![]() |
![]() |
|
![]() |
![]() |
![]() |
![]() |
||
根裂一定有牙周病变?
作为病人,我最不喜欢牙医用力做牙周袋探测。如果结石已经很多,牙龈红肿很明显,轻轻做几点探测足够作出初步诊断。如果最后需要perio scaling & root planing(深洗),局麻后再做全面牙周袋探测还不晚。根裂一个特点是患牙某一点牙周袋特深,有时这个特点不存在,造成诊断困难,例如上一例,差一点害方老师生气,认为学生不听话。如果探测不够重,不够细(多点),角度不对,事与愿违。一个不成熟观点:如果病人牙周健康,根裂部位深,离牙周袋远,后者可能正常。好了,换个角度说明这个观点。
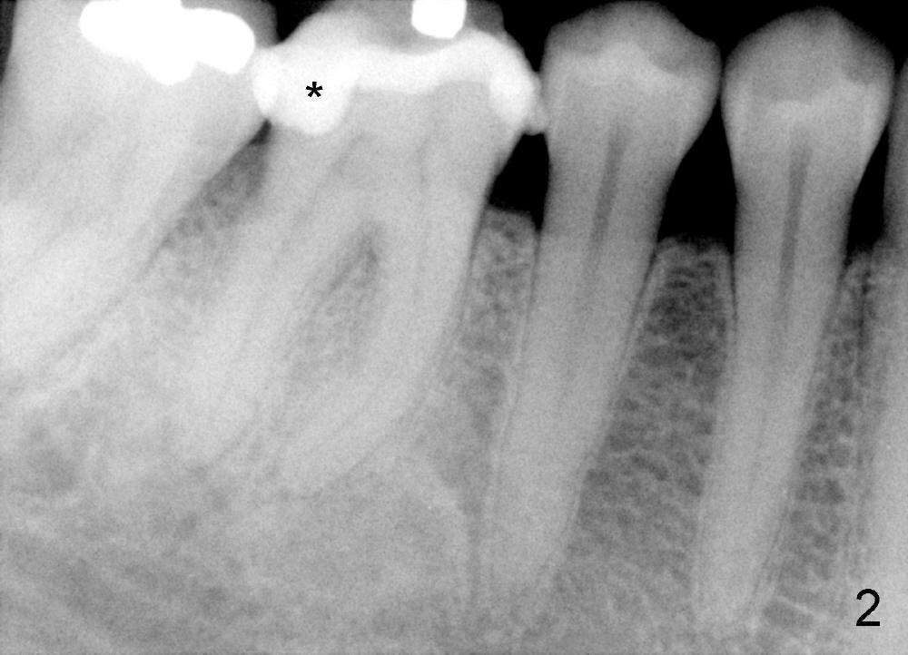
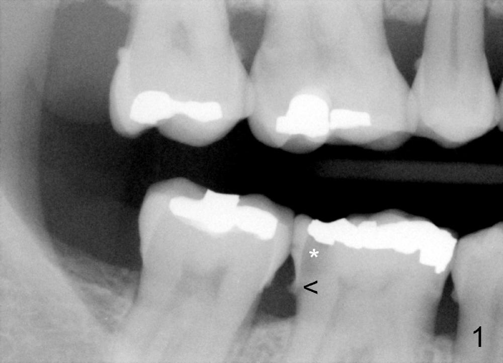
Dowman太太来自德国,收入不好,抽烟,不用牙线,结石多(图一箭头),右下第一磨牙远中龋齿(*)。她深洗还积极(图二已经没有明显结石),处理龋齿拖拖拉拉,九个月后,去龋时穿髓,暂封(图二*),她的后牙牙根特长,说明什么?下面回答。不得不做根管治疗(图三),图四是根管治疗后一年半拍摄,虽然根尖有阴影(箭头),但是病人没有任何症状。又过两年多病人主诉右下不适,根尖片显示根分叉阴影特大(图五*),近中根近中也有阴影(箭头),这时结石又出现。口内检查太容易了:右下第一磨牙颊侧有瘘道(图六双箭头),颊侧根分叉上皮附着失去(图六单箭头,也就是牙周袋深,探测出血),而舌侧根分叉牙周袋正常。总之,近中根有隐裂,接近颊侧,而远中根好像不容易出事,因为它比近中根粗。当我们为她牙齿惋惜时,老外比较爽快,说“It is not your fault. I love eating nuts. I grind my teeth at night. My night guard is too old to wear”。这段话可能说明为什么她后牙牙根长。
可能再牵强大家一次,她牙周病与根裂容易诊断有关。她再次接受深洗,由于经济问题,不肯拔牙。自从根裂诊断后,她认真搞好口腔卫生,说牙痛好多了,作为医生,这点很难理解。不过她总有一天需要拔牙,植牙。好在她已经戒烟了,为植牙奠定基础。
总之,根裂诊断容易程度取决于事先有否牙周病,断裂是否接近牙周袋。
Xin Wei, DDS, PhD, MS 1st edition 05/06/2013, last revision 05/06/2013