中阴影)。根管治疗和牙冠之后一直无症状,一年半在第二磨牙处植牙(图八I),虽然第一磨牙近中根尖阴影增大(*),但离植牙还有一定距离,可能不会产生问题。不过不久植牙松动,病人自己取出,可能当时钻洞太大,而不够深(no primary stability),怕侵犯下颌神经(图八红线)。十个月后再次试图植牙(图九D:钻头),突然发现智齿(阻生)在手术视野之中,而且智齿咬合面不干净,结果取消植牙,把智齿拔除,这时病人第一磨牙仍没有症状,但是根尖阴影不可观(图九*),远中舌侧根尖好像没有病变(箭头)。大概这次智齿拔除也与左下智齿七拔除(左下第二磨牙植牙之前)一样不舒服,郑先生一直没有回来做右下第二磨牙植牙。上周六他终于登门,右下第一磨牙出现根尖脓肿症状(术后近三年),根尖片如图十。S代表已经愈合智齿牙槽窝,根尖阴影不小,断针根尖仍没有阴影。

病人毕业于国内医学院,现在从事研究,尽管治疗曲折,他还很讲道理(reasonable),他要求治疗简单化,少痛苦。那么如何处理?

已经给他三个方案:第一:根尖切除,第二:根管治疗重做,第三:拔牙,即刻植牙。虽然已经预约本周五做根管治疗重做,但是总觉得第三方案最好。特别是在重新研究CT图像,第一次根管治疗之前病变已经不轻,解剖相当复杂

牙科学术讨论园地

Xin Wei, DDS, PhD, MS 1st edition 04/30/2013, last revision 05/04/2013